

- SPECIALIST PHYSICIAN IN ORTHOPEDIC SURGERY AND TRAUMATOLOGYTraumatology and orthopedic surgeryCentro Médico Teknon
Treatment of vertebral fractures by kyphoplasty with a balloon and low pressure cementation
Kyphoplasty is the fastest and simplest method to relieve pain in cases of vertebral fracture, to restore the original vertebral height and to avoid the fracture of adyacent vertebrae because of ostheoporosis.
Kyphoplasty is performed by minimal invasive surgery with two incisions, parallel to the spine, of only 3-5 mm diameter each. Pain relief is usually immedaite after surgery. The patient resumes walking a few hours after surgery. No orthopaedic corset or long-time rest in bed is necessary. The surgery can be performed with local anesthesia.
Kyphoplasty is much safer than vertebroplasty, because a space is created inside the fractured vertebra with a balloon that restores the original height of the vertebra. This space is then filled with biologically-compatible cement by low-pressure injection.
In classical vertebroplasty, no space is created as no balloon is used to restore the disc’s hieght, while the cement is injected with high pressure, risking the invasion of the spinal canal, vessels or near tissues. Thus, Kyphoplastyis the most modern and safe method to immediately restore the quality of life of a patient suffering pain because of a fractured vertebra.
Example Clinical Case: Kyphoplasty





Pre- and post-operative comparison of a cemented kyphoplasty
Female, age 55, compression fracture of L2

Before 1

After 1

Before 2

after 2
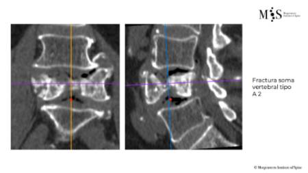
Percutaneous stabilization of unstable vertebral fractures
In cases of complex (unstable, burst, etc.) vertebral fractures, additional stabilization of the fracture by percutaneous stabilization is usually required. In cases where there also is a neurological deficit (muscle weakness, tingling in legs or arms, etc.), a decompression of the spinal canal is additionally required. A percutaneous stabilization of the spine with screws and rods discharges the load on the unstable fracture, stabilizing the whole spine and relieving pain. Depending on the patient’s bone quality, the stabilized vertebrae may be additionally cemented by kyphoplasty.






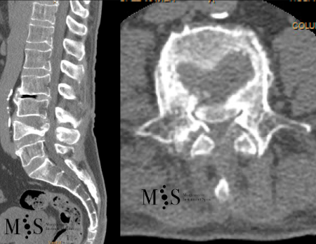
Vertebral body resection (corpectomy) and reconstruction of complex vertebral and burst fractures
Severe vertebral body fractures, i.e. conminute and burst fractures, may require a partial vertebral body resection (corpectomy) and reconstruction with an expandable vertebral body cage. Especially severe fracture cases are also those with a bone fragment moving into the spinal canal that compresses on neural structures, such as the spinal cord and causes spinal canal stenosis. Corpectomy allows to resect most of the fractured body, including the bone fragments pushing on the nerves and intruding into the spinal canal. The vertebral body reconstruction is usually rounded up with a posterior augmented instrumented fusion of the adjacent levels to the fracture. All of this allows a proper healing of the fracture and the patient to recover without pain.
Clinical case example of a lumbar vertebral body resection (corpectomy) and reconstruction of a burst fracture at level L4.


Accreditations

Accreditation of Dr. Morgenstern as a qualified surgeon for
"Kyphoplasty" (vertebroplasty with balloon and low pressure cementing).


































