

FACULTATIVO ESPECIALISTA CIR. ORTOPÉDICA Y TRAUMATOLOGÍATraumatología y Cirugía OrtopédicaCentro Médico Teknon- FACULTATIVO ESPECIALISTA MEDICINA FÍSICA Y REHABILITACIÓNMedicina Física y Rehabilitación / Medicina de la Educación Física y el DeporteCentro Médico Teknon
FACULTATIVO ESPECIALISTA CIR. ORTOPÉDICA Y TRAUMATOLOGÍATraumatología y Cirugía OrtopédicaCentro Médico Teknon
FACULTATIVO ESPECIALISTA CIR. ORTOPÉDICA Y TRAUMATOLOGÍATraumatología y Cirugía OrtopédicaCentro Médico Teknon- FACULTATIVO ESPECIALISTA CIR. ORTOPÉDICA Y TRAUMATOLOGÍATraumatología y Cirugía OrtopédicaCentro Médico Teknon
- Fracturas de clavícula
- Luxaciones acromioclaviculares
- Luxaciones glenohumerales
- Fracturas del hombro
- Fracturas del brazo
- Luxación de codo
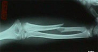
- Fracturas del antebrazo
- Fracturas de la muñeca
- Fracturas de la mano
- Fracturas de la cadera
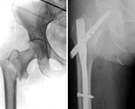
- Fracturas de la fémur
- Fracturas de la rodilla
- Fracturas de la pierna
- Fracturas del tobillo
- Fracturas del pie
Las fracturas de clavícula representan del 10 al 16% de todas las fracturas de nuestro esqueleto y son las fracturas más frecuentes de la infancia. Afectan fundamentalmente a su tercio medio (75%) y no suelen producirse por impacto directo sobre ella, sino, por una caída sobre el hombro, el cual transmitela fuerza deformante hacia la clavícula produciendo su fractura.Este tipo de lesión es característico, pues, de aquellos deportes que pueden provocar impactos violentos sobre el hombro como caídas desde bicicleta, motocicleta, patín, skate o deportes de contacto como rugby, hockey hielo, futbol americano, etc.
Con la finalidad de una rápida incorporación a la actividad deportiva proponemos siempre que sea posible una intervención mínimamente invasiva con una estabilización rápida a través de una pequeñísima incisión que garantiza una menor probabilidad de complicaciones.
Las luxaciones acromioclaviculares son producidas por traumatismos en el hombro y producen la separación entre la clavícula y el acromion. La fuerza deformante puede llegar al hombro de forma directa (impacto sobre el hombro) o de forma indirecta tras caída sobre la mano con la extremidad extendida y transmisión del impacto al hombro.Son típicas de la segunda y tercera década de la vida afectando casi siempre al sexo masculino por su mayor predisposición a los deportes de velocidad (motociclismo, automovilismo, ciclismo, esquí) y de contacto (karate, judo, tae-kwon-do).
En función de la separación entre los huesos que forman la articulación (acromion y clavícula) el tratamiento puede ser conservador o quirúrgico.

Cuando la separación es grande y la posibilidad de restauración por métodos conservadores es imposible proponemos una rápida y mínima intervención para la reparación articular definitiva
La luxación glenohumeral, comúnmente llamada luxación de hombro, es la luxación más frecuente del esqueleto ya que supone el 45% de todos los casos y significa la separación entre la cabeza del húmero y el omoplato. En la mayor parte de las ocasiones (85%) el húmero sale de su cavidad hacia delante (luxación anterior) y casi siempre por un impacto en el brazo que se transmite al hombro provocando su dislocación. En el ámbito deportivo aquellas caídas con el brazo separado del cuerpo son susceptibles de este tipo de lesión: fútbol, baloncesto, ciclismo, esquí, snowboard, artes marciales, rugby, escalada, barranquismo.El tratamiento inicialmente es conservador requiriendo una urgente restauración de la congruencia articular mediante manipulación seguida
de un tratamiento rehabilitador específico posterior para devolver la movilidad completa a la articulación.
Aunque la región del hombro incluye la clavícula, el omoplato y el extremo proximal del húmero, son las fracturas de este último el grupo más importante por su frecuencia y relevancia. Las fracturas de la porción superior del húmero afectan con mayor frecuencia al paciente de edad avanzada por su menor densidad ósea y en mayor proporción al sexo femenino. En el paciente joven se asocia con traumatismos de alta energía como accidentes de tráfico y deportes de alto riesgo en los que se pueda producir un impacto directo de gran violencia como escalada, motociclismo, ciclismo, esquí, rugby, fútbol americano.El tratamiento dependerá del tipo de fractura y grado de desplazamiento. Las fracturas desplazadas suelen ser subsidiarias de tratamiento quirúrgico. En este caso una cirugía destinada a una movilización precoz con un riesgo mínimo de complicaciones exige un gran conocimiento de la biomecánica articular así como un meticuloso manejo de los tejidos adyacentes al hueso.
El hueso de la región del brazo es la porción media del húmero. Las fracturas a este nivel son poco frecuentes (5%) y obedecen a un impacto de alta energía, ya que, en esta región, el hueso es de tipo cortical y por lo tanto muy duro. Los deportes de contacto como las artes marciales, así como, deportes que puedan producir caídas violentas (automovilismo, motociclismo, ciclismo, barranquismo, parapente) predisponen asufrir este tipo de fracturas. Su tratamiento generalmente suele ser no quirúrgico pero en algunas ocasiones la estabilización requiere de una mínima intervención para la introducción de un tutor intraóseo de forma que el paciente pueda reincorporarse a su actividad habitual lo antes posible.
La articulación del codo tiene lugar entre el húmero y el cúbito y radio. Tiene lugar con mayor frecuencia en la segunda década de la vida. La separación traumática entre brazo y antebrazo es frecuente en el ámbito deportivo, especialmente en aquellos deportes que pueden provocar impactos sobre la mano con el codo en extensión. Ello es posible en artes marciales, futbol, baloncesto, y escalada entre otros.Esta lesión no sólo compromete las estructuras óseas sino las ligamentosas y neurovasculares por lo que se requiere un meticuloso estudio en el servicio de urgencias para diagnosticar el grado de afectación tratándolo entonces adecuadamente.
En un primer momento la recolocación del codo en situación anatómica es primordial a través de un suave gesto y en algunas ocasiones bajo anestesia. Si a pesar de la congruencia articular, el codo se presenta inestable, puede ser necesario reforzar la estabilidad ósea con una intervención quirúrgica.
Las fracturas del cúbito y radio son las más frecuentes de la infancia y tienen lugar generalmente por caídas en lugares de recreo y durante la práctica deportiva. En la edad adulta los accidentes de tráfico y los deportes de contacto son las causas más frecuentes de lesión a este nivel. El tratamiento depende del tipo de fractura y grado de desplazamiento. Se realizará tratamiento conservador siempre que la fractura lo permita relegando el tratamiento quirúrgico a aquellas fracturas difícilmente estabilizables mediante escayola.

La articulación de la muñeca une las regiones del antebrazo y la mano implicando la porción inferior del cúbito y radio así como los huesos del carpo.Las fracturas del radio distal son las más frecuentes de la extremidad superior. En gente joven se asocian a traumatismos de alta energía como accidentes de tráfico, caídas desde altura o accidentes deportivos. En el anciano lacarencia de hueso a este nivel (osteoporosis) hace de esta región un lugar muy susceptible de fractura con pequeños impactos.
El paciente de edad se beneficia habitualmente del tratamiento conservador con escayola. En el paciente joven el desplazamiento suele ser difícilmente manejable con inmovilización con yeso por lo que es frecuente la realización de una pequeñaintervención para la recuperación anatómica de la muñeca pudiendo reincorporarse a su actividad habitual en el menor tiempo posible y con el menor riesgo de complicaciones.Dentro de la región anatómica de la muñeca se encuentran los huesos del carpo. El hueso escafoides es el que se fractura con más frecuencia tras caídas sobrela mano en extensión. Es por ello una lesión característica en deportes como motociclismo, ciclismo y patín donde se pueden sufrir traumatismos a gran velocidad. El dolor se localiza siguiendo el eje del pulgar pero a nivel de la muñeca y el dolor a la palpación en esta zona (tabaquera anatómica) es extremo. Las fracturas desplazadas se suelen estabilizar quirúrgicamente sin cicatriz,a través de la introducción percutánea de un tornillo intraóseo que permite el inicio de la movilización de la articulación inmediatamente.

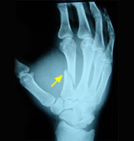
Las fracturas de los metacarpianos y las falanges suponen el 10% del total de todas las fracturas y más de la mitad se deben a traumatismos laborales. Es indiscutible la importancia que tiene una mano en nuestra vida diaria y ni que decir tiene que su recuperación exige de un conocimiento de la anatomía y biomecánica exquisita para poder diagnosticar y tratar adecuadamente sus lesiones. Son muy frecuentes las rigideces por tratamientos inmovilizadoresprolongados por lo que proponemos técnicas mínimamente invasivas que permitan una movilización precoz y unareincorporación a la actividad cotidiana lo antes posible.

La pelvis articula con la porción superior del fémur dando lugar a la articulación de la cadera. Las fracturas de la cadera por afectación pélvica obedecen a traumatismos de alta energía como accidentes de tráfico y precipitaciones desde grandes alturas. Sin embargo, las fracturas de la porción superior del fémur, aunque también pueden producirse en pacientes jóvenes por los mecanismos anteriores, son fracturas más frecuentes en la edad avanzada y debido a mínimos traumatismos a causa de la osteoporosis a este nivel. El enorme espectro de fracturas que existe a este nivel es amplio y por tanto sus tratamientos distintos. Los tratamientos conservadores exigen grandes temporadas de encamamiento dada la localización de la lesión por lo que abogamos siempre que sea posible por cirugía mínimamente invasiva gracias a la cual con pequeñas incisiones se restaura con facilidad la anatomía devolviendo la articulación a su rango de movilidad habitual en el menor tiempo posible


































