
Consultorio

AV Medical Group (Despacho Dr. Aleix Vidal)Traumatología - Cirugía Ortopédica Adultos
- FACULTATIVO ESPECIALISTA MEDICINA FÍSICA Y REHABILITACIÓNMedicina Física y Rehabilitación / Medicina de la Educación Física y el DeporteCentro Médico Teknon
FACULTATIVO ESPECIALISTA CIR. ORTOPÉDICA Y TRAUMATOLOGÍATraumatología y Cirugía OrtopédicaCentro Médico Teknon
FACULTATIVO ESPECIALISTA CIR. ORTOPÉDICA Y TRAUMATOLOGÍATraumatología y Cirugía OrtopédicaCentro Médico Teknon
FACULTATIVO ESPECIALISTA CIR. ORTOPÉDICA Y TRAUMATOLOGÍATraumatología y Cirugía OrtopédicaCentro Médico Teknon- FACULTATIVO ESPECIALISTA CIR. ORTOPÉDICA Y TRAUMATOLOGÍATraumatología y Cirugía OrtopédicaCentro Médico Teknon
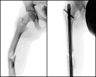
Nos referimos en este apartado a la porción media del fémur, a su diáfisis. Las fracturas en esta localización se asocian frecuentemente a traumatismos de alta energía como accidentes de tráfico o caídas desde grandes alturas y suelen asociarse a fracturas a otros niveles constituyendo lo que denominamos politraumatismo. Se han descrito también fracturas de estrés en atletas de competición después de sobreesfuerzo repetitivo pero son muy poco frecuentes. El tratamiento es eminentemente quirúrgico proponiéndose un tutor intraóseo colocado a través deuna mínima incisión (menos de 3 centímetros) con la finalidad de quitar el dolor, restituir la longitud del muslo e iniciar cuanto antes el movimiento.


































