

- FACULTATIVO ESPECIALISTA CIR. ORTOPÉDICA Y TRAUMATOLOGÍATraumatología y Cirugía OrtopédicaCentro Médico Teknon
Indicaciones de la fusión endoscópica cervical
La mayoría de los casos de dolor cervical con o sin irradiación a los brazos provocados por hernias discales o estenosis foraminales se pueden resolver mediante endoscopia cervical. Sin embargo en algunos casos es necesario la inserción de implantes en la columna cervical. La fusión cervical con implantes está indicada en casos con patologías cervicales complejas que suelen ser pacientes con una inestabilidad cervical (espondilolistesis), deformación de la columna cervical (cifosis) y dolor bilateral irradiado con afección de ambos brazos.

TAC (izquierda) y Rx (derecha) de columna cervical que muestra una degeneración avanzada de
varios discos intervertebrales cervicales (marcados con un círculo rojo).

endoscópica de dos niveles con alta hospitalaria en menos de 24 horas.
El Dr. Morgenstern es pionero mundial en la cirugía de fusión endoscópica cervical que permite la inserción de un implante en un disco intervertebral de la columna cervical mediante una incisión de menos de 2 cm de longitud en el cuello del paciente.
La cirugía endoscópica de fusión se realiza mediante dilatación progresiva de los tejidos blandos y no requiere la resección de estructuras anatómicas para poder acceder al disco cervical. De esta manera se reduce la cicatrización y el sangrado, reduciendo los riesgos de infección, hematoma, etc. hasta tal punto que la cirugía de fusión endoscópica cervical NO requiere ingreso en UCI y puede darse el alta hospitalaria al paciente en menos de 24 horas tras la cirugía.

Mínima cicatriz en el cuello de una paciente tras cirugía de fusión endoscópica cervical
con la inserción de DOS cajas por la misma pequeña cicatriz en el cuello
.
La cirugía de fusión endoscópica se inicia con una discectomía endoscópica para la preparación del disco. Una vez el disco se ha preparado, se procede a la inserción percutánea del implante, pudiendo ser este una caja intersomática para la fusión vertebral o una prótesis de disco para conservar la movilidad del nivel operado. La inserción del implante se realiza mediante control fluoroscópico y visión endoscópica directa, véase la animación en el lateral derecho de esta página.

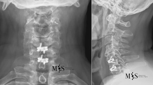
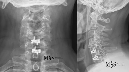
Rx en frente (izquierda) y perfil (derecha) de un implante/caja intersomática
de titanio insertada mediante técnica endoscópica en el nivel C5/C6
El dolor de origen de la patología suele remitir en las primeras horas tras expandir el espacio intervertebral. Deambulación inmediata y alta hospitalaria en menos de 24 horas.
Ejemplo Caso Clínico
Esta paciente de 49 años con una hernia cervical migrada cranealmente en C4/C5 y una inestabilidad en C5/C6 se le realizó una fusión cervical en dos niveles poniendo dos cajas cervicales a través de una incisión en la piel de sólo 2 cm. La recuperación post-operatoria de la paciente fue excelente y muy rápida, pudiéndose dar el alta hospitalaria en menos de 24 horas después de la cirugía.



Imágenes de una cirugía de fusión cervical endoscópica




Animación de la inserción de una caja intersomática por vía endoscópica percutánea.
Nótese la apertura (expansión) de la pared posterior del disco al insertar la caja.

Incisión en la piel del cuello de sólo 2 cm de longitud tras inserción
de una caja intersomática cervical por técnica de fusión endoscópica

Mínima cicatriz en la piel del cuello de solo 2 cm de longitud tras inserción
de dos cajas intrasomáticas cervicales con la técnica de fusión endoscópicas


































