Multidetector Computed Tomography
Centro Médico Teknon uses state-of-the-art technology to render three-dimensional reconstruction of the organ under examination. Computed Tomography uses a rotational movement to send successive X-ray emissions to one or more detectors. This data is integrated into a single system which exports it in a ‘volume’ of images representing the scanned region. This provides detailed images with a density resolution far superior to that of conventional radiology.
- Neurorradiología
- TC Cráneo
Prueba radiológica que consiste en obtener imágenes del cráneo de alta definición anatómica (tronco cerebral, cerebelo, cerebro, calota craneal, etc.), mediante el empleo de un equipo de TC (Tomografía Computarizada).Indicaciones: traumatismos, cefalea, trastornos de la memoria, pérdida de fuerza súbita en una extremidad o mitad del cuerpo. - TC Cuello
Prueba radiológica que consiste en obtener imágenes del cuello de alta definición anatómica mediante el empleo de un equipo de TC (Tomografía Computarizada). Indicaciones: estudio de tiroides, control de tumores tratados, estudio de ganglios, infecciones y abscesos. - TC Laringe
Prueba radiológica que consiste en obtener imágenes de la laringe de alta definición anatómica mediante el empleo de un equipo de TC (Tomografía Computarizada). Indicaciones: afonía súbita o crónica, dificultad respiratoria. - TC Órbitas
Prueba radiológica que consiste en obtener imágenes de las órbitas de alta definición anatómica mediante el empleo de un equipo de TC (Tomografía Computarizada). Indicaciones: visión doble, infecciones, traumatismos, ojos saltones (hipertiroidismo), malformaciones congénitas. - TC Hipófisis
Prueba radiológica que consiste en obtener imágenes de la hipófisis cerebral de alta definición anatómica mediante el empleo de un equipo de TC (Tomografía Computarizada). Indicaciones: sospecha de tumor hipofisario, trastorno del crecimiento. - TC Macizo facial

Prueba radiológica que consiste en obtener imágenes del macizo facial (cara) de alta definición anatómica mediante el empleo de un equipo de TC (Tomografía Computarizada). Indicaciones: tumores, cirugía plástica. - TC Oídos
Prueba radiológica que consiste en obtener imágenes del oído de alta definición anatómica (conducto auditivo interno y externo, tímpano, huesecillos del oído), mediante el empleo de un equipo de TC (Tomografía Computarizada). Indicaciones: trastornos de la audición, cuadros vertiginosos, mareos, acúfenos (pitidos). - TC Dental
Prueba radiológica que consiste en obtener imágenes de los huesos maxilares de alta definición anatómica (piezas dentarias, trayecto del nervio dentario), mediante el empleo de un equipo de TC (Tomografía Computarizada). Indicaciones: estudio previo a la extracción dental, estudio previo a implantes, tumores, absceso. - TC Senos paranasales
Prueba radiológica que consiste en obtener imágenes de los senos paranasales de alta definición anatómica, mediante el empleo de un equipo de TC (Tomografía Computarizada). Indicaciones: cefalea, tos crónica, mucosidad, infecciones faciales. - TC Penyal
Prova radiològica que consisteix en obtenir imatges de l'os penyal del temporal (oïda interna, mitjana i externa) d'alta definició anatòmica, mitjançant l'ús d'un equip de TC (Tomografia Computeritzada). Indicacions: pèrdua d'audició sobtada o crònica, quadres vertiginosos, mareig, malformacions congènites. - Angio-TC Troncs Supraaòrtics
Prova radiològica que consisteix en obtenir imatges de les artèries caròtides del coll d'alta definició anatòmica, mitjançant l'ús d'un equip de TC (Tomografia Computeritzada) i la injecció de contrast intravenós. Posteriorment, les imatges són reconstruïdes en tres dimensions (3D). Indicacions: accident vascular cerebral agut, accident vascular transitori, buf cardíac. - TC Columna cervical
Prova radiològica que consisteix en obtenir imatges de les cervicals vertebrals d'alta definició anatòmica, mitjançant l'ús d'un equip de TC (Tomografia Computeritzada). Indicacions: cervicàlgia amb/ sense irradiació a braços, traumatisme.
- Tòrax
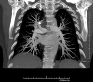
- TC Tòrax
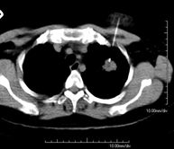
Prova diagnòstica que consisteix en obtenir imatges del tòrax d'alta definició anatòmica (pulmons, cor, mediastí, grans vasos, caixa toràcica, etc. ) mitjançant l'ús d'un equip de TC (Tomografia Computeritzada). Aquestes imatges s'estudien posteriorment en una estació de treball que permet reconstruccions bidimensionals en diferents plànols de l'espai i també reconstruccions 3D (volumètriques). Alguns estudis requereixen l'ús de contrast iodat per millorar la definició de les imatges. - Angio –TC Aorta toràcica
Prova diagnòstica que consisteix en l'estudi de l'aorta toràcica (principal artèria del tòrax) mitjançant l'ús d'un equip de TC (Tomografia Computeritzada). Aquesta tècnica requereix l'ús de contrast iodat i proporciona imatges d'alta definició. L'ús del TCMD (TC multidetector) escurça el temps d'exploració, disminueix la dosi de radiació i millora la qualitat d'imatge. Gràcies als múltiples detectors en determinats estudis es pot acoblar l'obtenció de la imatge amb el batec cardíac, tècnica que permet l'estudi de la vàlvula aòrtica i de l'arrel de l'artèria aorta (primers centímetres) on el batec del cor acostuma a provocar múltiples artefactes de moviment. - Angio –TC Artèries pulmonars (estudi TEP, Tromboembòlia pulmonar)
Prova diagnòstica que consisteix en l'estudi de les artèries pulmonars mitjançant l'ús d'un equip de TC (Tomografia Computeritzada) per obtenir imatges bi i tridimensionals. En aquest estudi és imprescindible l'ús de contrast iodat que permet una millor definició anatòmica. Aquesta prova està principalment indicada en els casos de sospita de tromboembòlia pulmonar (TEP) per descartar o confirmar la presència de coàguls sanguinis a l'interior de les artèries. - TC Tòrax d'alta resolució
Prova diagnòstica que consisteix en l'estudi del pulmó mitjançant l'ús d'un equip de TC (Tomografia Computeritzada) per obtenir imatges bi i tridimensional que permeten un estudi anatòmic altament específic del pulmó per poder valorar les estructures anatòmiques de petites dimensions. És una tècnica molt important en l'estudi dels pacients amb sospita de malaltia pulmonar. - TC d'estern
Exploració radiològica que mitjançant un sistema de raigs X i detectors que giren al voltant del pacient i que reconstrueixen les imatges per ordinador, permet l'estudi detallat de l'estern. - TC Clavícules
Exploració radiològica que mitjançant un sistema de raigs X i detectors que giren al voltant del pacient i que reconstrueixen les imatges per ordinador, permet l'estudi detallat de les clavícules. - TC Parrilla costal
Exploració radiològica que mitjançant un sistema de raigs X i detectors que giren al voltant del pacient i que reconstrueixen les imatges per ordinador, permet l'estudi detallat detalla de la Parrilla. - Angio- TC Cardíac o TC Cardíac
L'angio TC Cardíac o Coronariografia no invasiva és una prova diagnòstica que consisteix en l'estudi de les artèries del cor o artèries coronàries mitjançant l'ús d'un equip TC Multidetector d'última generació i de contrast iodat, i l'obtenció d'imatges bi i tridimensionals. El TC Multidetector o TCMD permet una adquisició d'imatges tan ràpida que es poden valorar les artèries coronàries amb alta precisió anatòmica: estrenyiment o estenosi, calcificacions, variants anatòmiques, etc. ja que gràcies a la seva rapidesa evita l'artefacte que provoca el moviment constant del cor (triga menys de deu segons en adquirir unes 1000 imatges). La informació obtinguda precisa un tractament en estacions de treball amb programes especialitzats en la reconstrucció de les artèries coronàries que permeten valorar el nombre, la localització i les característiques de lesions. Tota aquesta informació s'obté de manera no invasiva: només es requereix la punció d'una vena perifèrica (en el braç). És necessari que la freqüència cardíaca no superi els 75 batecs per minut per això alguns pacients hauran de realitzar un tractament previ amb un fàrmac betabloquejant. - PAAF (punció) de tòrax guiada per TC
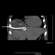
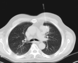
Prova que consisteix en obtenir una mostra de teixit de lesions toràciques, com per exemple masses pulmonars, mediastíniques, lesions òssies, etc. Per això s'administra anestèsia local sobre la zona de punció, que es realitza amb agulles de calibre fi. Tot el procediment es realitza controlat amb imatges obtingudes per tomografia computaritzada (TC) en diversos moments de la punció, mitjançant un equip de Fluoroscòpia-TC. Després de la prova, el pacient resta unes hores hospitalitzat. És necessari portar proves de coagulació abans de la punció. - Biòpsia tòrax guiada per TC
Consisteix en obtenir una mostra de teixit d'una determinada lesió toràcica, com per exemple del pulmó, del mediastí, de l'estern, etc. A vegades es realitza sota sedació, amb l'ajuda de l'equip d'anestèsia. S'utilitzen agulles que permeten l'obtenció d'un cilindre de la lesió a estudiar que s'enviarà a Anatomia Patològica per a la seva anàlisi histològica. Tot el procediment es realitza controlat amb imatges obtingudes per tomografia computaritzada (TC) en diversos moments de la biòpsia, mitjançant un equip de Fluoroscòpia-TC. Després de la prova, el pacient resta hospitalitzat per controlar la seva evolució. És necessari portar proves de coagulació abans de la punció. - TC Columna Dorsal
Prova radiològica que consisteix en obtenir imatges de les vèrtebres dorsals d'alta definició anatòmica, mitjançant l'ús d'un equip de TC (Tomografia Computeritzada). Indicacions: dolor dorsal agut/crònic, traumatisme, columna desviada.
- Score Càlcic
Prova diagnòstica que consisteix en la mesura de la quantitat de calci que pot haver acumulat a les plaques d'arteriosclerosi de les artèries coronàries mitjançant l'ús d'un equip de TC Multidetector d'última generació. És una prova no invasiva que no requereix contrast iodat. No necessita preparació prèvia. La detecció de les plaques calcificades es realitza en una estació de treball especialitzada que permet la quantificació exacta de la quantitat de calci i ofereix una puntuació que és el que a la pràctica mèdica s'anomena Score Càlcic.
- Abdomen i pelvis
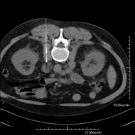
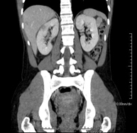
- TC Abdomen
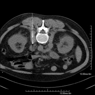
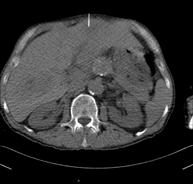
Prova diagnòstica que consisteix en l'estudi de l'abdomen d'alta definició anatòmica (fetge, vesícula biliar, via biliar, pàncrees, melsa, estómac, intestins, ronyons, estructures vasculars, bufeta, úter i ovaris, etc.) mitjançant l'ús d'un equip de TC (Tomografia Computeritzada). Aquestes imatges s'estudien posteriorment en una estació de treball que permet obtenir reconstruccions bidimensionals en diferents plànols de l'espai i també reconstruccions 3D (volumètriques). La majoria d'estudis requereixen l'ús de contrast iodat per millorar la definició de les imatges. - TC Pelvis
Prova diagnòstica que consisteix en obtenir imatges bi i tridimensionals de la pelvis d'alta definició anatòmica (estructures òssies, estructures vasculars, bufeta, úter i ovaris, pròstata i vesícules seminals, urèters, etc.) mitjançant l'ús d'un equip de TC (Tomografia Computeritzada). La majoria d'estudis requereixen l'ús de contrast iodat. - TC Abdominopèlvic
Prova diagnòstica que consisteix en obtenir imatges bi i tridimensionals de l'abdomen d'alta definició anatòmica (estructures òssies, estructures vasculars, fetge, pàncrees, vesícula biliar, ronyons, glàndules suprarenals, melsa, intestí prim i gros, bufeta, úter i ovaris, pròstata i vesícules seminals, urèters, etc.) mitjançant l'ús d'un equip de TC (Tomografia Computeritzada). La majoria d'estudis requereixen l'ús de contrast iodat. - TC Fetge
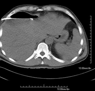
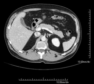
Prova diagnòstica que consisteix en obtenir imatges bi i tridimensionals del fetge d'alta definició anatòmica mitjançant l'ús d'un equip de TC (Tomografia Computeritzada). És necessari realitzar l'estudi abans i després de l'ús de contrast iodat, i realitzar l'estudi en diferents "fases hepàtiques" per valorar correctament totes les estructures: parènquima hepàtic, via biliar intra i extrahepàtic, vesícula biliar, vasos hepàtics (artèria hepàtica, vena porta i venes suprahepàtiques) i estructures adjacents (estómac, duodè, vena cava inferior, glàndula pancreàtica, etc.). Aquesta prova està especialment indicada en l'estudi de lesions hepàtiques, estudi d'hepatopaties cròniques, etc. - TC Ronyons
Prova diagnòstica que consisteix en obtenir imatges bi i tridimensionals del ronyó i del sistema urinari d'alta definició anatòmica mitjançant l'ús d'un equip de TC (Tomografia Computeritzada). Es realitza l'estudi abans i després de l'ús de contrast iodat en diferents "fases renals" per a una valoració funcional i anatòmica: parènquima renal, urèters, bufeta urinària, artèries i venes renals, etc. així com les estructures adjacents (vena cava inferior, aorta abdominal, fetge, melsa, etc.). Està especialment indicat quan hi ha sospita de lesions renals, en pacients amb sang a l'orina o hematúria, etc. - TC Urològic
Prova diagnòstica que consisteix en obtenir imatges bi i tridimensionals del ronyó i del sistema urinari d'alta definició anatòmica mitjançant l'ús d'un equip de TC (Tomografia Computeritzada). Està especialment indicat en aquells pacients en els quals se sospita que hi ha pedres al ronyó, infeccions urinàries de repetició. L'estudi es realitza sense utilitzar contrast iodat (només es casos determinats serà necessari completar l'estudi amb contrast iodat). - TC Pàncrees
Prova diagnòstica que consisteix en obtenir imatges bi i tridimensionals del pàncrees d'alta definició anatòmica mitjançant l'ús d'un equip de TC (Tomografia Computeritzada). Es realitza l'estudi abans i després de l'ús de contrast iodat en diferents "fases pancreàtiques" per poder valorar totes les estructures: parènquima pancreàtic, conducte pancreàtic o de Wirsung, unió bilio-pancreàtica, colèdoc, artèries pancreàtiques, artèria i vena esplèniques, duodè. Està especialment indicant quan hi ha sospita de lesió pancreàtica, en pacients amb pancreatitis aguda o crònica, etc. - Angio-TC Aorta abdominal

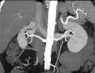
Prova diagnòstica no invasiva que consisteix en l'estudi de l'artèria aorta abdominal a través de l'obtenció d'imatges d'alta definició anatòmica mitjançant l'ús d'un equip de TC (Tomografia Computeritzada) i de contrast iodat. La qualitat de les imatges permet realitzar reconstruccions en 2D i 3D gràcies a estacions de treball especialitzades en l'estudi arterial. Està indicat en aquells pacients amb malaltia vascular (arteriosclerosi), en aneurismes d'aorta, en pacients amb dolor abdominal de possible origen vascular, en estudis prequirúrgics de lesions adjacents a l'aorta abdominal com a "mapa" vascular. La informació obtinguda de manera no invasiva és indispensable per als pacients que requereixen tractament percutani o quirúrgic. En aquells pacients que només requereixen seguiment de les lesions vasculars, aquesta tècnica és la tècnica no invasiva d'elecció juntament amb l'angio-RM. - Angio-TC Artèries renals

Prova diagnòstica no invasiva que consisteix en l'estudi de les artèries renals a través de l'obtenció d'imatges d'alta definició anatòmica mitjançant l'ús d'un equip de TC (Tomografia Computeritzada) i de contrast iodat. La qualitat de les imatges permet realitzar reconstruccions en 2D i 3D gràcies a estacions de treball especialitzades en l'estudi arterial. Està indicat en aquells pacients amb malaltia vascular (arteriosclerosi), en aneurismes d'aorta, en pacients amb dolor abdominal de possible origen vascular, en estudis prequirúrgics de lesions adjacents a l'aorta abdominal com a "mapa" vascular. La informació obtinguda de manera no invasiva és indispensable per als pacients que requereixen tractament percutani o quirúrgic. En aquells pacients que només requereixen seguiment de les lesions vasculars, aquesta tècnica és la tècnica no invasiva d'elecció juntament amb l'angio-RM. - Angio-TC Aorto-ilíac
Prova diagnòstica no invasiva que consisteix en l'estudi de les artèries ilíaques i l'aorta abdominal a través de l'obtenció d'imatges d'alta definició anatòmica mitjançant l'ús d'un equip de TC (Tomografia Computeritzada) i de contrast iodat. La qualitat de les imatges permet realitzar reconstruccions en 2D i 3D gràcies a estacions de treball especialitzades en l'estudi arterial. Aquesta prova està especialment indicada com estudi prequirúrgic (mapa vascular) abans d'intervencions percutànies o quirúrgiques d'aorta abdominal, com l'estudi complementari en pacients amb isquèmia de membres inferiors, etc. - Colonoscòpia virtual

La colonoscòpia virtual és una tècnica no invasiva que permet la visualització tridimensional i bidimensional de l'intestí gros o del còlon mitjançant la presa seqüencial d'imatges captades amb TC Multidetector d'última generació. La qualitat de les imatges permet la navegació virtual per l'interior del recte i del còlon gràcies al processament en estacions de treball especialitzades. La preparació de la prova consisteix en realitzar una dieta baixa en fibra tres dies abans de la prova (per netejar el còlon i el recte) i de la ingesta de contrast oral iodat el dia abans de la prova (per marcar les femtes i poder distingir-les correctament de les possibles lesions colòniques). A diferència de la fibrocolonoscòpia, no requereix sedació ni solucions evacuants. La prova es realitza a la sala del TC, on, a través d'un petit tub flexible, s'insufla aire per distendre el còlon. - PAAF (Punció) Abdominal guiada per TC
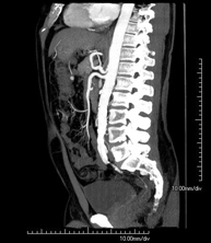
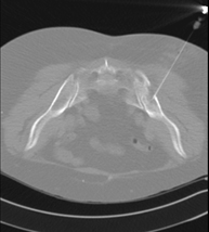
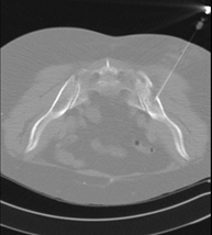
Consisteix en obtenir una mostra de teixit d'una determinada lesió localitzada a la cavitat abdominal. Per això s'administra anestèsia local sobre la zona de punció, que es realitza amb agulles de calibre fi. Tot el procediment es realitza controlat per imatges obtingudes per Tomografia Computaritzada (TC) en diversos moments de la punció, mitjançant l'ús d'un equip de Fluroscòpia-TC. Després de la prova, el pacient resta unes hores hospitalitzat per controlar la seva evolució. És necessari que portin proves de coagulació abans de la punció. - Biòpsia abdominal guiada per TC
Consisteix en obtenir una mostra de teixit d'una determinada lesió localitzada a la cavitat abdominal. En ocasions es realitza sota sedació, amb l'ajuda de l'equip d'anestèsia. S'utilitzen agulles que permeten l'obtenció d'un cilindre de la lesió que s'ha d'estudiar, que s'enviarà a Anatomia Patològica per a la seva anàlisi histològica. Tot el procediment es realitza controlat per imatges obtingudes per Tomografia Computaritzada (TC) en diversos moments de la biòpsia mitjançant l'ús de Fluoroscòpia –TC. Després de la prova, el pacient resta hospitalitzat per controlar la seva evolució. És necessari que portin proves de coagulació abans de la punció. - Drenatge abdominal guiat per TC (abscessos, col·leccions)
Consisteix en col·locar un catèter de drenatge sobre una col·lecció líquida localitzada a la cavitat abdominal, amb la intenció de buidar el màxim possible aquesta col·lecció. El pacient ha de mantenir el drenatge alguns dies, normalment fins que no sigui productiu. Sovint es realitza sota sedació, amb l'ajuda de l'equip d'anestèsia. Tot el procediment es realitza controlat per imatges obtingudes per Tomografia Computaritzada (TC) en diversos moments de la prova mitjançant l'ús de Fluoroscòpia –TC. Després de la prova, el pacient resta hospitalitzat. És necessari que porti les proves de coagulació abans de la prova.
- Osteoarticular
- TC d'espatlla
Exploració radiològica que mitjançant un sistema de raigs X i detectors que giren al voltant del pacient i que reconstrueixen les imatges per ordinador (TC Multidetector), permet l'estudi detallat dels ossos, els músculs i les articulacions de l'espatlla. - TC de colze
Exploració radiològica que mitjançant un sistema de raigs X i detectors que giren al voltant del pacient i que reconstrueixen les imatges per ordinador (TC Multidetector), permet l'estudi detallat dels ossos, els músculs i les articulacions del colze. - TC de la mà
Exploració radiològica que mitjançant un sistema de raigs X i detectors que giren al voltant del pacient i que reconstrueixen les imatges per ordinador (TC Multidetector), permet l'estudi detallat dels ossos, els músculs i les articulacions de la mà i el canell. - TC de la pelvis òssia
Exploració radiològica que mitjançant un sistema de raigs X i detectors que giren al voltant del pacient i que reconstrueixen les imatges per ordinador (TC Multidetector), permet l'estudi detallat dels ossos, els músculs i les articulacions de la pelvis. - TC de malucs
Exploració radiològica que mitjançant un sistema de raigs X i detectors que giren al voltant del pacient i que reconstrueixen les imatges per ordinador (TC Multidetector), permet l'estudi detallat dels ossos, els músculs i les articulacions del maluc. - TC de sacroilíaques
Exploració radiològica que mitjançant un sistema de raigs X i detectors que giren al voltant del pacient i que reconstrueixen les imatges per ordinador (TC Multidetector), permet l'estudi detallat de les articulacions sacroilíaques i descartar malalties inflamatòries, traumàtiques o degeneratives. - TC de genoll
Exploració radiològica que mitjançant un sistema de raigs X i detectors que giren al voltant del pacient i que reconstrueixen les imatges per ordinador (TC Multidetector), permet l'estudi detallat dels ossos, els músculs i les articulacions del genoll. - TC de turmell-peu
Exploració radiològica que mitjançant un sistema de raigs X i detectors que giren al voltant del pacient i que reconstrueixen les imatges per ordinador (TC Multidetector), permet l'estudi detallat dels ossos, els músculs i les articulacions del turmell i el peu. - TC d'estudi rotacional EEII (Bàscula rotuliana, distància TA-GT)
Exploració radiològica que mitjançant un sistema de raigs X i detectors que giren al voltant del pacient i que reconstrueixen les imatges per ordinador (TC Multidetector), permet calcular una sèrie de mesures a nivell de maluc, genolls i turmells per solucionar problemes de rotació i angulació de les extremitats inferiors. - TC d'ossos llargs
Exploració radiològica que mitjançant un sistema de raigs X i detectors que giren al voltant del pacient i que reconstrueixen les imatges per ordinador (TC Multidetector), permet l'estudi detallat dels ossos llargs (tíbia, peroné, fèmur, húmer, radi i cúbit). - Biòpsia òssia guiada per TC
Consisteix en obtenir una mostra de teixit d'una determinada lesió òssia. En ocasions es realitza sota sedació, amb l'ajuda de l'equip d'anestèsia. S'utilitzen agulles que permeten l'obtenció d'un cilindre de la lesió que s'ha d'estudiar, que s'enviarà a Anatomia Patològica per a la seva anàlisi histològica. Tot el procediment es realitza controlat amb imatges obtingudes per Tomografia Computaritzada (TC). Després de la prova, el pacient resta hospitalitzat per controlar la seva evolució. És necessari que porti les proves de coagulació abans de la punció. - Angio-TC arterial d'extremitats inferiors
Prova diagnòstica no invasiva que consisteix en l'estudi vascular del sector aorto-ilíac i dels vasos arterials d'ambdues extremitats inferiors i l'obtenció d'imatges d'alta definició anatòmica mitjançant l'ús d'un equip de TC Multidetector d'última generació i de contrast iodat. La qualitat de les imatges permet realitzar reconstruccions en 2D i 3D gràcies a estacions de treball especialitzades en l'estudi arterial.
- Columna
- TC Columna cervical
Prueba radiológica que consiste en obtener imágenes de las vértebras cervicales de alta definición anatómica mediante el empleo de un equipo de TC (Tomografía Computarizada). Indicaciones: dolor cervical sin/con irradiación a brazos, traumatismo, malformaciones congénitas. - TC Columna dorsal
Prueba radiológica que consiste en obtener imágenes de las vértebras dorsales de alta definición anatómica mediante el empleo de un equipo de TC (Tomografía Computarizada). Indicaciones: dolor dorsal, estudio de desviaciones de la columna, traumatismo. - TC Columna lumbar
Prueba radiológica que consiste en obtener imágenes de las vértebras lumbares de alta definición anatómica mediante el empleo de un equipo de TC (Tomografía Computarizada). Indicaciones: dolor lumbar sin/con irradiación a piernas, dificultad para caminar, traumatismo. - TC Sacro-cóccix
- Pediatría
- TC Cráneo
Prueba radiológica que consiste en obtener imágenes del cráneo de alta definición anatómica mediante el empleo de un equipo de TC (Tomografía Computarizada). Indicaciones: cefalea, estudio de tumores, traumatismo craneal. - TC Cuello
Prueba radiológica que consiste en obtener imágenes del cuello de alta definición anatómica mediante el empleo de un equipo de TC (Tomografía Computarizada). Indicaciones: infecciones, abscesos, estudio ganglios. - TC Tórax
Prueba diagnóstica que consiste en obtener imágenes del tórax de alta definición anatómica (pulmones, corazón, mediastino, grades vasos, caja torácica, etc.) mediante el empleo de un equipo de TC (Tomografía Computarizada). Dichas imágenes se estudian posteriormente en una estación de trabajo que permite reconstrucciones bidimendionales en diferentes planos del espacio, y también reconstrucciones tridimensionales (3D: volumétricas). Algunos estudios requieren el empleo de contraste yodado para mejorar la definición de las imágenes. - TC Abdomen
Prueba diagnóstica que consiste en obtener imágenes del abdomen de alta definición anatómica (hígado, vesícula biliar, vía biliar, páncreas, bazo, estómago, intestinos, riñones, estructuras vasculares, vejiga, útero y ovarios, etc.) mediante el empleo de un equipo de TC (Tomografía Computarizada). Dichas imágenes se estudian posteriormente en una estación de trabajo que permite reconstrucciones bidimensionales en diferentes planos del espacio, y también reconstrucciones 3D (volumétricas). La mayoría de estudios requieren el empleo de contraste yodado para mejorar la definición de las imágenes. - Lower leg rotational study using CT
Radiological examination based on an X-ray system and detectors that rotate around the patient, reconstructing the images by computer to calculate a series of measurements at the hips, knees and ankles with a view to solving problems affecting the rotation and angulation of the lower limbs.
- Bone CT

Radiological test that provides high definition anatomical images of the bones using CT (Computed Tomography) equipment. Indicated for: trauma, study of focal bone lesions.
- CT under sedation

Radiological examination involving an X-ray system and detectors that rotate around the patient, reconstructing images by computer to study any region of the body. It is performed under sedation with the assistance of an anaesthesia team. It is extremely useful in paediatric patients, who can often be difficult to examine because of false images caused by movements (infants, young children, etc., when clinically indicated).
- Vascular studies
- Supra-aortic trunk CT angiography

Radiological test that provides high definition anatomical images of the carotid arteries of the neck using CT (Computed Tomography) equipment and the injection of an intravenous contrast agent. The images are then reconstructed in three dimensions (3D). Indicated for: acute cerebral vascular accident, transient vascular accident, carotid bruit.
- Thoracic aorta CT angiography

Diagnostic test to examine the thoracic aorta (main artery of the thorax) using CT (Computed Tomography) equipment. This technique provides high-definition anatomical images. In most cases, the use of iodinated contrast is necessary. The use of MDCT (Multidetector Computed Tomography) shortens scanning time, reduces radiation dose and improves image quality. The multiple detectors used in certain studies enable imaging to be synchronised with the heartbeat, a technique used to study the aortic valve and aortic root (the first few centimetres), where the heartbeat tends to distort images due to movement.
- Pulmonary Artery CT angiography (PTE Study, Pulmonary Thromboembolism)

Diagnostic test to examine the pulmonary arteries using CT (Computed Tomography) equipment to obtain two- and three-dimensional images. The use of iodinated contrast is essential in this study, as it will allow for better anatomical definition. This test is mainly indicated in cases of suspected pulmonary thromboembolism (PTE) to rule out or confirm the presence of blood clots inside the arteries.
- Coronary CT angiography

The Coronary CT angiography or non-invasive Coronarography is a diagnostic test to examine arteries of the heart, or coronary arteries, using state-of-the-art MDCT equipment (64 slices or rows of detectors) and an iodinated contrast agent to obtain two- and three-dimensional images. 64-slice multidetector computed tomography (MDCT) entails high-speed imaging that is beneficial in assessing coronary arteries with high anatomical precision, particularly in evaluating narrowing or stenosis, calcifications, anatomical variants, etc., as its speed prevents the artefact caused by the constant movement of the heart (1,000 images can be obtained in less than 10 seconds). The information obtained requires processing at workstations equipped with specialised software capable of reconstructing the coronary arteries, thereby enabling an assessment to be made of the number, location and characteristics of the lesions. All this information is obtained non-invasively, involving a simple puncture of a peripheral vein (in the arm). To ensure the heart rate stays below 75 bpm, some patients will need preliminary treatment with beta blockers.
- Abdominal aorta CT angiography

A non-invasive diagnostic test that involves studying the abdominal aorta by obtaining high-definition anatomical images using CT (computed tomography) equipment and iodinated contrast. With the aid of workstations specialised for arterial studies, the image quality supports 2D and 3D reconstructions. It is indicated in patients with vascular disease (atherosclerosis), aortic aneurysms, abdominal pain of possible vascular origin, pre-surgical studies of lesions adjacent to the abdominal aorta as a vascular ‘map’, etc. Information obtained non-invasively is indispensable for patients requiring percutaneous or surgical processing. In patients who only require tracking of vascular lesions, this technique is the non-invasive technique of choice, together with MRI angiography.
- Angio TC d'artèries renals
Prova diagnòstica no invasiva que consisteix en l'estudi de les artèries renals amb l'obtenció d'imatges d'alta definició anatòmica mitjançant l'ús d'un equip de TC (Tomografia Computaritzada) i contrast iodat. La qualitat de les imatges permet realitzar reconstruccions en 2D i 3D gràcies a estacions de treball especialitzades en l'estudi arterial. Aquesta prova està indicat en aquells pacients que pateixen HTA refractària al tractament, en pacients amb lesions renals que tenen un mapa vascular prequirúrgic, etc. - Angio TC d'aorta-ilíaca
Prova diagnòstica no invasiva que consisteix en l'estudi de les artèries ilíaques i l'aorta abdominal amb l'obtenció d'imatges d'alta definició anatòmica mitjançant l'ús d'un equip de TC (Tomografia Computaritzada) i contrast iodat. La qualitat de les imatges permet realitzar reconstruccions en 2D i 3D gràcies a estacions de treball especialitzades en l'estudi arterial. Aquesta prova està especialment indicada com a estudi prequirúrgic (mapa vascular) abans d'intervencions percutànies o quirúrgiques d'aorta abdominal, estudi complementari en pacients amb isquèmia de membres inferiors, etc. - Angio TC arterial d'extremitats inferiors
Prova diagnòstica no invasiva que consisteix en l'estudi de vascular del sector aorto-ílíac i dels vasos arterials d'ambdues extremitats inferiors amb l'obtenció d'imatges d'alta definició anatòmica mitjançant l'ús d'un equip de TC (Tomografia Computaritzada) i contrast iodat. La qualitat de les imatges permet realitzar reconstruccions en 2D i 3D gràcies a estacions de treball especialitzades en l'estudi arterial.
- Intervencions guiades per TC
- Ablació per radiofreqüència de tumors ossis
- Col·locació d'Arpó interpulmonar prequirúrgic
- PAAF (Punció) de tòrax guiada per TC
Prova que consisteix en obtenir una mostra de teixit de lesions toràciques, com per exemple masses pulmonars, mediastíniques, lesions òssies, etc. Per a tal s'administra anestèsia local sobre la zona de punció, que es realitza amb agulles de calibre fi. Tot el procediment es realitza controlat per imatges obtingudes per Tomografia Computaritzada (TC) en diversos moments de la punció mitjançant l'ús de Fluoroscòpia- TC. Després de la prova, el pacient resta unes hores hospitalitzat. És necessari que porti les proves de coagulació abans de la punció. - Biòpsia de tòrax guiada per TC
Consisteix en obtenir una mostra de teixit d'una determinada lesió toràcica, com per exemple del pulmó, del mediastí, de l'estern, etc. A vegades es realitza sota sedació, amb l'ajuda de l'equip d'anestèsia. S'utilitzen agulles que permeten l'obtenció d'un cilindre de la lesió que s'ha d'estudiar, que s'enviarà a Anatomia Patològica per a la seva anàlisi histològica. Tot el procediment es realitza controlat per imatges obtingudes per Tomografia Computaritzada (TC) en diversos moments de la biòpsia mitjançant l'ús de Fluoroscòpia-TC. Després de la prova, el pacient resta hospitalitzat per controlar la seva evolució. És necessari que porti proves de coagulació abans de la punció. - PAAF (Punció) abdominal guiada per TC
Prova que consisteix en obtenir una mostra de teixit de lesions toràciques, com per exemple masses pulmonars, mediastíniques, lesions òssies, etc. Per a tal s'administra anestèsia local sobre la zona de punció, que es realitza amb agulles de calibre fi. Tot el procediment es realitza controlat per imatges obtingudes per Tomografia Computaritzada (TC) en diversos moments de la punció mitjançant l'ús de Fluoroscòpia- TC. Després de la prova, el pacient resta unes hores hospitalitzat. És necessari que porti les proves de coagulació abans de la punció. - Biòpsia abdominal guiada per TC
Consisteix en obtenir una mostra de teixit d'una determinada lesió determinada de lesió localitzada en la cavitat abdominal. A vegades es realitza sota sedació, amb l'ajuda de l'equip d'anestèsia. S'utilitzen agulles que permeten l'obtenció d'un cilindre de la lesió que s'ha d'estudiar, que s'enviarà a Anatomia Patològica per a la seva anàlisi histològica. Tot el procediment es realitza controlat per imatges obtingudes per Tomografia Computaritzada (TC) en diversos moments de la biòpsia mitjançant l'ús de Fluoroscòpia-TC. Després de la prova, el pacient resta hospitalitzat per controlar la seva evolució. És necessari que porti proves de coagulació abans de la punció. - Drenatge abdominal guiat per TC
Consisteix en col·locar un catèter de drenatge sobre una col·lecció líquida localitzada en la cavitat abdominal, amb la intenció de buidar el màxim possible d'aquesta col·lecció. El pacient haurà de mantenir el drenatge uns quants dies, normalment fins que no sigui productiu. Sovint es realitza sota sedació, amb l'ajuda de l'equip d'anestèsia. Tot el procediment es realitza controlat per imatges obtingudes per Tomografia Computaritzada (TC) en diversos moments de la prova mitjançant l'ús de Fluoroscòpia-TC. Després de la prova, el pacient resta hospitalitzat. És necessari que porti proves de coagulació abans de la punció. - Biòpsia òssia guiada per TC
Exploració invasiva que permet obtenir mostres de teixit ossi, principalment procedent de tumoracions. El TC és utilitzat per seleccionar la zona de punció i guiar les agulles de biòpsia fins la tumoració. S'aplica anestèsia local i, ocasionalment, sedació. La durada del procediment depèn de la seva dificultat tècnica d'aquest.


































