Instituto de Terapia Regenerativa Tisular (ITRT)
ITRT desarrolla medicamentos de terapia celular avanzada basados en Células Mesenquimales Cultivadas (CMC), fabricados en sala blanca bajo normas GMP, con dosis celular personalizada y evaluados en ensayos clínicos autorizados.


Tratamientos y Especialidades
ITRT desarrolla medicamentos de terapia celular avanzada con Células Mesenquimales Cultivadas (CMC), fabricados bajo normas GMP y autorizados de forma individual por la AEMPS.
Los ensayos clínicos han demostrado seguridad y eficacia estructural en patologías musculoesqueléticas como artrosis, tendinopatías y pseudoartrosis, entre otras.
Requiere prescripción médica y autorización individual de la AEMPS. Esta información es divulgativa y no sustituye la consulta médica.
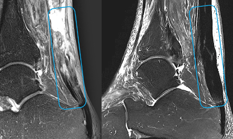
Lesiones de tendónLas CMC aplicadas por vía intratendinosa han demostrado regeneración estructural en tendón rotuliano, de Aquiles, isquiotibiales y supraespinoso, con validación mediante resonancia magnética y mejora funcional sostenida.
Lesiones de disco intervertebralEn degeneración discal lumbar, la administración intradiscal de CMC ha mostrado recuperación estructural en resonancia magnética y una reducción mantenida del dolor, con seguimiento clínico prolongado.
Lesiones de cartílagoITRT ha evaluado CMC en artrosis de rodilla, cadera, hombro y otras articulaciones periféricas, tanto de origen degenerativo como postraumático, con evidencia clínica de regeneración del cartílago y mejora funcional.
ITRT es referente en medicamentos de terapia celular avanzada con Células Mesenquimales Cultivadas (CMC), aplicados de forma personalizada y con autorización individual de la AEMPS. Garantizamos trazabilidad, seguridad y diferenciación frente a prácticas no autorizadas.
Pioneros en terapia celular reguladaMás de 20 años desarrollando medicamentos de terapia celular avanzada con CMC, en el marco de ensayos clínicos autorizados.
Medicamento personalizado y autorizadoCada aplicación requiere evaluación médica, dosis celular adaptada al paciente y autorización individual por parte de la AEMPS.
Garantía regulatoriaCumplimos rigurosamente con la normativa española y europea en fabricación GMP, aplicación clínica autorizada y control de calidad.
Seguridad y trazabilidad clínicaFabricación en sala blanca GMP, con caracterización celular, controles de calidad y seguimiento clínico estructural y funcional.
Compromiso con la legalidad científicaNos diferenciamos de prácticas no autorizadas, sin respaldo normativo ni evidencia clínica contrastada.
Blog Salud y Bienestar
- Expertos en terapias celulares reguladas y personalizadasEl Dr. Robert Soler, CEO y Director Médico, es referente en el desarrollo de medicamentos de terapia celular avanzada con Células Mesenquimales Cultivadas (CMC). En ITRT, un equipo clínico y científico especializado integra excelencia médica, calidad operativa y cumplimiento normativo en cada fase del proceso terapéutico.

- Más de 20 años de investigación clínica con Células Mesenquimales Cultivadas (CMC)Desde 2002, ITRT ha desarrollado un modelo clínico pionero y regulado.

ITRT es un instituto médico especializado en el desarrollo de medicamentos de terapia celular avanzada, elaborados a partir de células obtenidas del propio paciente o de un donante, cultivadas en condiciones controladas para su aplicación clínica.
Todos los procedimientos de ITRT están avalados por ensayos clínicos autorizados y evidencia científica publicada. Opera bajo un modelo completamente regulado, con fabricación en sala blanca bajo normas GMP, autorización individual de la AEMPS y trazabilidad integral desde la obtención celular hasta el seguimiento clínico.
Además, ITRT dispone de un sistema de criopreservación que permite conservar las CMC en condiciones óptimas para su uso posterior, garantizando estabilidad y control del producto en tratamientos planificados a medio o largo plazo.
Es un medicamento regulado por la Agencia Española de Medicamentos y Productos Sanitarios (AEMPS) y por la Agencia Europea del Medicamento (EMA), que incluye terapias celulares, génicas o de ingeniería tisular.
En el caso de ITRT, se trata de medicamentos de terapia celular avanzada desarrollados a partir de Células Mesenquimales Cultivadas (CMC), fabricados bajo normas GMP (Good Manufacturing Practice) en salas blancas certificadas, y autorizados de forma individualizada para cada paciente.
La medicina regenerativa se aplica mediante la utilización de células madre y terapias avanzadas para estimular la reparación y regeneración de tejidos dañados o enfermos en el cuerpo. Estos tratamientos pueden administrarse a través de inyecciones, implantes o métodos específicos según la afección y la técnica utilizada. El objetivo es restaurar la función y mejorar la calidad de vida del paciente.
Son células progenitoras obtenidas de la médula ósea, aisladas y expandidas durante 21 días en condiciones de cultivo controladas. Estas células son caracterizadas, validadas y preparadas para su uso clínico como medicamento de terapia celular avanzada, con control de calidad y trazabilidad conforme a estándares GMP.
Las CMC son medicamentos celulares autorizados por la AEMPS, con evidencia clínica, fabricación GMP y aplicación regulada.
En cambio, el término "células madre" es ambiguo, no regulado, y se utiliza con frecuencia para promocionar prácticas sin base legal ni científica. ITRT rechaza expresamente este término por su falta de precisión y su uso fuera del marco sanitario autorizado.
Los medicamentos de terapia avanzada con CMC han sido evaluados en ensayos clínicos autorizados por la AEMPS para múltiples indicaciones musculoesqueléticas y tisulares, incluyendo:
- Tendinopatías (rotuliano, Aquiles, isquiotibiales, supraespinoso)
- Artrosis (rodilla, cadera, hombro, tobillo)
- Discopatías (lumbares y cervicales)
- Pseudoartrosis (fracturas óseas no consolidadas)
- Osteonecrosis (cabeza femoral, humeral, astrágalo)
- Xerostomía (sequedad bucal por disfunción salival)
Los medicamentos desarrollados por ITRT están avalados por ensayos clínicos con seguimiento funcional y estructural, publicaciones científicas indexadas, y protocolos de fabricación GMP. Esta evidencia ha sido evaluada por comités éticos, agencias reguladoras y revistas médicas internacionales.
Dependiendo de la patología, el medicamento se administra mediante infiltración intratendinosa, intraarticular o subcondral, siempre en un entorno clínico controlado y bajo imagen guiada. Se trata de un procedimiento mínimamente invasivo y sin cirugía.
La seguridad se garantiza mediante un proceso regulado que incluye la fabricación del medicamento en salas blancas bajo normas GMP, con control de calidad celular, esterilidad y trazabilidad desde la muestra hasta la administración. Cada aplicación está sujeta a autorización individual por parte de la AEMPS y va acompañada de un seguimiento clínico estructurado para evaluar la evolución del paciente y la estabilidad del efecto terapéutico.
Solo puede valorarse la indicación tras una evaluación médica individualizada. La decisión depende de factores clínicos específicos, diagnóstico por imagen y antecedentes médicos. No todos los pacientes son candidatos, y la selección debe ser realizada por un equipo especializado.
Según la indicación clínica y el protocolo autorizado, pueden emplearse células autólogas (obtenidas del propio paciente), alogénicas (procedentes de un donante compatible) o criopreservadas (conservadas previamente a muy baja temperatura). Todas ellas están sometidas a control de calidad, caracterización celular y autorización individual por la AEMPS antes de su aplicación clínica.
La AEMPS (Agencia Española de Medicamentos y Productos Sanitarios) es la autoridad responsable de autorizar individualmente cada medicamento, supervisar la fabricación, garantizar su seguridad y controlar su uso clínico conforme al marco legal vigen.
Sí, siempre que exista una indicación médica justificada y se cumpla el procedimiento regulado de autorización individual por la AEMPS. Este acceso está reservado a equipos médicos con experiencia previa en el uso del medicamento en ensayos clínicos autorizados, y requiere cumplir con todos los criterios clínicos, técnicos y éticos establecidos.
El proceso completo de evaluación médica, fabricación GMP y autorización AEMPS, puede completarse en aproximadamente una semana, dependiendo del tipo de células utilizadas y la logística clínica.
El tratamiento incluye no solo la aplicación del medicamento, sino un seguimiento clínico individualizado que puede extenderse entre 2 y 5 años, dependiendo de la patología. Durante este periodo se realizan controles funcionales y estructurales periódicos, que incluyen pruebas de imagen como resonancia magnética, con el objetivo de evaluar la evolución clínica del paciente, la estabilidad del efecto biológico y la seguridad a largo plazo.
ITRT desarrolla exclusivamente medicamentos autorizados, con trazabilidad total, evidencia clínica, control de calidad y cumplimiento normativo EMA/AEMPS.
Frente a otras ofertas no reguladas, ITRT representa una medicina personalizada, segura y legalmente supervisada, que rechaza expresamente el uso de productos no autorizados o de terminología engañosa como "células madre".
Nuestro equipo está a tu entera disposición.
Centro Médico Teknon
Carrer de Vilana, 12, 08022 Barcelona
Horario
Abierto 24 horas
Teléfonos
932 906 200
900 301 013











































