Saltar al contenido

Equipo Dr. Medina
Consultorio
Dr. MedinaDr. Medina
Medina Villareal JesusOdontologíaEstomatología
Estética

Una de las grandes preocupaciones del público actual es la apariencia estética, por lo que la odontología debe dar satisfacción a las lógicas aspiraciones de nuestros pacientes en lo referente a la apariencia de su sonrisa.

No hay un único odontólogo especializado en este apartado, sino que para conseguir una sonrisa perfecta casi siempre debemos participar varios especialistas.

Disponemos de un amplio arsenal de posibilidades para conseguir excelentes resultados:

  • Blanqueamiento dental
  • Composites estéticos
  • Carillas o facetas de porcelana
  • Otros materiales de nueva generación

La apariencia estética va unida a una buena función del sistema, por lo que a veces se deben aplicar técnicas de ortodoncia conservadora, prótesis o cirugía para conseguir los mejores resultados.

Para nosotros, en realidad, no existe una odontología estética, sino que toda odontología debe ser estética.

También debemos remarcar que no concebimos la estética sin la función.

  • Diapositiva1Diapositiva1

    Antes

    Diapositiva2Diapositiva2

    Después

    InicioInicio

    Antes


    caso1_1caso1_1

    Después

    despues1despues1

    Después

    despues2despues2

    Después

  • dientes antesdientes antes

    Antes

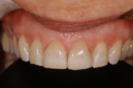
    dientes centrados despuésdientes centrados después

    Después

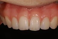
    después labios rojosdespués labios rojos

    Después

    despues dientes y labios rojosdespues dientes y labios rojos

    Después

  • carillas de porcelana rostro entero antescarillas de porcelana rostro entero antes

    carillas de porcelana rostro entero despuéscarillas de porcelana rostro entero después





    carillas de porcelana sonrisa antescarillas de porcelana sonrisa antes





    carillas de porcelana sonrisa despuéscarillas de porcelana sonrisa después

    Antes

    Después

    Antes

    Después


    carillas de porcelana lateral despuéscarillas de porcelana lateral después Carillas de porcelana dentadura superiorCarillas de porcelana dentadura superior

    Después

    Después

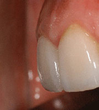
  • Antes del procesoAntes del proceso

    Antes

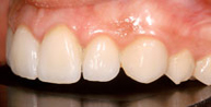
    Después del procesoDespués del proceso

    Después

    Final del procesoFinal del proceso

    Final


  • Antes del procesoAntes del proceso

    Antes

    Después del procesoDespués del proceso

    Después


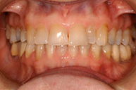
  • Antes del procesoAntes del proceso

    Antes

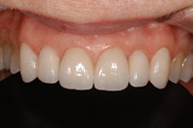
    Después del procesoDespués del proceso

    Después

    Antes del procesoAntes del proceso

    Antes

    Después del procesoDespués del proceso

    Después


    Final del procesoFinal del proceso Final del procesoFinal del proceso

    Final

  • Antes del procesoAntes del proceso

    Antes

    Después del procesoDespués del proceso

    Después

    Antes del procesoAntes del proceso

    Antes

    Después del procesoDespués del proceso

    Después

  • Antes del procesoAntes del proceso

    Antes

    Después del procesoDespués del proceso

    Después

    Antes del procesoAntes del proceso

    Antes

    Después del procesoDespués del proceso

    Durante el tratamiento de ortodoncia

    Final del procesoFinal del proceso Final del procesoFinal del proceso

    Final

Pedir cita