

Centro Médico Teknon
Centro Médico Teknon
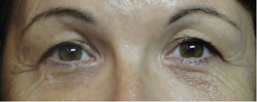
¿Qué es la dermatocalasia?
Dermatocalasia consiste en un exceso de piel en el párpado superior o inferior produciendo excesivos pliegues. Puede afectar a hombres y mujeres y generalmente se debe al proceso de envejecimiento.
Desafortunadamente, con el paso del tiempo y por los factores hereditarios, tanto los párpados superiores como los inferiores pueden desarrollar "bolsas" debido a que la piel se estira, los músculos se debilitan y el tejido adiposo que rodea al globo ocular se vuelve más evidente.

Síntomas
Usualmente es de preocupación cosmética, en algunos casos puede causar sensación de pesadez palpebral y cuando es severo en el párpado superior, puede obstruir el campo visual.
Manejo
Generalmente se trata con blefaroplastia. La blefaroplastia reduce la bolsa de párpados inferiores y elimina el exceso de piel de los párpados superiores.
Esta cirugía generalmente se hace por razones estéticas. También es una manera eficaz de mejorar la vista en las personas mayores, cuyos párpados superiores caídos afectan el campo visual superior.
La infiltración es un complemento muy útil en la mejora estética de muchos pacientes, actúa relajando la musculatura periocular, impidiendo la formación de las líneas de expresión (arrugas del entrecejo, patas de gallo y frente). Funciona en las arrugas dinámicas, aquella producidas por los movimientos. Su duración varía según la persona siendo en promedio de 4 a 6 meses.


































