

FACULTATIU ESPECIALISTA CIR. ORTOPÈDICA I TRAUMATOLOGIACirurgia Ortopèdica i TraumatologiaCentro Médico Teknon- FACULTATIU ESPECIALISTA MEDICINA FÍSICA I REHABILITACIÓMedicina Física i RehabilitacióCentro Médico Teknon
FACULTATIU ESPECIALISTA CIR. ORTOPÈDICA I TRAUMATOLOGIACirurgia Ortopèdica i TraumatologiaCentro Médico Teknon
Traumatismos del tobillo y del pie
A través del tobillo y el pie tomamos contacto con el suelo y se hace posible es desplazamiento de nuestro cuerpo. Los traumatismos a este nivel limitan, pues, la posibilidad de trasladarnos haciendo realmente incómoda la recuperación. Los traumatismos del tobillo pueden afectar a ligamentos, hueso o ambos y ocurren con mayor frecuencia durante la práctica deportiva. Los traumatismos del pie, sin embargo, tienen una mayor presencia en el ámbito laboral y obedecen a caídas desde altura o a impacto directo sobre su anatomía.
- Fracturas del tobillo
La articulación del tobillo une la pierna con el pie y su funcionamiento permitela normal deambulación que realizamos. Están implicados los tercios inferiores de la tibia y el peroné que articulan con el astrágalo del pie. Es una región anatómica muy susceptible de recibir lesiones fundamentalmente de dos tipos: alta energía en accidentes laborales o de tráfico produciendo las temibles fracturas de pilón tibial o de baja energía en el ámbito deportivo por mecanismos de torsión produciendo las fracturas maleolares.Las fracturas de pilón tibial se acompañan de gran afectación de los tejidos circundantes al hueso por lo que requieren un tratamiento muy meticuloso de estos tejidos antes de resolver la lesión ósea. En las fracturas maleolares, características de deportes de salto y giro como fútbol, baloncesto, monopatín, voleibol, artes marciales, etc., la lesión se produce a nivel del mecanismo de pinza conocido como mortaja tibioastragalina que impide en condiciones normales que el pie se separe de la pierna.
Las lesiones del tobillo, como en general de todas las articulaciones del esqueleto, requiere una reconstrucción anatómica para evitar la rigidez articular por lo que se realizará una cirugía rápida y mínimamente invasiva para reincorporar al paciente lo antes posible a su actividad previa.
- Lesiones ligamentosas del tobillo
La región del tobillo contiene una serie de ligamentos que confieren estabilidad a esta articulación y que pueden verse vulnerados por traumatismos que provocan la inversión o eversión del pie. Son frecuentes en el ámbito deportivo y menos frecuentes por torceduras debidas a irregularidades del terreno al caminar. Los ligamentos que más sufren este tipo de lesiones son los ligamentos laterales interno y externo del tobillo.Las lesiones de los ligamnetos laterales del tobillo son conocidas como esguinces y pueden ser de tres grados. Los esguinces de primer grado tienen lesionada menos de la mitad del grosor del ligamento, los de segundo grado más de la mitad y en los de tercer grado existe una rotura completa del ligamento. El tratamiento dependerá del grado de lesión por lo que el diagnóstico deberá ser muy preciso basado en la anamnesis, exploración física y las técnicas de imagen.
- Rotura del tendón de Aquiles
Sabemos que la rotura del tendón de Aquiles se produce con mayor frecuencia en varones entre los treinta y los cincuenta años y sabemos que es un mecanismo de contractura brusca lo que la desencadena pero no es muy bien conocida la causa que produce la debilidad del tendón. La rotura tiene lugar a 4 centímetros del anclaje calcáneo del tendón donde la nutrición del tendón es precaria por lo que se cree que existen factores tróficos implicados en la degeneración y rotura a este nivel. En cualquier caso, creemos oportuna la rápida sutura del tendón a través de una pequeñísima incisión aportando factores de crecimiento que estimulen y aceleren el proceso de cicatrización. - Fracturas del pie
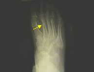
La región del pie está compuesta por huesos y articulaciones con numerosas funciones entre las que destacan el soporte de todo nuestro peso y la función de caminar. Es una región sometida a carga constantemente salvo cuando no caminamos y por ello su rápida recuperación es indispensable para poder desplazarnos de un lugar a otro.El pie a su vez se divide en tres partes: retropié, mediopié y antepié y cada región sufre sus lesiones características. En el deporte las lesiones del pie son muy frecuentes debido a la implicación de éste en la mayor parte de ellos. Son también habituales las fracturas del retropié (calcáneo y astrágalo) en accidentes laborales o precipitaciones donde el paciente cae de pie desde una gran altura. Por lo general las fracturas del pie responden correctamente al tratamiento conservador reservando la actitud quirúrgica a aquellas lesiones complejas irreparables sin cirugía.

- Luxaciones del pie
Las potentes estructuras ligamentosas que unen los huesos del pie hacen que su ruptura sólo obedezca a traumatismos de muy alta energía como accidentes de tráfico o caídas desde gran altura. La separación entre los huesos de una articulación del pie de forma traumática produce una gran inflamación y dolor que impide caminar. Debido a la tumefacción y dolor la exploración física es difícil por lo que la radiología y la tomografía computerizada nos ayudarán a realizar un diagnóstico preciso. El tratamiento dependeráde la estabilidad de la lesión. Debe conseguirse la restitución y mantenimiento de la anatomía fisiológica del pié lo antes posible para disminuir el proceso inflamatorio y disminuir las potenciales secuelas que se puedan derivar de esta lesión.Son típicas de la segunda y tercera década de la vida y afectan casi siempre al sexo masculino por su mayor predisposición a los deportes de velocidad (motociclismo, automovilismo, ciclismo, esquí) y de contacto (karate, judo, tae-kwon-do).
En función de la separación entre los huesos que forman la articulación (acromion y clavícula) el tratamiento puede ser conservador o quirúrgico. Cuándo la separación es grande y la posibilidad de restauración por métodos conservadores es imposible proponemos una rápida y mínima intervención para la reparación articular definitiva.


































