
Consultation area

AV Medical Group (Office Dr. Aleix Vidal)Traumatology and Orthopedic surgery
- Specialist Physician in Physical Medicine and RehabilitationPhysical Medicine and RehabilitationCentro Médico Teknon
SPECIALIST PHYSICIAN IN ORTHOPEDIC SURGERY AND TRAUMATOLOGYTraumatology and orthopedic surgeryCentro Médico Teknon
SPECIALIST PHYSICIAN IN ORTHOPEDIC SURGERY AND TRAUMATOLOGYTraumatology and orthopedic surgeryCentro Médico Teknon
SPECIALIST PHYSICIAN IN ORTHOPEDIC SURGERY AND TRAUMATOLOGYTraumatology and orthopedic surgeryCentro Médico Teknon- SPECIALIST PHYSICIAN IN ORTHOPEDIC SURGERY AND TRAUMATOLOGYTraumatology and orthopedic surgeryCentro Médico Teknon
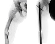
We refer in this section to the middle portion of the femur also called mid-shaft fractures. Fractures in this location are frequently associated with high-energy trauma such as traffic accidents or falls from great heights as well as high speed sports. Manu times femoral fractures are associated with fractures in other locations called poly-trauma injuries. There have also been reported stress fractures in competitive athletes after repetitive overuse but these are very rare situations. The treatment is always surgical stabilization. An intramedullary nail is placed through a minor incision to restore leg strength and start walking as soon as possible.


































