

- FACULTATIVO ESPECIALISTA CIR. ORTOPÉDICA Y TRAUMATOLOGÍATraumatología y Cirugía OrtopédicaCentro Médico Teknon
El tractament de les fractures vertebrals mitjançant cifoplastia amb baló cementada a baixa pressió
La Cifoplastia és el mètode més ràpid i més segur per eliminar el dolor en les fractures vertebrals, restaurar l’altura vertebral i evitar la possibilitat que es fracturin per osteoporosi les vèrtebres adjacents.
La Cifoplastia es realitza per cirurgia mínimament invasiva amb dues incisions de només 3 mil·límetres cadascuna paral·leles a la columna vertebral i el pacient pot passejar el mateix dia i no necessita cap corsé ortopèdic ni repòs al llit. Pot realitzar-se amb anestèsia local.
La Cifoplastia és molt més segura que la Vertebroplastia perquè es crea a la vèrtebra fracturada un espai amb una baló inflable que restaura l’altura vertebral i que s’omple amb ciment plàstic injectat a baixa pressió.
En la Vertebroplastia no es crea l’espai amb baló i s’injecta el ciment a alta pressió, amb el risc d’envair el canal medul·lar, gots i altres teixits circumdants i no es restaura l’enfonsament vertebral. La Cifoplastia és el mètode més modern i segur per millorar la qualitat de vida de les persones que pateixen fractures vertebrals.
Exemple cas clínic cifoplastia





Comparació pre- i post-operatoria d’una cifopastia cementada
Dona, edat 55 anys, fractura aixafament dret de L2

Abans 1

Després 1

Abans 2

Després 2
Estabilització percutània de fractures vertebrals inestables
En casos de fractures vertebrals complexes, inestables, comminutes, etc. es requereix una estabilització addicional de la fractura mitjançant una artròdesi percutània, i en alguns casos en els quals hi ha compromís neurològic, una descompressió del canal medul·lar. L’artrodesi percutània permet estabilitzar l’estructura compromesa de la columna vertebral i descarregar la càrrega del pacient sobre la fractura. Addicionalment se solen cementar les vertebres artròdesis i la fractura vertebral mitjançant cifoplastia.
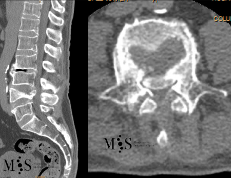
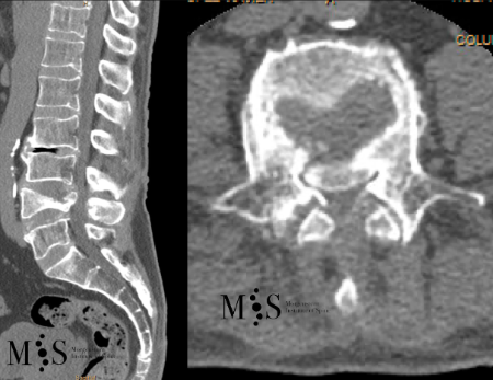
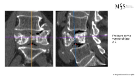
Fractura Vertebral Ejemplo de Caso Clínico






Resecció (corpectomia) i reconstrucció vertebral de fractures vertebrals complexes i conminutes
En els casos de les fractures més greus, com les fractures conminutes i les fractures d’esclat, un fragment del cos vertebral pot ficar-se dins del canal medular, provocant una compresió de les estructures neurològiques (estenosi del canal medular).
Quan amés n’hi ha un compromis neurològic, s’haruá de realitzar una resecció parcial o total del cos vertebral fracturat (corpectomia) per després reconstruir-lo reconstrucción mitjantçant d’una caixa somàtica expandible. La reconstrucció es sol completar amb una artrodesi percutànea instrumentada i cementada dels nivells adjacents a la fractura. La resecció de la vèrtebra (corpectomia) permet extrahir el fragment d’os qu’es trova al canal medular i lliberar les estructures neurològiques afectades. La reconstrucció amb una caixa somàtica permit descarregar la carga del pacient sobre la fractura i treure el dolor que aquesta li provoca.
Cas clínic d'una resecció (corpectomia) i reconstrucció vertebral lumbar en una fractura esclat de nivell L4.


Acreditació

Acreditació del Dr. Morgenstern com cirurgià qualificat per la
„Cifoplastia" (vertebroplàstia amb baló i cimentat a baixa pressió).








































