

SPECIALIST PHYSICIAN IN ORTHOPEDIC SURGERY AND TRAUMATOLOGYTraumatology and orthopedic surgeryCentro Médico Teknon- Specialist Physician in Physical Medicine and RehabilitationPhysical Medicine and RehabilitationCentro Médico Teknon
SPECIALIST PHYSICIAN IN ORTHOPEDIC SURGERY AND TRAUMATOLOGYTraumatology and orthopedic surgeryCentro Médico Teknon
SPECIALIST PHYSICIAN IN ORTHOPEDIC SURGERY AND TRAUMATOLOGYTraumatology and orthopedic surgeryCentro Médico Teknon- SPECIALIST PHYSICIAN IN ORTHOPEDIC SURGERY AND TRAUMATOLOGYTraumatology and orthopedic surgeryCentro Médico Teknon
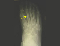
La región del pie es un conjunto de huesos y articulaciones con numerosas funciones entre las que destaca el soporte de todo nuestro peso y la deambulación (caminar). Es una región sometida a carga constantemente salvo cuando no caminamos, es por ello que su rápida recuperación es indispensable para poder desplazarnos de un lugar a otro. El pie a su vez se divide en tres partes: retropié, mediopié y antepié y cada región sufre sus lesiones características. En el deporte las lesiones del pie son muy frecuentes debido a la implicación de éste en la mayor parte de ellos. Por lo general las fracturas del pie responden correctamente al tratamiento conservador reservando la actitud quirúrgica a aquellas lesiones complejas irreparables sin cirugía.



































