Jump to content

Otorrinolaringología
Consultation area
Dr. AlobidDr. Alobid
Unidad Alergo-RinoAllergologyOtorhinolaryngology
Cirugía de base de cráneo

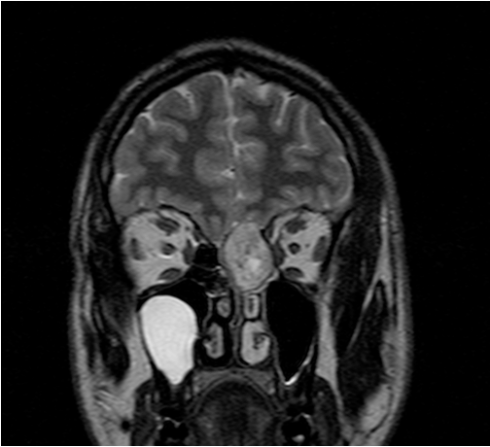
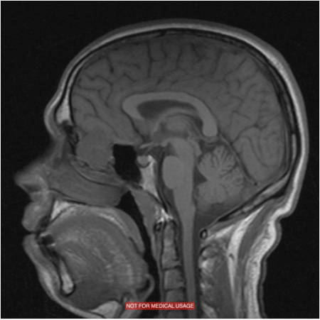
Las enfermedades de la base del cráneo requieren cirujanos expertos y procedimientos altamente específicos, considerando las dificultades anatómicas de la región y las importantes estructuras allí localizadas. En la Unidad Alergo·Rino tenemos una dilatada experiencia en el tratamiento de enfermedades tumorales y malformaciones que afectan a la base del cráneo. Somos expertos en el abordaje endoscópico mínimamente invasivo.

La Unidad dispone de un sistema de Navegación con imágenes de alta definición que aporta datos anatómicos en tres dimensiones para mejorar la orientación dentro del campo quirúrgico ayudando en los distintos pasos quirúrgicos y mejorando la seguridad. En nuestra Unidad tratamos todas las lesiones que afectan la base de cráneo tales como: tumores malignos de senos paranasales, angiofibroma juvenil, adenomas hipofisarios, cordomas, meningiomas, quistes de Rathke, y lesiones de la unión craneo-vertebral.

cirugía de base de cráneocirugía de base de cráneo

tratamiento de enfermedades tumorales y malformaciones que afectan a la base del cráneotratamiento de enfermedades tumorales y malformaciones que afectan a la base del cráneo tratamiento de enfermedades tumorales y malformaciones que afectan a la base del cráneo imagentratamiento de enfermedades tumorales y malformaciones que afectan a la base del cráneo imagen

Pedir cita