

- SPECIALIST PHYSICIAN IN ORTHOPEDIC SURGERY AND TRAUMATOLOGYTraumatology and orthopedic surgeryCentro Médico Teknon
El tratamiento de las fracturas vertebrales mediante cifoplastia con balón cementado a baja presión
La Cifoplastia es el método más rápido y más seguro para suprimir el dolor en las fracturas vertebrales, restaurar la altura vertebral y evitar la posibilidad de que se fracturen por osteoporósis las vertebras adyacentes.
La Cifoplastia se realiza por cirugía minimamente invasiva con dos incisiones de sólo 3 milímetros cada una paralelas a la columna vertebral y el paciente puede deambular el mismo día y no precisa ningún corsé ortopédico ni reposo en cama. Puede realizarse con anestesia local.
La Cifoplastia es mucho más segura que la Vertebroplastia porque se crea en la vértebra fracturada un espacio con un balón inflable que restaura la altura vertebral y que se rellena con cemento plástico inyectado a baja presión.
En la Vertebroplastia no se crea el espacio con balón y se inyecta el cemento a alta presión, con el riesgo de invadir el canal medular, vasos y otros tejidos circundantes y no se restaura el hundimiento vertebral. La Cifoplastia es el método más moderno y seguro para mejorar la calidad de vida de las personas que sufren fracturas vertebrales.
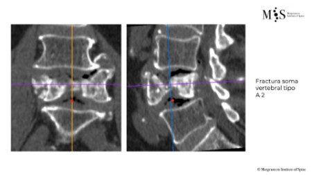
Ejemplo caso clínico cifoplastia





Comparación pre- y post-operatoria de una cifopastia cementada
Mujer, edad 55 años, Fractura aplastamiento derecho de L2

Antes 1

Después 1

Antes 2

Después 2
Estabilización percutánea de fracturas vertebrales inestables
En casos de fracturas vertebrales complejas, inestables, conminutas, etc. se requiere una estabilización adicional de la fractura mediante una artrodesis percutánea, y en algunos casos en los que hay compromiso neurológico, una descompresión del canal medular. La artrodesis percutánea permite estabilizar la estrctura comprometida de la columna vertebral y descargar la carga del paciente sobre la fractura. Adicionalmente se suelen cementar las vertebras artrodesas y la fractura vertebral mediante cifoplastia.
Caso clínico con estabilización percutánea de fractura vertebral inestable.





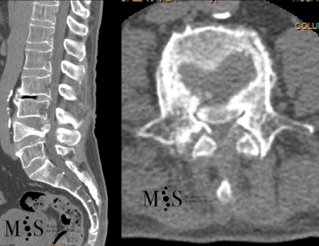
Resección (corpectomía) y reconstrucción vertebral de fracturas vertebrales complejas y conminutas
En los casos de las fracturas más graves, las fracturas conminutas y fracturas estallido, pueden conllevar que un fragmento del cuerpo vertebral se haya desplazado hacia el canal medular, provocando una compresión de las estructuras neurológicas (estenosis del canal medular).
En los casos en los que existe un compromiso neurológico se debe proceder a la resección parcial o total del cuerpo vertebral fracturado (corpectomía) y su posterior reconstrucción mediante una caja somática expandible. Se suele completar la reconstrucción mediante una artrodesis percutánea instrumentada y cementada de los niveles adyacentes a la fractura. La resección (corpectomía) permite extraer el fragmento de la vértebra que se encuentra en el canal medular y liberar las estructuras neurológicas afectadas. La reconstrucción mediante una caja somática permite descargar la carga del paciente sobre la fractura y quitar el dolor que ésta le provoca al paciente.
Caso clínico de una resección (corpectomía) y reconstrucción vertebral lumbar en una fractura estallido de nivel L4.


Acreditación

Acreditación del Dr. Morgenstern como cirujano cualificado para la
„Cifoplastia" (vertebroplastia con balón y cementado a baja presión)


































