

- FACULTATIVO ESPECIALISTA MEDICINA FÍSICA Y REHABILITACIÓNMedicina Física y RehabilitaciónCentro Médico Teknon
FACULTATIVO ESPECIALISTA CIR. ORTOPÉDICA Y TRAUMATOLOGÍATraumatología y Cirugía OrtopédicaCentro Médico Teknon
FACULTATIVO ESPECIALISTA CIR. ORTOPÉDICA Y TRAUMATOLOGÍATraumatología y Cirugía OrtopédicaCentro Médico Teknon
FACULTATIVO ESPECIALISTA CIR. ORTOPÉDICA Y TRAUMATOLOGÍATraumatología y Cirugía OrtopédicaCentro Médico Teknon- FACULTATIVO ESPECIALISTA CIR. ORTOPÉDICA Y TRAUMATOLOGÍATraumatología y Cirugía OrtopédicaCentro Médico Teknon
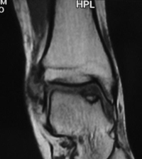
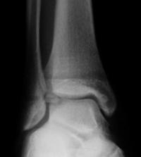
Es una lesión que afecta el hueso y el cartílago de cualquier superficie articular. Anteriormente se conocía como osteocondritis disecante. Esta lesión altera el funcionamiento normal de las articulaciones y puede producir dolor. El tobillo es una de las articulaciones que más se afecta.
Las causas principales de las lesiones osteocondrales de tobillo son los traumatismos y las alteraciones vasculares. El primer consejo que damos a nuestros pacientes es realizar descarga, controlar la sobrecarga ponderal, antinflamatorios no esteroideos (AINE) y utilizar plantillas si existe alguna alteración estructural.

¿Cuándo está indicada la cirugía?
Cuando el dolor no es controlable por ninguna de las medidas expuestas anteriormente.
¿Qué tipo de cirugía es la más aconsejable?
El tratamiento dependerá del tamaño y localización de la lesión. La técnica más utilizada para tratar estas lesiones son las microfracturas y perforaciones realizadas con artroscopia. Cuando la artroscopia ha sido inefectiva o la lesión es muy grande, será necesario utilizar injertos, matriz cartilaginosa o cultivos de condrocitos. Nuestro equipo le aconsejará la operación que mejor se adapta a sus necesidades.
¿Cuál es el tiempo aproximado de ingreso?
Este tipo de cirugía no precisa el ingreso del paciente a excepción de cirugía compleja u otros factores 3 específicos del caso.
¿Qué necesita para la cirugía?
Nuestros especialistas especifican en cada caso qué se necesita.
¿Cuáles son las posibles complicaciones?
Gracias a nuestra experiencia de más de 20 años con dedicación a la cirugía del tobillo, conocemos las posibles complicaciones y tomamos las medidas oportunas para minimizar su aparición.


































