

- FACULTATIVO ESPECIALISTA MEDICINA FÍSICA Y REHABILITACIÓNMedicina Física y Rehabilitación / Medicina de la Educación Física y el DeporteCentro Médico Teknon
FACULTATIVO ESPECIALISTA CIR. ORTOPÉDICA Y TRAUMATOLOGÍATraumatología y Cirugía OrtopédicaCentro Médico Teknon
FACULTATIVO ESPECIALISTA CIR. ORTOPÉDICA Y TRAUMATOLOGÍATraumatología y Cirugía OrtopédicaCentro Médico Teknon
FACULTATIVO ESPECIALISTA CIR. ORTOPÉDICA Y TRAUMATOLOGÍATraumatología y Cirugía OrtopédicaCentro Médico Teknon- FACULTATIVO ESPECIALISTA CIR. ORTOPÉDICA Y TRAUMATOLOGÍATraumatología y Cirugía OrtopédicaCentro Médico Teknon
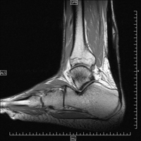
Es el tendón más grueso del cuerpo humano y se localiza en la parte posterior del tobillo. Recibe su nombre de Aquiles, héroe de la guerra de Troya inmortalizado por Homero en la Ilíada. La debilidad de Aquiles estaba en su talón.
Las sobrecargas del tendón de Aquiles provocan pequeñas lesiones que con el tiempo generan graves problemas. Los tipos de lesiones más frecuentes son: tendinitis, tendinosis y roturas. Las tendinitis y tendinosis precisan reposo, talonera de descarga, AINE y fisioterapia. La inyección de factores de crecimiento puede ser efectiva en el tratamiento de estas lesiones. Las roturas de Aquiles (tanto agudas como crónicas) necesitan cirugía para recuperar la fuerza que tenía el paciente antes de la cirugía.
¿Cuándo está indicada la cirugía?
La cirugía se aconseja en las tendinitis y tendinosis cuando hay dolor que no puede controlarse con las medidas expuestas anteriormente. Las roturas de Aquiles tienen que ser operadas si se quiere volver a tener la fuerza que se tenía antes de la lesión.
¿Qué tipo de cirugía es la más aconsejable?
Hay muchos tipos de cirugía para tratar las lesiones del Aquiles. Nuestro equipo le aconsejará la operación que mejor se adapta a sus necesidades.
¿Cuál es el tiempo aproximado de ingreso?
No se precisa ingreso hospitalario, Sin embargo, pude ser necesario n caso de cirugía compleja o en pacientes con enfermedades asociadas.
¿Qué necesita para la cirugía?
Nuestros especialistas deberán determinar el postoperatorio según el caso.
¿Cuáles son las posibles complicaciones?
Todo procedimiento quirúrgico puede presentar complicaciones. Sin embargo, nuestra experiencia de más de 20 años con dedicación a la cirugía del tobillo nos permite conocer las posibles complicaciones y tomar las medidas oportunas para minimizar su aparición.






































