Tomografía Computarizada (TAC)
Centro Médico Teknon cuenta con un método de última generación que permite la reconstrucción tridimensional del órgano estudiado o bien la obtención del órgano en los tres planos del espacio. La Tomografía Computarizada, mediante un movimiento de rotación, envía emisiones de rayos X sucesivas a uno o varios detectores. Estos datos se integran en un sistema único que los exporta en un "volumen" de imágenes que representan la región explorada. De este modo se obtienen imágenes detalladas, con una resolución de densidad muy superior a la de la radiología convencional.
- Neurorradiología
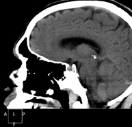
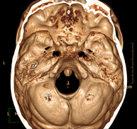
- TC Cráneo
Prueba radiológica que consiste en obtener imágenes del cráneo de alta definición anatómica (tronco cerebral, cerebelo, cerebro, calota craneal, etc.), mediante el empleo de un equipo de TC (Tomografía Computarizada).Indicaciones: traumatismos, cefalea, trastornos de la memoria, pérdida de fuerza súbita en una extremidad o mitad del cuerpo. - TC Cuello
Prueba radiológica que consiste en obtener imágenes del cuello de alta definición anatómica mediante el empleo de un equipo de TC (Tomografía Computarizada). Indicaciones: estudio de tiroides, control de tumores tratados, estudio de ganglios, infecciones y abscesos. - TC Laringe
Prueba radiológica que consiste en obtener imágenes de la laringe de alta definición anatómica mediante el empleo de un equipo de TC (Tomografía Computarizada). Indicaciones: afonía súbita o crónica, dificultad respiratoria. - TC Órbitas
Prueba radiológica que consiste en obtener imágenes de las órbitas de alta definición anatómica mediante el empleo de un equipo de TC (Tomografía Computarizada). Indicaciones: visión doble, infecciones, traumatismos, ojos saltones (hipertiroidismo), malformaciones congénitas. - TC Hipófisis
Prueba radiológica que consiste en obtener imágenes de la hipófisis cerebral de alta definición anatómica mediante el empleo de un equipo de TC (Tomografía Computarizada). Indicaciones: sospecha de tumor hipofisario, trastorno del crecimiento. - TC Macizo facial

Prueba radiológica que consiste en obtener imágenes del macizo facial (cara) de alta definición anatómica mediante el empleo de un equipo de TC (Tomografía Computarizada). Indicaciones: tumores, cirugía plástica. - TC Oídos
Prueba radiológica que consiste en obtener imágenes del oído de alta definición anatómica (conducto auditivo interno y externo, tímpano, huesecillos del oído), mediante el empleo de un equipo de TC (Tomografía Computarizada). Indicaciones: trastornos de la audición, cuadros vertiginosos, mareos, acúfenos (pitidos). - TC Dental
Prueba radiológica que consiste en obtener imágenes de los huesos maxilares de alta definición anatómica (piezas dentarias, trayecto del nervio dentario), mediante el empleo de un equipo de TC (Tomografía Computarizada). Indicaciones: estudio previo a la extracción dental, estudio previo a implantes, tumores, absceso. - TC Senos paranasales
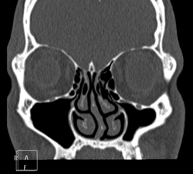
Prueba radiológica que consiste en obtener imágenes de los senos paranasales de alta definición anatómica, mediante el empleo de un equipo de TC (Tomografía Computarizada). Indicaciones: cefalea, tos crónica, mucosidad, infecciones faciales. - TC Peñascos
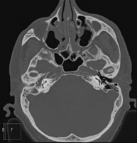
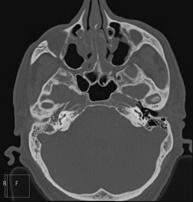
Prueba radiológica que consiste en obtener imágenes del hueso peñasco del temporal (oído interno, medio y externo) de alta definición anatómica mediante el empleo de un equipo de TC (Tomografía Computarizada). Indicaciones: pérdida de audición súbita o crónica, cuadros vertiginosos, mareo, malformaciones congénitas. - Angio – TC Troncos Supraaórticos
Prueba radiológica que consiste en obtener imágenes de las arterias carótidas del cuello de alta definición anatómica mediante el empleo de un equipo de TC (Tomografía Computarizada) y la inyección de contraste intravenoso. Posteriormente, las imágenes son reconstruidas en tres dimensiones (3D). Indicaciones: accidente vascular cerebral agudo, accidente vascular transitorio, soplo carotídeo. - TC Columna cervical
Prueba radiológica que consiste en obtener imágenes de las vertebras cervicales de alta definición anatómica mediante el empleo de un equipo de TC (Tomografía Computarizada). Indicaciones: cervicalgia sin/con irradiación a brazos, traumatismo.
- Tórax
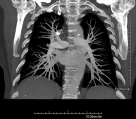
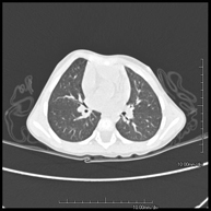
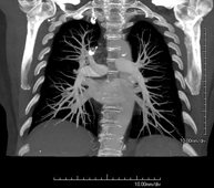
- TC Tórax
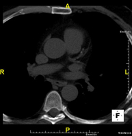
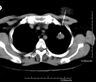
Prueba diagnóstica que consiste en obtener imágenes del tórax de alta definición anatómica (pulmones, corazón, mediastino, grandes vasos, caja torácica, etc.) mediante el empleo de un equipo de TC (Tomografía Computarizada). Dichas imágenes se estudian posteriormente en una estación de trabajo que permite reconstrucciones bidimendionales en diferentes planos del espacio y también reconstrucciones 3D (volumétricas). Algunos estudios requieren el empleo de contraste yodado para mejorar la definición de las imágenes. - Angio-TC Aorta torácica
Prueba diagnóstica que consiste en el estudio de la aorta torácica (principal arteria del tórax) mediante el empleo de un equipo de TC (Tomografía Computarizada). Esta técnica requiere el empleo de contraste yodado, y proporciona imágenes de alta definición anatómica. El uso del TCMD (TC Multidetector) acorta el tiempo de exploración, disminuye la dosis de radiación y mejora la calidad de la imagen. Gracias a los múltiples detectores, en determinados estudios se puede acoplar la obtención de la imagen con el latido cardíaco, técnica que permite el estudio de la válvula aórtica y de la raíz de la arteria aorta (primeros centímetros), donde el latido del corazón suele provocar múltiples artefactos de movimiento. - Angio –TC Artèries pulmonars (estudi TEP, Tromboembòlia pulmonar)
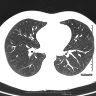
Prova diagnòstica que consisteix en l'estudi de les artèries pulmonars mitjançant l'ús d'un equip de TC (Tomografia Computeritzada) per obtenir imatges bi i tridimensionals. En aquest estudi és imprescindible l'ús de contrast iodat que permet una millor definició anatòmica. Aquesta prova està principalment indicada en els casos de sospita de tromboembòlia pulmonar (TEP) per descartar o confirmar la presència de coàguls sanguinis a l'interior de les artèries. - TC Tòrax d'alta resolució
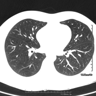
Prova diagnòstica que consisteix en l'estudi del pulmó mitjançant l'ús d'un equip de TC (Tomografia Computeritzada) per obtenir imatges bi i tridimensional que permeten un estudi anatòmic altament específic del pulmó per poder valorar les estructures anatòmiques de petites dimensions. És una tècnica molt important en l'estudi dels pacients amb sospita de malaltia pulmonar. - TC d'estern
Exploració radiològica que mitjançant un sistema de raigs X i detectors que giren al voltant del pacient i que reconstrueixen les imatges per ordinador, permet l'estudi detallat de l'estern. - TC Clavícules
Exploració radiològica que mitjançant un sistema de raigs X i detectors que giren al voltant del pacient i que reconstrueixen les imatges per ordinador, permet l'estudi detallat de les clavícules. - TC Parrilla costal
Exploració radiològica que mitjançant un sistema de raigs X i detectors que giren al voltant del pacient i que reconstrueixen les imatges per ordinador, permet l'estudi detallat detalla de la Parrilla. - Angio- TC Cardíac o TC Cardíac
L'angio TC Cardíac o Coronariografia no invasiva és una prova diagnòstica que consisteix en l'estudi de les artèries del cor o artèries coronàries mitjançant l'ús d'un equip TC Multidetector d'última generació i de contrast iodat, i l'obtenció d'imatges bi i tridimensionals. El TC Multidetector o TCMD permet una adquisició d'imatges tan ràpida que es poden valorar les artèries coronàries amb alta precisió anatòmica: estrenyiment o estenosi, calcificacions, variants anatòmiques, etc. ja que gràcies a la seva rapidesa evita l'artefacte que provoca el moviment constant del cor (triga menys de deu segons en adquirir unes 1000 imatges). La informació obtinguda precisa un tractament en estacions de treball amb programes especialitzats en la reconstrucció de les artèries coronàries que permeten valorar el nombre, la localització i les característiques de lesions. Tota aquesta informació s'obté de manera no invasiva: només es requereix la punció d'una vena perifèrica (en el braç). És necessari que la freqüència cardíaca no superi els 75 batecs per minut per això alguns pacients hauran de realitzar un tractament previ amb un fàrmac betabloquejant. - PAAF (punció) de tòrax guiada per TC
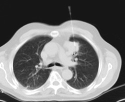
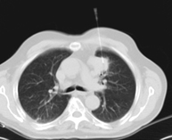
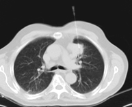
Prova que consisteix en obtenir una mostra de teixit de lesions toràciques, com per exemple masses pulmonars, mediastíniques, lesions òssies, etc. Per això s'administra anestèsia local sobre la zona de punció, que es realitza amb agulles de calibre fi. Tot el procediment es realitza controlat amb imatges obtingudes per tomografia computaritzada (TC) en diversos moments de la punció, mitjançant un equip de Fluoroscòpia-TC. Després de la prova, el pacient resta unes hores hospitalitzat. És necessari portar proves de coagulació abans de la punció. - Biòpsia tòrax guiada per TC
Consisteix en obtenir una mostra de teixit d'una determinada lesió toràcica, com per exemple del pulmó, del mediastí, de l'estern, etc. A vegades es realitza sota sedació, amb l'ajuda de l'equip d'anestèsia. S'utilitzen agulles que permeten l'obtenció d'un cilindre de la lesió a estudiar que s'enviarà a Anatomia Patològica per a la seva anàlisi histològica. Tot el procediment es realitza controlat amb imatges obtingudes per tomografia computaritzada (TC) en diversos moments de la biòpsia, mitjançant un equip de Fluoroscòpia-TC. Després de la prova, el pacient resta hospitalitzat per controlar la seva evolució. És necessari portar proves de coagulació abans de la punció. - TC Columna Dorsal
Prova radiològica que consisteix en obtenir imatges de les vèrtebres dorsals d'alta definició anatòmica, mitjançant l'ús d'un equip de TC (Tomografia Computeritzada). Indicacions: dolor dorsal agut/crònic, traumatisme, columna desviada.
- Score Càlcic
Prova diagnòstica que consisteix en la mesura de la quantitat de calci que pot haver acumulat a les plaques d'arteriosclerosi de les artèries coronàries mitjançant l'ús d'un equip de TC Multidetector d'última generació. És una prova no invasiva que no requereix contrast iodat. No necessita preparació prèvia. La detecció de les plaques calcificades es realitza en una estació de treball especialitzada que permet la quantificació exacta de la quantitat de calci i ofereix una puntuació que és el que a la pràctica mèdica s'anomena Score Càlcic.
- Abdomen i pelvis
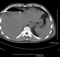
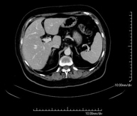
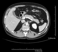
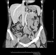
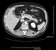
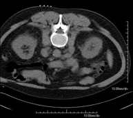
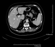
- TC Abdomen
Prova diagnòstica que consisteix en l'estudi de l'abdomen d'alta definició anatòmica (fetge, vesícula biliar, via biliar, pàncrees, melsa, estómac, intestins, ronyons, estructures vasculars, bufeta, úter i ovaris, etc.) mitjançant l'ús d'un equip de TC (Tomografia Computeritzada). Aquestes imatges s'estudien posteriorment en una estació de treball que permet obtenir reconstruccions bidimensionals en diferents plànols de l'espai i també reconstruccions 3D (volumètriques). La majoria d'estudis requereixen l'ús de contrast iodat per millorar la definició de les imatges. - TC Pelvis
Prova diagnòstica que consisteix en obtenir imatges bi i tridimensionals de la pelvis d'alta definició anatòmica (estructures òssies, estructures vasculars, bufeta, úter i ovaris, pròstata i vesícules seminals, urèters, etc.) mitjançant l'ús d'un equip de TC (Tomografia Computeritzada). La majoria d'estudis requereixen l'ús de contrast iodat. - TC Abdominopèlvic
Prova diagnòstica que consisteix en obtenir imatges bi i tridimensionals de l'abdomen d'alta definició anatòmica (estructures òssies, estructures vasculars, fetge, pàncrees, vesícula biliar, ronyons, glàndules suprarenals, melsa, intestí prim i gros, bufeta, úter i ovaris, pròstata i vesícules seminals, urèters, etc.) mitjançant l'ús d'un equip de TC (Tomografia Computeritzada). La majoria d'estudis requereixen l'ús de contrast iodat. - TC Fetge
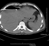
Prova diagnòstica que consisteix en obtenir imatges bi i tridimensionals del fetge d'alta definició anatòmica mitjançant l'ús d'un equip de TC (Tomografia Computeritzada). És necessari realitzar l'estudi abans i després de l'ús de contrast iodat, i realitzar l'estudi en diferents "fases hepàtiques" per valorar correctament totes les estructures: parènquima hepàtic, via biliar intra i extrahepàtic, vesícula biliar, vasos hepàtics (artèria hepàtica, vena porta i venes suprahepàtiques) i estructures adjacents (estómac, duodè, vena cava inferior, glàndula pancreàtica, etc.). Aquesta prova està especialment indicada en l'estudi de lesions hepàtiques, estudi d'hepatopaties cròniques, etc. - TC Ronyons
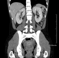
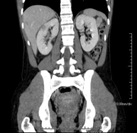
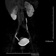
Prova diagnòstica que consisteix en obtenir imatges bi i tridimensionals del ronyó i del sistema urinari d'alta definició anatòmica mitjançant l'ús d'un equip de TC (Tomografia Computeritzada). Es realitza l'estudi abans i després de l'ús de contrast iodat en diferents "fases renals" per a una valoració funcional i anatòmica: parènquima renal, urèters, bufeta urinària, artèries i venes renals, etc. així com les estructures adjacents (vena cava inferior, aorta abdominal, fetge, melsa, etc.). Està especialment indicat quan hi ha sospita de lesions renals, en pacients amb sang a l'orina o hematúria, etc. - TC Urològic
Prova diagnòstica que consisteix en obtenir imatges bi i tridimensionals del ronyó i del sistema urinari d'alta definició anatòmica mitjançant l'ús d'un equip de TC (Tomografia Computeritzada). Està especialment indicat en aquells pacients en els quals se sospita que hi ha pedres al ronyó, infeccions urinàries de repetició. L'estudi es realitza sense utilitzar contrast iodat (només es casos determinats serà necessari completar l'estudi amb contrast iodat). - TC Pàncrees
Prova diagnòstica que consisteix en obtenir imatges bi i tridimensionals del pàncrees d'alta definició anatòmica mitjançant l'ús d'un equip de TC (Tomografia Computeritzada). Es realitza l'estudi abans i després de l'ús de contrast iodat en diferents "fases pancreàtiques" per poder valorar totes les estructures: parènquima pancreàtic, conducte pancreàtic o de Wirsung, unió bilio-pancreàtica, colèdoc, artèries pancreàtiques, artèria i vena esplèniques, duodè. Està especialment indicant quan hi ha sospita de lesió pancreàtica, en pacients amb pancreatitis aguda o crònica, etc. - Angio-TC Aorta abdominal

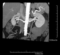
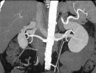
Prova diagnòstica no invasiva que consisteix en l'estudi de l'artèria aorta abdominal a través de l'obtenció d'imatges d'alta definició anatòmica mitjançant l'ús d'un equip de TC (Tomografia Computeritzada) i de contrast iodat. La qualitat de les imatges permet realitzar reconstruccions en 2D i 3D gràcies a estacions de treball especialitzades en l'estudi arterial. Està indicat en aquells pacients amb malaltia vascular (arteriosclerosi), en aneurismes d'aorta, en pacients amb dolor abdominal de possible origen vascular, en estudis prequirúrgics de lesions adjacents a l'aorta abdominal com a "mapa" vascular. La informació obtinguda de manera no invasiva és indispensable per als pacients que requereixen tractament percutani o quirúrgic. En aquells pacients que només requereixen seguiment de les lesions vasculars, aquesta tècnica és la tècnica no invasiva d'elecció juntament amb l'angio-RM. - Angio-TC Artèries renals

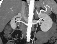
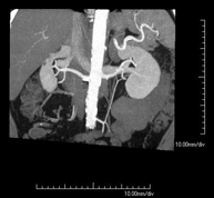
Prova diagnòstica no invasiva que consisteix en l'estudi de les artèries renals a través de l'obtenció d'imatges d'alta definició anatòmica mitjançant l'ús d'un equip de TC (Tomografia Computeritzada) i de contrast iodat. La qualitat de les imatges permet realitzar reconstruccions en 2D i 3D gràcies a estacions de treball especialitzades en l'estudi arterial. Està indicat en aquells pacients amb malaltia vascular (arteriosclerosi), en aneurismes d'aorta, en pacients amb dolor abdominal de possible origen vascular, en estudis prequirúrgics de lesions adjacents a l'aorta abdominal com a "mapa" vascular. La informació obtinguda de manera no invasiva és indispensable per als pacients que requereixen tractament percutani o quirúrgic. En aquells pacients que només requereixen seguiment de les lesions vasculars, aquesta tècnica és la tècnica no invasiva d'elecció juntament amb l'angio-RM. - Angio-TC Aorto-ilíac
Prova diagnòstica no invasiva que consisteix en l'estudi de les artèries ilíaques i l'aorta abdominal a través de l'obtenció d'imatges d'alta definició anatòmica mitjançant l'ús d'un equip de TC (Tomografia Computeritzada) i de contrast iodat. La qualitat de les imatges permet realitzar reconstruccions en 2D i 3D gràcies a estacions de treball especialitzades en l'estudi arterial. Aquesta prova està especialment indicada com estudi prequirúrgic (mapa vascular) abans d'intervencions percutànies o quirúrgiques d'aorta abdominal, com l'estudi complementari en pacients amb isquèmia de membres inferiors, etc. - Colonoscòpia virtual

La colonoscòpia virtual és una tècnica no invasiva que permet la visualització tridimensional i bidimensional de l'intestí gros o del còlon mitjançant la presa seqüencial d'imatges captades amb TC Multidetector d'última generació. La qualitat de les imatges permet la navegació virtual per l'interior del recte i del còlon gràcies al processament en estacions de treball especialitzades. La preparació de la prova consisteix en realitzar una dieta baixa en fibra tres dies abans de la prova (per netejar el còlon i el recte) i de la ingesta de contrast oral iodat el dia abans de la prova (per marcar les femtes i poder distingir-les correctament de les possibles lesions colòniques). A diferència de la fibrocolonoscòpia, no requereix sedació ni solucions evacuants. La prova es realitza a la sala del TC, on, a través d'un petit tub flexible, s'insufla aire per distendre el còlon. - PAAF (Punció) Abdominal guiada per TC
Consisteix en obtenir una mostra de teixit d'una determinada lesió localitzada a la cavitat abdominal. Per això s'administra anestèsia local sobre la zona de punció, que es realitza amb agulles de calibre fi. Tot el procediment es realitza controlat per imatges obtingudes per Tomografia Computaritzada (TC) en diversos moments de la punció, mitjançant l'ús d'un equip de Fluroscòpia-TC. Després de la prova, el pacient resta unes hores hospitalitzat per controlar la seva evolució. És necessari que portin proves de coagulació abans de la punció. - Biòpsia abdominal guiada per TC
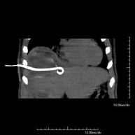
Consisteix en obtenir una mostra de teixit d'una determinada lesió localitzada a la cavitat abdominal. En ocasions es realitza sota sedació, amb l'ajuda de l'equip d'anestèsia. S'utilitzen agulles que permeten l'obtenció d'un cilindre de la lesió que s'ha d'estudiar, que s'enviarà a Anatomia Patològica per a la seva anàlisi histològica. Tot el procediment es realitza controlat per imatges obtingudes per Tomografia Computaritzada (TC) en diversos moments de la biòpsia mitjançant l'ús de Fluoroscòpia –TC. Després de la prova, el pacient resta hospitalitzat per controlar la seva evolució. És necessari que portin proves de coagulació abans de la punció. - Drenatge abdominal guiat per TC (abscessos, col·leccions)
Consisteix en col·locar un catèter de drenatge sobre una col·lecció líquida localitzada a la cavitat abdominal, amb la intenció de buidar el màxim possible aquesta col·lecció. El pacient ha de mantenir el drenatge alguns dies, normalment fins que no sigui productiu. Sovint es realitza sota sedació, amb l'ajuda de l'equip d'anestèsia. Tot el procediment es realitza controlat per imatges obtingudes per Tomografia Computaritzada (TC) en diversos moments de la prova mitjançant l'ús de Fluoroscòpia –TC. Després de la prova, el pacient resta hospitalitzat. És necessari que porti les proves de coagulació abans de la prova.
- Osteoarticular
- TC d'espatlla
Exploració radiològica que mitjançant un sistema de raigs X i detectors que giren al voltant del pacient i que reconstrueixen les imatges per ordinador (TC Multidetector), permet l'estudi detallat dels ossos, els músculs i les articulacions de l'espatlla. - TC de colze
Exploració radiològica que mitjançant un sistema de raigs X i detectors que giren al voltant del pacient i que reconstrueixen les imatges per ordinador (TC Multidetector), permet l'estudi detallat dels ossos, els músculs i les articulacions del colze. - TC de la mà
Exploració radiològica que mitjançant un sistema de raigs X i detectors que giren al voltant del pacient i que reconstrueixen les imatges per ordinador (TC Multidetector), permet l'estudi detallat dels ossos, els músculs i les articulacions de la mà i el canell. - TC de la pelvis òssia
Exploració radiològica que mitjançant un sistema de raigs X i detectors que giren al voltant del pacient i que reconstrueixen les imatges per ordinador (TC Multidetector), permet l'estudi detallat dels ossos, els músculs i les articulacions de la pelvis. - TC de malucs
Exploració radiològica que mitjançant un sistema de raigs X i detectors que giren al voltant del pacient i que reconstrueixen les imatges per ordinador (TC Multidetector), permet l'estudi detallat dels ossos, els músculs i les articulacions del maluc. - TC de sacroilíaques
Exploració radiològica que mitjançant un sistema de raigs X i detectors que giren al voltant del pacient i que reconstrueixen les imatges per ordinador (TC Multidetector), permet l'estudi detallat de les articulacions sacroilíaques i descartar malalties inflamatòries, traumàtiques o degeneratives. - TC de genoll
Exploració radiològica que mitjançant un sistema de raigs X i detectors que giren al voltant del pacient i que reconstrueixen les imatges per ordinador (TC Multidetector), permet l'estudi detallat dels ossos, els músculs i les articulacions del genoll. - TC de turmell-peu
Exploració radiològica que mitjançant un sistema de raigs X i detectors que giren al voltant del pacient i que reconstrueixen les imatges per ordinador (TC Multidetector), permet l'estudi detallat dels ossos, els músculs i les articulacions del turmell i el peu. - TC d'estudi rotacional EEII (Bàscula rotuliana, distància TA-GT)
Exploració radiològica que mitjançant un sistema de raigs X i detectors que giren al voltant del pacient i que reconstrueixen les imatges per ordinador (TC Multidetector), permet calcular una sèrie de mesures a nivell de maluc, genolls i turmells per solucionar problemes de rotació i angulació de les extremitats inferiors. - TC d'ossos llargs
Exploració radiològica que mitjançant un sistema de raigs X i detectors que giren al voltant del pacient i que reconstrueixen les imatges per ordinador (TC Multidetector), permet l'estudi detallat dels ossos llargs (tíbia, peroné, fèmur, húmer, radi i cúbit). - Biòpsia òssia guiada per TC
Consisteix en obtenir una mostra de teixit d'una determinada lesió òssia. En ocasions es realitza sota sedació, amb l'ajuda de l'equip d'anestèsia. S'utilitzen agulles que permeten l'obtenció d'un cilindre de la lesió que s'ha d'estudiar, que s'enviarà a Anatomia Patològica per a la seva anàlisi histològica. Tot el procediment es realitza controlat amb imatges obtingudes per Tomografia Computaritzada (TC). Després de la prova, el pacient resta hospitalitzat per controlar la seva evolució. És necessari que porti les proves de coagulació abans de la punció. - Angio-TC arterial d'extremitats inferiors
Prova diagnòstica no invasiva que consisteix en l'estudi vascular del sector aorto-ilíac i dels vasos arterials d'ambdues extremitats inferiors i l'obtenció d'imatges d'alta definició anatòmica mitjançant l'ús d'un equip de TC Multidetector d'última generació i de contrast iodat. La qualitat de les imatges permet realitzar reconstruccions en 2D i 3D gràcies a estacions de treball especialitzades en l'estudi arterial.
- Columna
- TC Columna cervical
Prova radiològica que consisteix en obtenir imatges de les vèrtebres cervicals d'alta definició anatòmica, mitjançant l'ús d'un equip de TC (Tomografia Computeritzada). Indicacions: dolor cervical amb/sense irradiació als braços, traumatisme, malformacions congènites. - TC Columna dorsal
Prova radiològica que consisteix en obtenir imatges de les vèrtebres dorsals d'alta definició anatòmica, mitjançant l'ús d'un equip de TC (Tomografia Computaritzada). Indicacions: dolor dorsal, estudi de desviacions de la columna, traumatisme. - TC Columna lumbar
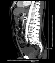
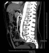
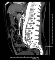
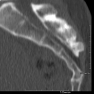
Prova radiològica que consisteix en obtenir imatges de les vèrtebres lumbars d'alta definició anatòmica, mitjançant l'ús d'un equip de TC (Tomografia Computaritzada). Indicacions: dolor lumbar sense / amb irradiació a les cames, dificultat per caminar, traumatisme. - TC de sacre-còccix
- Pediatría
- TC Cráneo
Prueba radiológica que consiste en obtener imágenes del cráneo de alta definición anatómica mediante el empleo de un equipo de TC (Tomografía Computarizada). Indicaciones: cefalea, estudio de tumores, traumatismo craneal. - TC Cuello
Prueba radiológica que consiste en obtener imágenes del cuello de alta definición anatómica mediante el empleo de un equipo de TC (Tomografía Computarizada). Indicaciones: infecciones, abscesos, estudio ganglios. - TC Tórax
Prueba diagnóstica que consiste en obtener imágenes del tórax de alta definición anatómica (pulmones, corazón, mediastino, grades vasos, caja torácica, etc.) mediante el empleo de un equipo de TC (Tomografía Computarizada). Dichas imágenes se estudian posteriormente en una estación de trabajo que permite reconstrucciones bidimendionales en diferentes planos del espacio, y también reconstrucciones tridimensionales (3D: volumétricas). Algunos estudios requieren el empleo de contraste yodado para mejorar la definición de las imágenes. - TC Abdomen
Prueba diagnóstica que consiste en obtener imágenes del abdomen de alta definición anatómica (hígado, vesícula biliar, vía biliar, páncreas, bazo, estómago, intestinos, riñones, estructuras vasculares, vejiga, útero y ovarios, etc.) mediante el empleo de un equipo de TC (Tomografía Computarizada). Dichas imágenes se estudian posteriormente en una estación de trabajo que permite reconstrucciones bidimensionales en diferentes planos del espacio, y también reconstrucciones 3D (volumétricas). La mayoría de estudios requieren el empleo de contraste yodado para mejorar la definición de las imágenes. - TC Estudio rotacional EEII
Exploración radiológica que mediante un sistema de rayos X y detectores que giran alrededor del paciente, reconstruyendo las imágenes por ordenador, permite calcular una serie de mediciones a nivel de caderas, rodillas y tobillos para solucionar problemas de rotación y angulación de las extremidades inferiores.
- TC Óseo
Prueba radiológica que consiste en obtener imágenes de los huesos de alta definición anatómica, mediante el empleo de un equipo de TC (Tomografía Computarizada). Indicaciones: traumatismo, estudio de lesiones focales óseas. - TC Bajo Sedación
Exploración radiológica que mediante un sistema de rayos X y detectores que giran alrededor del paciente, reconstruyendo las imágenes por ordenador, permite el estudio de cualquier región del cuerpo. Se realiza bajo sedación, con la colaboración del equipo de Anestesia. En los pacientes pediátricos es de gran ayuda porque permite realizar exploraciones sin falsas imágenes de movimiento (lactantes, niños de corta edad, etc. en los que la situación clínica lo requiera).
- Estudios Vasculares
- Angio-TC-Troncos Supraaórticos
Prueba radiológica que consiste en obtener imágenes de las arterias carótidas del cuello de alta definición anatómica mediante el empleo de un equipo de TC (Tomografía Computarizada) y la inyección de contraste intravenoso. Posteriormente, las imágenes son reconstruidas en tres dimensiones (3D). Indicaciones: accidente vascular cerebral agudo, accidente vascular transitorio, soplo carotídeo. - Angio TC- aorta toràcica
Prova diagnòstica que consisteix en l'estudi de l'aorta toràcica (principal artèria del tòrax) mitjançant l'ús d'un equip de TC (Tomografia Computeritzada). Aquesta tècnica proporciona imatges d'alta definició anatòmica. En la majoria de casos és necessari l'ús de contrast iodat. L'ús del TCMD (TC Multidetector) escurça el temps d'exploració, disminueix la dosi de radiació i millora la qualitat d'imatge. Gràcies als múltiples detectors en determinats estudis es pot afegir l'obtenció de la imatge amb el batec cardíac, tècnica que permet l'estudi de la vàlvula aòrtica i de l'arrel de l'artèria aorta (primers centímetres), on el batec del cor acostuma a provocar falses imatges a causa del moviment. - Angio TC d'artèries pulmonars (estudi Tep, tromboembolisme)
Prova diagnòstica que consisteix en l'estudi de les artèries pulmonars mitjançant l'ús d'un equip de TC (Tomografia Computaritzada) i amb l'obtenció d'imatges bi i tridimensionals. En aquest estudis és imprescindible l'ús de contrast iodat, que permet una millor definició anatòmica. Aquesta prova està principalment indicada en els casos en els quals hi hagi sospita de tromboembolisme pulmonar (TEP) per descartar o confirmar la presència de coàguls sanguinis a l'interior de les artèries. - Angio TC cardíac
L'Angio TC cardíac o la coronariografia no invasiva és una prova diagnòstica que consisteix en l'estudi de les artèries del cor o artèries coronàries mitjançant l'ús d'un equip de TC Multidetector d'última generació (64 corones o files de detectors) i de contrast iodat amb l'obtenció d'imatges bi i tridimensionals. El TC Multidetector 64 o TCMD64 permet una adquisició d'imatges tan ràpida que es poden valorar les artèries coronàries amb alta precisió anatòmica (estrenyiments o estenosis, calcificacions, variants anatòmiques, etc.), ja que, gràcies a la seva rapidesa, evita les falses imatges que provoca el moviment constant del cor (triga menys de deu segons en adquirir unes 1000 imatges). La informació obtinguda d'un tractament en estacions de treball amb programes especialitzats en la reconstrucció de les artèries coronàries que permeten valorar el nombre, la localització i les característiques de les lesions. Tota aquesta informació s'obté de manera no invasiva: només es necessita la punció d'una vena perifèrica (en el braç). És necessari que la freqüència cardíaca no superi els 75 batecs per minut, per això els pacients han de realitzar un tractament previ amb un fàrmac betabloquejant. - Angio TC d'aorta abdominal
Prova diagnòstica no invasiva que consisteix en l'estudi de l'artèria aorta abdominal amb l'obtenció d'imatges d'alta definició anatòmica mitjançant l'ús d'un equip de TC (Tomografia Computaritzada) i contrast iodat. La qualitat de les imatges permet realitzar reconstruccions en 2D i 3D gràcies a estacions de treball especialitzades en l'estudi arterial. Està indicat en aquells pacients que pateixen malaltia vascular (arteriosclerosi), aneurismes d'aorta, en pacient amb dolor abdominal d'un possible origen vascular, en estudis prequirúrgics de lesions adjacents a l'aorta abdominal com el "mapa" vascular, etc. La informació obtinguda de forma no invasiva és indispensable per als pacients que requereixen tractament percutani o quirúrgic. En aquells pacients que només requereixen un seguiment de les lesions vasculars, aquesta tècnica és la tècnica no invasiva d'elecció juntament amb l'angio RM. - Angio TC d'artèries renals
Prova diagnòstica no invasiva que consisteix en l'estudi de les artèries renals amb l'obtenció d'imatges d'alta definició anatòmica mitjançant l'ús d'un equip de TC (Tomografia Computaritzada) i contrast iodat. La qualitat de les imatges permet realitzar reconstruccions en 2D i 3D gràcies a estacions de treball especialitzades en l'estudi arterial. Aquesta prova està indicat en aquells pacients que pateixen HTA refractària al tractament, en pacients amb lesions renals que tenen un mapa vascular prequirúrgic, etc. - Angio TC d'aorta-ilíaca
Prova diagnòstica no invasiva que consisteix en l'estudi de les artèries ilíaques i l'aorta abdominal amb l'obtenció d'imatges d'alta definició anatòmica mitjançant l'ús d'un equip de TC (Tomografia Computaritzada) i contrast iodat. La qualitat de les imatges permet realitzar reconstruccions en 2D i 3D gràcies a estacions de treball especialitzades en l'estudi arterial. Aquesta prova està especialment indicada com a estudi prequirúrgic (mapa vascular) abans d'intervencions percutànies o quirúrgiques d'aorta abdominal, estudi complementari en pacients amb isquèmia de membres inferiors, etc. - Angio TC arterial d'extremitats inferiors
Prova diagnòstica no invasiva que consisteix en l'estudi de vascular del sector aorto-ílíac i dels vasos arterials d'ambdues extremitats inferiors amb l'obtenció d'imatges d'alta definició anatòmica mitjançant l'ús d'un equip de TC (Tomografia Computaritzada) i contrast iodat. La qualitat de les imatges permet realitzar reconstruccions en 2D i 3D gràcies a estacions de treball especialitzades en l'estudi arterial.
- Intervencions guiades per TC
- Ablació per radiofreqüència de tumors ossis
- Col·locació d'Arpó interpulmonar prequirúrgic
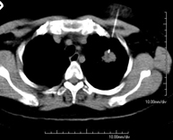
- PAAF (Punció) de tòrax guiada per TC
Prova que consisteix en obtenir una mostra de teixit de lesions toràciques, com per exemple masses pulmonars, mediastíniques, lesions òssies, etc. Per a tal s'administra anestèsia local sobre la zona de punció, que es realitza amb agulles de calibre fi. Tot el procediment es realitza controlat per imatges obtingudes per Tomografia Computaritzada (TC) en diversos moments de la punció mitjançant l'ús de Fluoroscòpia- TC. Després de la prova, el pacient resta unes hores hospitalitzat. És necessari que porti les proves de coagulació abans de la punció. - Biòpsia de tòrax guiada per TC
Consisteix en obtenir una mostra de teixit d'una determinada lesió toràcica, com per exemple del pulmó, del mediastí, de l'estern, etc. A vegades es realitza sota sedació, amb l'ajuda de l'equip d'anestèsia. S'utilitzen agulles que permeten l'obtenció d'un cilindre de la lesió que s'ha d'estudiar, que s'enviarà a Anatomia Patològica per a la seva anàlisi histològica. Tot el procediment es realitza controlat per imatges obtingudes per Tomografia Computaritzada (TC) en diversos moments de la biòpsia mitjançant l'ús de Fluoroscòpia-TC. Després de la prova, el pacient resta hospitalitzat per controlar la seva evolució. És necessari que porti proves de coagulació abans de la punció. - PAAF (Punció) abdominal guiada per TC
Prova que consisteix en obtenir una mostra de teixit de lesions toràciques, com per exemple masses pulmonars, mediastíniques, lesions òssies, etc. Per a tal s'administra anestèsia local sobre la zona de punció, que es realitza amb agulles de calibre fi. Tot el procediment es realitza controlat per imatges obtingudes per Tomografia Computaritzada (TC) en diversos moments de la punció mitjançant l'ús de Fluoroscòpia- TC. Després de la prova, el pacient resta unes hores hospitalitzat. És necessari que porti les proves de coagulació abans de la punció. - Biòpsia abdominal guiada per TC
Consisteix en obtenir una mostra de teixit d'una determinada lesió determinada de lesió localitzada en la cavitat abdominal. A vegades es realitza sota sedació, amb l'ajuda de l'equip d'anestèsia. S'utilitzen agulles que permeten l'obtenció d'un cilindre de la lesió que s'ha d'estudiar, que s'enviarà a Anatomia Patològica per a la seva anàlisi histològica. Tot el procediment es realitza controlat per imatges obtingudes per Tomografia Computaritzada (TC) en diversos moments de la biòpsia mitjançant l'ús de Fluoroscòpia-TC. Després de la prova, el pacient resta hospitalitzat per controlar la seva evolució. És necessari que porti proves de coagulació abans de la punció. - CT-guided abdominal drainage

It consists of placing a drainage catheter over a collection of fluid located in the abdominal cavity, with the intention of emptying as much of the collection as possible. The patient should keep the drain in place for a few days, usually until it is no longer productive. It is often performed under sedation with the help of an anaesthesia team. The entire procedure is monitored using images obtained by computed tomography (CT) at various stages of the test, using CT fluoroscopy. After the test, the patient remains hospitalised. Coagulation tests must be performed before the test.
- CT-guided bone biopsy

Invasive examination used to extract bone tissue samples, mainly from tumours. The CT scan is used to select the puncture site and guide the biopsy needles to the tumour. Local anaesthesia is applied and sedation is occasionally used. The duration of the procedure will depend on its technical difficulty.


































