

- Centro Médico Teknon
¿Qué son?
Estos quistes, en ocasiones adquiridos y en otras de origen congénito, son lesiones con características propias, asociadas a glándulas endocrinológicas como son el tiroides, paratiroides y timo, y las asociadas a glándulas salivares. Su correcto diagnóstico, permitirá su adecuado tratamiento quirúrgico.
- Quistes tiroideos
En la parte inferior del cuello podremos encontrarnos formaciones nodulares con características especiales, como son los quistes tiroides, nuestro objetivo serán por una parte reconocer su relación con esta glándula endocrina y por otra el conseguir un diagnostico diferencial con las neoplasias tiroideas. Contamos con una serie de exploraciones precisas para llegar a un correcto diagnostico: la Ecografía asociada a la punción con aguja fina, la tomografía axial computerizada ( TAC), la Gammagrafía tiroidea y las pruebas analíticas hormonales.
Cualquier aumento palpable de tamaño de la glándula tiroides nos hace plantearnos las siguientes situaciones, un aumento acusado y homogéneo con o sin captación en la ganmagrafía es habitual en mujeres jóvenes y no es considerado patológico. Sin embargo una captación ganmagráfica acusada y difusa en una glándula no quistita. Debemos completar la exploración con una punción aspiración con aguja fina, que nos informara de células epiteliales cuboideas características de la pared del quiste, y la tomografía axial computerizada que nos definirá sus relaciones y la presencia de adenopatías acompañantes nos orienta hacia un hipertiroidismo tipo Graves. Si nos encontramos un nódulo fijo duro e hipocaptante pensaremos en neoplasia tiroidea, si este nódulo es hipercaptante, y con características místicas en la ecografía, las posibilidades de lesión maligna son mas bajas apuntando a un adenoma toxico, y por ultimo la presencia de múltiples lesiones hipercaptantes o zonas captantes y zonas frías ( antiguas hemorragias intraquísticas) traduce la presencia de un tiroides multiquístico, en estos casos la frecuencia de malignidad es menor, y la indicación quirúrgica surgen por motivos compresivos o estéticos. La cirugía tiroidea dependerá del quiste pudiendo realizarse desde una enucleación ( raro ), una hemitiroidectomía, una tiroidectomía subtotal o total.
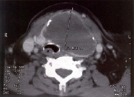
TAC cervical, Quiste tiroideo de gran tamaño, que ocupa todo el lóbulo tiroideo izquierdo, comprime la traquea y el esófago ( que introduce en la pared posterior de la traquea ), su prolongación inferior se introducía en mediastino, preciso hemitiroidectomia izquierda - Quistes paratiroideos
Constituyen una rareza, y se caracterizan por ser clínicamente como los nódulos tiroideos, sin embargo al realizar una punción aspiración, es frecuente obtener en el liquido del quiste niveles elevados de hormona paratiroidea, esto añadido a que al realizar una TAC se aprecia su independencia de la glándula tiroides, en algunos casos presenta hiperparatiroidismo, pero este cuadro es mas frecuente en los adenomas y cistadenomas. El tratamiento es quirúrgico y rigen las mismas consideraciones que en la cirugía tiroidea.
- Quistes broncogénicos cutáneos: Los quistes broncogenicos cutáneos son muy raros. se desarrollan a partir de células ectópicas del tracto respiratorio, y se localizan a nivel de la fosa supraesternal. Son de crecimiento lento y asintomático. Histológicamente están constituidos por una cápsula cubierta de epitelio ciliar columelar seudoestratificado con contiene células mucosas.
- Quistes tímicos: Son formaciones quísticas uniloculares o multiloculares cubiertas de epitelio escamoso o cuboideo, con contenido liquido claro o turbio y generalmente unilaterales. Se proceden de la implantación ectópica de las células tímicas aberrantes. Se localizan a lo largo de una línea imaginaria que uniese el ángulo de la mandíbula con la porción central del cuello. Suelen ser asintomáticos, excepto cuando se infectan o crecen rápidamente.
Imagen TAC, caso inusual, quiste paratiroideo, se trataba de una paciente adolescente con una lesión quística supraesternal inferior con relación al lóbulo tiroideo, sobre la carótida primitiva y que se continuaba hacia el mediastino superior


































