
Consultorio

Sarasquete Reiriz JuanTraumatología - Cirugía Ortopédica Adultos
FACULTATIVO ESPECIALISTA CIR. ORTOPÉDICA Y TRAUMATOLOGÍATraumatología y Cirugía OrtopédicaCentro Médico Teknon- FACULTATIVO ESPECIALISTA MEDICINA FÍSICA Y REHABILITACIÓNMedicina Física y Rehabilitación / Medicina de la Educación Física y el DeporteCentro Médico Teknon
FACULTATIVO ESPECIALISTA CIR. ORTOPÉDICA Y TRAUMATOLOGÍATraumatología y Cirugía OrtopédicaCentro Médico Teknon
FACULTATIVO ESPECIALISTA CIR. ORTOPÉDICA Y TRAUMATOLOGÍATraumatología y Cirugía OrtopédicaCentro Médico Teknon- FACULTATIVO ESPECIALISTA CIR. ORTOPÉDICA Y TRAUMATOLOGÍATraumatología y Cirugía OrtopédicaCentro Médico Teknon
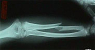
Las fracturas del cúbito y radio son las más frecuentes de la infancia y tienen lugar generalmente por caídas en lugares de recreo y durante la práctica deportiva. En la edad adulta los accidentes de tráfico y los deportes de contacto son las causas más frecuentes de lesión a este nivel. El tratamiento depende del tipo de fractura y grado de desplazamiento. Se realizará tratamiento conservador siempre que la fractura lo permita relegando el tratamiento quirúrgico a aquellas fracturas difícilmente estabilizables mediante escayola.



































