

FACULTATIVO ESPECIALISTA CIR. ORTOPÉDICA Y TRAUMATOLOGÍATraumatología y Cirugía OrtopédicaCentro Médico Teknon- FACULTATIVO ESPECIALISTA MEDICINA FÍSICA Y REHABILITACIÓNMedicina Física y RehabilitaciónCentro Médico Teknon
FACULTATIVO ESPECIALISTA CIR. ORTOPÉDICA Y TRAUMATOLOGÍATraumatología y Cirugía OrtopédicaCentro Médico Teknon
Traumatismos de la cadera
La articulación de la cadera representa la unión del fémur y la pelvis. En pacientes de edad avanzada la cadera puede fracturarse simplemente caminando debido al déficit de calcio (osteoporosis), muy frecuente a este nivel. Sin embargo, en la población joven se requiere un gran traumatismo para producir una fractura o luxación en esta región. Actualmente y gracias al avance de la traumatología mínimamente invasiva hemos conseguido recuperar estas lesiones a través de pequeñas incisiones devolviendo a nuestros pacientes a su actividad habitual en un periodo de tiempo muy corto.
Fracturas de acetábulo
El acetábulo es la concavidad de la pelvis donde se aloja la cabeza del fémur formando con éste la articulación de la cadera. Las fracturas de la cadera por afectación del acetábulo obedecen a traumatismos de alta energía como accidentes de tráfico, deportes de riesgo y precipitaciones desde grandes alturas. Son lesiones complejas y difícilmente valorables con radiología convencional por lo que se requiere estudio mediante tomografía computerizada (TAC) para estimar la gravedad de la lesión y planificar su tratamiento específico.

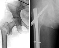
Fracturas de tercio superior del fémur
Las fracturas del tercio superior del fémur, aunque también pueden producirse en pacientes jóvenes, son fracturas más frecuentes en la edad avanzada y debido a mínimos traumatismos a causa de la osteoporosis a este nivel. El enorme espectro de fracturas que existe en esta zona es amplio y por tanto sus tratamientos son distintos.
Los tratamientos conservadores exigen grandes temporadas de encamamiento dada la localización de la lesión por lo que abogamos siempre que sea posible por una cirugía mínimamente invasiva gracias a la cual con pequeñas incisiones se restaura con facilidad la anatomía devolviendola articulación a su rango de movilidad habitual en el menor tiempo posible.

Luxación de cadera
La luxación de la cadera implica que la cabeza del fémur se desarticula de la pelvis. Su incidencia está muy relacionada con la de los accidentes de tráfico, ya que representa su causa más frecuente. Las luxaciones pueden ser anteriores (15%) o posteriores (85%) y éstas últimas pueden asociarse a una lesión del nervio ciático por compresión. La reducción o recolocación de la cabeza femoral en su lugar debe ser antes de doce horas para impedir la osteonecrosis o muerte de la cabeza femoral por insuficiencia vascular.


































