
Consultorio

Sarasquete Reiriz JuanTraumatología - Cirugía Ortopédica Adultos
FACULTATIVO ESPECIALISTA CIR. ORTOPÉDICA Y TRAUMATOLOGÍATraumatología y Cirugía OrtopédicaCentro Médico Teknon- FACULTATIVO ESPECIALISTA MEDICINA FÍSICA Y REHABILITACIÓNMedicina Física y Rehabilitación / Medicina de la Educación Física y el DeporteCentro Médico Teknon
FACULTATIVO ESPECIALISTA CIR. ORTOPÉDICA Y TRAUMATOLOGÍATraumatología y Cirugía OrtopédicaCentro Médico Teknon
FACULTATIVO ESPECIALISTA CIR. ORTOPÉDICA Y TRAUMATOLOGÍATraumatología y Cirugía OrtopédicaCentro Médico Teknon- FACULTATIVO ESPECIALISTA CIR. ORTOPÉDICA Y TRAUMATOLOGÍATraumatología y Cirugía OrtopédicaCentro Médico Teknon
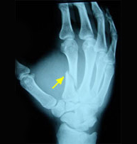
Las fracturas de los metacarpianos y las falanges suponen el 10% del total de todas las fracturas y más de la mitad se deben a traumatismos laborales. Es indiscutible la importancia que tiene una mano en nuestra vida diaria y ni que decir tiene que su recuperación exige de un conocimiento de la anatomía y biomecánica exquisita para poder diagnosticar y tratar adecuadamente sus lesiones. Son muy frecuentes las rigideces por tratamientos inmovilizadoresprolongados por lo que proponemos técnicas mínimamente invasivas que permitan una movilización precoz y unareincorporación a la actividad cotidiana lo antes posible.



































