

- Centro Médico TeknonCentre Mèdic Quirónsalud Badalona
Embriología
El desarrollo de la faringe en el embrión, determina la aparición de las principales glándulas endocrinas de cabeza y del cuello, surgiendo de unas evaginaciones que denominamos bolsas. Estas coinciden en el exterior con el sistema de arcos faríngeos, cuyos derivados esqueléticos,, nerviosos y arteriales se expone en la tabla 2. Estos arcos separados por surcos confieren al embrión el aspecto de las agallas de los peces, pero en ningún momento llegan a coincidir exterior con el interior como sucede en los mismos.
Las bolsas faríngeas 1ª y 2ª darán origen al receso tubo timpánico, a partir del que se formaran el oído medio y la trompa de eustaquio, el componente ventral de la 2ª dará origen a la fosa intramigdalina. El ala dorsal de la 3ª bolsa dará origen a la paratiroides inferior, el ala ventral de la 3 ª bolsa al timo. La 4ª bolsa originara, su componente dorsal formara la paratiroides superior, su ala ventral es en realidad la 6ª bolsa o cuerpo ultimo branquial que supone constituye las células interfoliculares del tiroides. Este sistema bilateral, deja en su zona media el tubérculo impar y la eminencia hipobranquial, que originan la lengua y el tiroides.
Una vez esbozadas estas estructuras, para comprender la formación de los quistes branquiales, necesitamos conocer una estructura denominada seno cervical. El crecimiento de los arcos es diferente, de manera que el 1º y el 2º se desarrollan mucho, quedando los 3º y 4º arcos sumergidos en una fosa ectodérmica poco profunda que denominamos seno cervical. Así mismo la cresta epipericárdica se levanta encerrando mas profundamente al seno cervical, de esta cresta se formaran el músculo esternocleido mastoideo, el trapecio y los músculos infrahoideos y del piso de la boca, así mismo los nervios espinal y el hipogloso, es decir estas estructuras no son craneales, sino que quedaron incorporados dentro del cráneo en la evolución de los mamíferos.
El área aproximada del seno cervical con forma triangular, es determinada por derivados de la cresta epipericárdica, el esternocleidomastoideo, el trapecio, la musculatura infrahoidea y el piso de la boca, los elementos derivados de los arcos cartílagos hiodes, tiroides y cricoides quedan dentro del seno cervical, los nervios hipogloso y su asa descendente son posteriores siempre al seno cervical.
De hecho el crecimiento del 2º arco es tan importante que sobresale cubriendo las hendiduras branquiales como sucede en los peces osificados, así mismo determina que en derivado muscular de este arco, el platisma cubre estas estructuras, con el tiempo el seno cervical se desprende de la superficie por cierre del orificio externo, el seno se oblitera y normalmente no deja restos.
Diagrama que muestra la formación del seno cervical en el periodo embrionario y su posición en el adulto a) seno cervical b) seno cervical en el adulto c) Cresta Epipericárdica.
- Fístulas, senos y quistes branquiales
Son lesiones congénitas debidas a la persistencia del seno cervical, siendo formadas por tejido epitelial ectodérmico, si se mantienen conexiones con la superficie nos encontraremos con una fístula que drena intermitentemente al exterior en algún punto de la superficie anterior del esternocleido mastoideo. Si la conexión es con el interior, con el sistema de bolsas nos permite clasificarlos en conexiones con la segunda, tercera, cuarta o sexta.
La conexión con la 2 ª bolsa determina que desde el quiste asciende la fístula siguiendo la vaina carótida, delante de la carótida interna y sobre la bifurcación( 3 arco) hasta que llega al nervio hipogloso vira sobre él pues es un derivado de la cresta epipericárdica y horada la pared faríngea desembocando en la fosa a intraamigdalina (2º arco).
La conexión con la 3 ª bolsa pasa detrás de la carótida interna vira sobre el hipogloso y desciende hacia la faringe entrando el ella en la región del seno piriforme a nivel de la membrana tirohoidea más craneal que la rama laríngea superior (4º arco). Las conexiones con la bolsa 4 y 6 son teóricamente posibles pero implicarían que tras virar sobre el hipogloso descendieran hasta la raíz del cuelo o al mediastino anterior.
Las fístulas branquiales están siempre presentes al nacimiento. Pueden ser unilaterales o bilaterales. El orificio externo asienta en el tercio medio o inferior del músculo esternocleido mastoideo. Los quistes branquiales se manifiestan por lo general en el adulto, en muy pocos casos en niños. Suelen ser 4 - 5 veces mas frecuentes que las fístulas branquiales. Se encuentran ubicados en la cara superficial de la vaina carótida, profundos con respecto al borde anterior del esternocleidomastoideo, a la altura de su tercio medio. Se presentan como masas lisas mas o menos redondeadas, fluctuantes, blandas e indoloras y con cierta movilidad lateral. Hay que establecer el diagnostico diferencial con adenopatías, higroma, lipomas y hemamgiomas.
Tanto las fístulas como los quistes branquiales pueden infectarse. Cuando ocurra esto debe tratarse con antibióticos antes de realizar su tratamiento definitivo, siendo necesario en algunos casos proceder a su evacuación.
Debemos completar la exploración con una punción aspiración con aguja fina, que nos informara de células epiteliales cuboideas características de la pared del quiste, y la tomografía axial computerizada que nos definirá sus relaciones y la presencia de adenopatías acompañantes.
El tratamiento es siempre quirúrgico, para los quistes branquiales, se practica una incisión transversal siguiendo un pliegue de la piel del cuello. Esta exéresis no suele ser fácil; por el contrario requiere todos los cuidados que requiere la cirugía del cuello en la encrucijada carotídea.
Para la extirpación de fístulas, se emplea el método de incisiones escalonadas de Sistrunk. Se trazan dos incisiones en huso alrededor del orificio fistuloso externo y se diseca la fístula lo mas alto que se pueda. Se traza otra incisión mas arriba para completar su despegamiento y exéresis completa. A veces son necesarias 3- 4 incisiones escalonadas.
Relaciones de los quiste de 2º (A) y 3º (B) arco con las estructuras
vasculares, nerviosas y faríngeas.
CP Carótida Común, CI Carótida Interna,
CE Carótida Externa, LS Nervio Laríngeo Superior,
12 Nervio Hipogloso,9 Nervio Glosofaríngeo.
Quiste branquial de 2º arco, cubierto por
el músculo platisma, en lateral el ECM
y en profundidad la yugular interna y la carótida.
Diferentes incisiones en Cirugía Cervicofacial a) Central Superior, acceso al Quiste Tirogloso a`) Si al Quiste Tirogloso se le añade Fístula, precisa incisiones escalonadas b)Central Inferior en Corbata, incisión para acceder al Tiroides y Paratiroides c) Incisión de parotidectomía, adecuada para quiste de 1º arco c`) Si se añade Fístula del primer arco d) Lateral alta optima para acceder a triangulo carotídeo, Quiste braquial e) Esta prolongación permite adecuado control para lesiones laterocervicales de mayor tamaño d´) Fístula 2º arco incisión escalonada - Fístulas auriculares congénitas
Las anomalías de la primera hendidura, también llamada fístulas auriculares congénitas constituyen al menos el 10% del total. La edad media de presentación es alrededor de los 3 años. La malformación se localiza en un área que comprende el conducto auditivo externo, parótida, ángulo de la mandíbula, región retroauricular, región submaxilar y cervical alta, se deben a la persistencia o falta de obliteración del primer arco branquial o una fusión incompleta de los distintos tubérculos auriculares. No se cree que estas anomalías tiene relación con los quistes pretragales mucho mas frecuentes, que pueden alcanzar el periostio del hueso temporal, sin ninguna conexión con el conducto auditivo externo. El lugar donde se manifiestan mas frecuentemente es la región laterocervical alta, seguida de la parótida y auricular.
Según su localizacion y procedencia embriológica se clasifican en tres grupos:
- Fístulas preauriculares entre la comisura bucal y el trago.
- Fístulas preauriculares localizadas delante de la raíz ascendente del hellix y que se dirigen al conducto auditivo externo.
- Depresiones sacciformes o pequeñas fístulas ciegas que pueden localizarse en cualquier parte del pabellón auricular.
Otra clasificación es la de Work, que nos las relaciona con el conducto auditivo externo y el nervio facial. Seria el tipo I (Horizontal) de alteración es el mas sencillo y consiste en duplicidad del conducto, apareciendo como fístula o quiste ectodérmico preauricular generalmente están sobre el nervio facial. El tipo II (Vertical) se presenta en forma de masa irregular de unos 2-3 cm, con fluctuaciones de tamaño, drenaje mucoso frecuente e infección ocasional, que se extiende desde el ángulo de la mandíbula, región sub o retroauricular hasta el conducto auditivo interno a través de la parótida, ya sea medial o lateral al nervio facial. Su tratamiento requeriría incisión tipo parotidectomia para identificar el nervio facial y evitar su lesión.
- Quiste del conducto tireogloso
Es una malformación frecuente y constituye el 40% de las anomalías congénitas cervicales Son debidas a la persistencia del conducto tireogloso, que comunica la bolsa faríngea por encima del foramen caecum de la lengua con el istmo tiroideo.
El descenso de la glándula tiroides hasta la traquea alarga el conducto tireogloso, que acaba obliterándose, el fallo de este proceso se manifiesta por la formación de quistes con o sin fístula externa. Clínicamente son una tumoración quística, en línea media del cuello a nivel de la menbrana tirohoidea de pequeño tamaño que oscila desde el de una nuez al del huevo de una paloma, de superficie lisa, de consistencia blanda, no adherida a la piel, pero si al hueso hioides, indolora a la palpación y que se desplaza con los movimientos deglutorios y al sacar la lengua. Son asintomáticos, excepto cuando se infectan, eventualidad que suele ocurrir en mas del 50% de casos. La infección se produce normalmente a partir de la cavidad bucofaríngea, que se manifiesta a nivel del quiste por aumento rápido de tamaño, dolorimiento, imprecisa delimitación a la palpación y alteración de las características normales de la piel que lo cubre. El único síntoma subjetivo suele ser el dolor a la deglución, pero, si es intralingual puede producir disartria y disfagia. Mediante tratamiento medico conservador, la situación se vuelve a la normalidad, aunque lo mas frecuente es que fistulice. El orificio externo dela fístula puede estar localizado a lo largo de toda la línea media anterior, es decir desde el hueso hiodes al hueco supraesternal. Hay que establecer el diagnostico diferencial con el quiste dermoide de línea media, lipomas y tiroides ectópico.
Debemos completar la exploración con una punción aspiración con aguja fina, que nos informara de células epiteliales cuboideas características de la pared del quiste, y la tomografía axial computerizada que nos definirá sus relaciones con el hiodes.
El tratamiento siempre es quirúrgico Mediante una incisión transversal y si se trata de una fístula dos incisiones en huso que abarquen el orificio fistuloso, se despega el quiste o la fístula hasta el hueso hiodes y como la porción central del hueso esta siempre involucrada en dicho proceso se reseca su porción media y se libera el resto de la fístula hasta la base d ella lengua. Para facilitar esta ultima maniobra, el anestesista introduce su dedo en la faringe y abomba su pared hacia fuera. Cuando la fístula esta situada distalmente se sigue el procedimiento de incisiones escalonadas de Sistrunk.
Trayecto del Conducto Tireogloso : CT Conducto Tireogloso
se inicia en FC Foramen Cecum, sigue por la L Lengua,
vira sobre el H Hioides y termina en T Tiroides
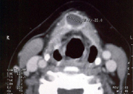
Imagen TAC cervical, Quiste tirogloso, se aprecia
su disposición central y sus relaciones con el hueso hioides























































