Jump to content

Equipo Dr. Medina
Consultation area
Dr. MedinaDr. Medina
Medina Villareal JesusDentistryStomatology
Prótesis

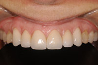
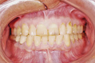
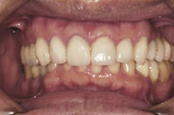
Constituyen el conjunto de técnicas que nos permiten restituir los dientes perdidos por otros de diferentes materiales, cada vez más parecidos a los dientes naturales y con los que - de acuerdo a nuestra filosofía - podemos devolver a nuestro paciente la función y la estética.

En este apartado, también, la aparición de nuevos materiales cerámicos miméticos al diente natural ha contribuido al desarrollo de nuestros trabajos auténticamente artísticos.

Es de justicia remarcar que el protesista -es decir, el dentista que diseña y coloca las prótesis en la boca- debe una gran parte del éxito al protésico - técnico de laboratorio que fabrica las prótesis -, entre los que contamos con buen número de profesionales de gran mérito.

El buen tándem protesista - protésico es fundamental para el buen fin de nuestros propósitos.

Pedir cita