

- Centro Médico Teknon
Constituyen el conjunto de técnicas que nos permiten restituir los dientes perdidos por otros de diferentes materiales, cada vez más parecidos a los dientes naturales y con los que - de acuerdo a nuestra filosofía - podemos devolver a nuestro paciente la función y la estética.
En este apartado, también, la aparición de nuevos materiales cerámicos miméticos al diente natural ha contribuido al desarrollo de nuestros trabajos auténticamente artísticos.
Es de justicia remarcar que el protesista -es decir, el dentista que diseña y coloca las prótesis en la boca- debe una gran parte del éxito al protésico - técnico de laboratorio que fabrica las prótesis -, entre los que contamos con buen número de profesionales de gran mérito.
El buen tándem protesista - protésico es fundamental para el buen fin de nuestros propósitos.

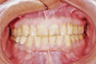
Antes

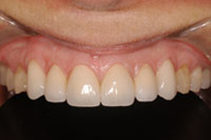
Después

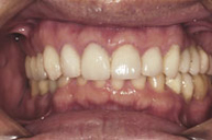
Final

Antes

Después

Después

Después

Final


































