

Centro Médico Teknon
Centro Médico Teknon
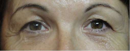
Què és la dermatocalasia?
Dermatocalasia consisteix en un excés de pell a la parpella superior o inferior produint excessius plecs. Pot afectar a homes i dones i generalment es deu al procés d’envelliment.
Desafortunadament, amb el pas del temps i pels factor hereditaris, tant les parpelles superiors com les inferiors poden desenvolupar "bosses" degut a que la pell s’estira, els músculs es debiliten i el teixit adipós que envolta el globus ocular es torna més evident.

Símptomes
Normalment és de preocupació cosmètica, en alguns casos pot causar sensació de pesadesa palpebral i quan és sever a la parpella superior, pot obstruir el camp visual.
Maneig
Generalment es tracta amb blefaroplàstia. La blefaroplàstia redueix la bossa de les parpelles inferiors i elimina l’excés de pell de les parpelles superiors.
Aquesta cirurgia generalment es realitza per raons estètiques. També és la forma més eficaç de millorar la vista a les persones grans, ja que les parpelles superiors caigudes afecten el camp visual superior.
La infiltració és un complement molt útil en la millora estètica de molts pacients, actua relaxant la musculatura periocular, impedint la formació de les línies d’expressió (arrugues de l’entrecella, potes de gall i front). Funciona en les arrugues dinàmiques, és a dir, aquelles produïdes pels moviments. La seva durada varia segons la persona, tot i això, la mitjana és de 4 a 6 mesos.


































