Tomografia Computaritzada Multidetector
Hospital Quirón Teknon disposa d'un mètode d'última generació que permet la reconstrucció tridimensional de l'òrgan estudiat o bé l'obtenció de l'òrgan en els tres plans de l'espai. La Tomografia Computaritzada, mitjançant un moviment de rotació, envia emissions de raigs X successives a un o diversos detectors. Aquestes dades s'integren en un sistema únic que les exporta en un "volum" d'imatges que representen la regió explorada. D'aquesta manera s'obtenen imatges detallades, amb una resolució de densitat molt superior a la de la radiologia convencional.
- Neurorradiologia
- TC Cráneo
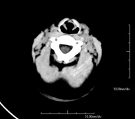
Prueba radiológica que consiste en obtener imágenes del cráneo de alta definición anatómica (tronco cerebral, cerebelo, cerebro, calota craneal, etc.), mediante el empleo de un equipo de TC (Tomografía Computarizada).Indicaciones: traumatismos, cefalea, trastornos de la memoria, pérdida de fuerza súbita en una extremidad o mitad del cuerpo. - TC Cuello
Prueba radiológica que consiste en obtener imágenes del cuello de alta definición anatómica mediante el empleo de un equipo de TC (Tomografía Computarizada). Indicaciones: estudio de tiroides, control de tumores tratados, estudio de ganglios, infecciones y abscesos. - TC Laringe
Prueba radiológica que consiste en obtener imágenes de la laringe de alta definición anatómica mediante el empleo de un equipo de TC (Tomografía Computarizada). Indicaciones: afonía súbita o crónica, dificultad respiratoria. - TC Órbitas
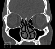
Prueba radiológica que consiste en obtener imágenes de las órbitas de alta definición anatómica mediante el empleo de un equipo de TC (Tomografía Computarizada). Indicaciones: visión doble, infecciones, traumatismos, ojos saltones (hipertiroidismo), malformaciones congénitas. - TC Hipófisis
Prueba radiológica que consiste en obtener imágenes de la hipófisis cerebral de alta definición anatómica mediante el empleo de un equipo de TC (Tomografía Computarizada). Indicaciones: sospecha de tumor hipofisario, trastorno del crecimiento. - TC Macizo facial

Prueba radiológica que consiste en obtener imágenes del macizo facial (cara) de alta definición anatómica mediante el empleo de un equipo de TC (Tomografía Computarizada). Indicaciones: tumores, cirugía plástica. - TC Oídos
Prueba radiológica que consiste en obtener imágenes del oído de alta definición anatómica (conducto auditivo interno y externo, tímpano, huesecillos del oído), mediante el empleo de un equipo de TC (Tomografía Computarizada). Indicaciones: trastornos de la audición, cuadros vertiginosos, mareos, acúfenos (pitidos). - TC Dental
Prueba radiológica que consiste en obtener imágenes de los huesos maxilares de alta definición anatómica (piezas dentarias, trayecto del nervio dentario), mediante el empleo de un equipo de TC (Tomografía Computarizada). Indicaciones: estudio previo a la extracción dental, estudio previo a implantes, tumores, absceso. - TC Senos paranasales
Prueba radiológica que consiste en obtener imágenes de los senos paranasales de alta definición anatómica, mediante el empleo de un equipo de TC (Tomografía Computarizada). Indicaciones: cefalea, tos crónica, mucosidad, infecciones faciales. - TC Peñascos
Prueba radiológica que consiste en obtener imágenes del hueso peñasco del temporal (oído interno, medio y externo) de alta definición anatómica mediante el empleo de un equipo de TC (Tomografía Computarizada). Indicaciones: pérdida de audición súbita o crónica, cuadros vertiginosos, mareo, malformaciones congénitas. - Angio – TC Troncos Supraaórticos
Prueba radiológica que consiste en obtener imágenes de las arterias carótidas del cuello de alta definición anatómica mediante el empleo de un equipo de TC (Tomografía Computarizada) y la inyección de contraste intravenoso. Posteriormente, las imágenes son reconstruidas en tres dimensiones (3D). Indicaciones: accidente vascular cerebral agudo, accidente vascular transitorio, soplo carotídeo. - TC Columna cervical
Prueba radiológica que consiste en obtener imágenes de las vertebras cervicales de alta definición anatómica mediante el empleo de un equipo de TC (Tomografía Computarizada). Indicaciones: cervicalgia sin/con irradiación a brazos, traumatismo.
- Tórax
- TC Tórax
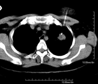
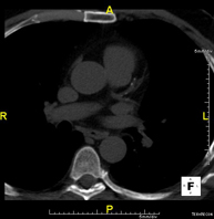
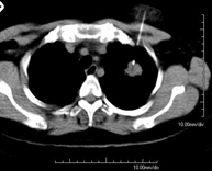
Prueba diagnóstica que consiste en obtener imágenes del tórax de alta definición anatómica (pulmones, corazón, mediastino, grandes vasos, caja torácica, etc.) mediante el empleo de un equipo de TC (Tomografía Computarizada). Dichas imágenes se estudian posteriormente en una estación de trabajo que permite reconstrucciones bidimendionales en diferentes planos del espacio y también reconstrucciones 3D (volumétricas). Algunos estudios requieren el empleo de contraste yodado para mejorar la definición de las imágenes. - Angio-TC Aorta torácica
Prueba diagnóstica que consiste en el estudio de la aorta torácica (principal arteria del tórax) mediante el empleo de un equipo de TC (Tomografía Computarizada). Esta técnica requiere el empleo de contraste yodado, y proporciona imágenes de alta definición anatómica. El uso del TCMD (TC Multidetector) acorta el tiempo de exploración, disminuye la dosis de radiación y mejora la calidad de la imagen. Gracias a los múltiples detectores, en determinados estudios se puede acoplar la obtención de la imagen con el latido cardíaco, técnica que permite el estudio de la válvula aórtica y de la raíz de la arteria aorta (primeros centímetros), donde el latido del corazón suele provocar múltiples artefactos de movimiento. - Angio-TC Arterias pulmonares (Estudio TEP, Tromboembolismo Pulmonar)
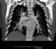
Prueba diagnóstica que consiste en el estudio de las arterias pulmonares mediante el empleo de un equipo de TC (Tomografía Computarizada) obteniendo imágenes bi y tridimensionales. En este estudio es imprescindible el uso de contraste yodado, el cual permitirá una mejor definición anatómica. Esta prueba está principalmente indicada en los casos de sospecha de tromboembolismo pulmonar (TEP) para descartar o confirmar la presencia de coágulos sanguíneos en el interior de las arterias. - TC Tórax alta resolución
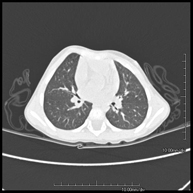
Prueba diagnóstica que consiste en el estudio del pulmón mediante el empleo de un equipo de TC (Tomografía Computarizada) obteniendo imágenes bi y tridimensionales que permiten un estudio anatómico altamente específico del pulmón, pudiendo valorar estructuras anatómicas de tamaño muy pequeño. Es una técnica muy importante en el estudio de los pacientes con sospecha de enfermedad pulmonar. - TC Esternón
Exploración radiológica que mediante un sistema de rayos X y detectores que giran alrededor del paciente, reconstruyendo las imágenes por ordenador, permite el estudio detallado del esternón. - TC Clavículas
Exploración radiológica que mediante un sistema de rayos X y detectores que giran alrededor del paciente, reconstruyendo las imágenes por ordenador, permite el estudio detallado de las clavículas. - TC Parrilla costal
Exploración radiológica que mediante un sistema de rayos X y detectores que giran alrededor del paciente, reconstruyendo las imágenes por ordenador, permite el estudio detallado de la parrilla costal. - Angio-TC Cardíaco o TC Cardíaco
El angio-TC Cardíaco o Coronariografía no invasiva es una prueba diagnóstica que consiste en el estudio de las arterias del corazón o arterias coronarias mediante el empleo de un equipo de TC Multidetector de última generación y de un contraste yodado, obteniendo imágenes bi y tridimensionales. El TC Multidetector o TCMD permite una adquisición de imágenes tan rápida, que se pueden valorar las arterias coronarias con una alta precisión anatómica: estrechamientos o estenosis, calcificaciones, variantes anatómicas, etc., ya que gracias a su rapidez evita el artefacto que provoca el movimiento constante del corazón (tarda menos de diez segundos en adquirir unas 1000 imágenes). La información obtenida precisa de un tratamiento en estaciones de trabajo con programas especializados en la reconstrucción de las arterias coronarias que permiten valorar el número, la localización y las características de las lesiones. Toda esta información se obtiene de manera no invasiva: solo se requiere la punción de una vena periférica (en el brazo). Es necesario que la frecuencia cardíaca no supere los 75 latidos por minuto, por lo que algunos pacientes deberán realizar un tratamiento previo con un fármaco betabloqueante. - PAAF (Punción) Tórax guiada por TC
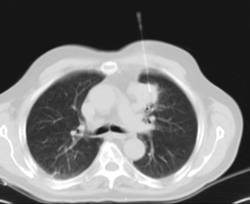
Prueba que consiste en obtener una muestra de tejido de lesiones torácicas, como por ejemplo masas pulmonares, mediastínicas, lesiones óseas, etc. Para ello se administra anestesia local sobre la zona de la punción, la cual se realiza con agujas de fino calibre. Todo el procedimiento se realiza controlado por imágenes obtenidas por Tomografía Computarizada (TC) en varios momentos de la punción, mediante un equipo de Fluoroscopia-TC. Tras la prueba, el paciente permanece unas horas hospitalizado. Es necesario aportar pruebas de coagulación antes de la punción. - Biopsia tórax guiada por TC
Consiste en obtener una muestra de tejido de una determinada lesión torácica, como por ejemplo del pulmón, del mediastino, del esternón, etc. A veces se realiza bajo sedación, con la ayuda del equipo de anestesia. Se utilizan agujas que permiten la obtención de un cilindro de la lesión a estudiar, que se enviará a Anatomía Patológica para su análisis histológico. Todo el procedimiento se realiza controlado con imágenes obtenidas por Tomografía Computarizada (TC) en varios momentos de la biopsia, mediante un equipo de Fluoroscopia-TC. Tras la prueba, el paciente permanece hospitalizado para controlar su evolución. Es necesario aportar pruebas de coagulación antes de la punción. - TC Columna Dorsal
Prueba radiológica que consiste en obtener imágenes de las vértebras dorsales de alta definición anatómica mediante el empleo de un equipo de TC (Tomografía Computarizada). Indicaciones: dolor dorsal agudo/crónico, traumatismo, columna desviada.
- Score cálcico
Prueba diagnóstica que consiste en la medición de la cantidad de calcio que puede haber acumulado en las placas de ateroesclerosis de las arterias coronarias mediante el empleo de un equipo de TC Multidetector de última generación. Es una prueba no invasiva que no requiere contraste yodado. No necesita preparación previa. La detección de las placas calcificadas se realiza en una estación de trabajo especializada que permite la cuantificación exacta de la cantidad de calcio dando una puntuación, que es lo que en la práctica médica se llama Score Cálcico.
- Abdomen y pelvis
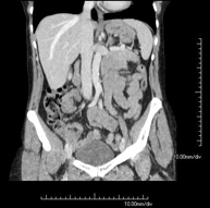
- TC Abdomen
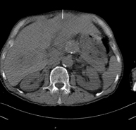
Prueba diagnóstica que consiste en obtener imágenes del abdomen de alta definición anatómica (hígado, vesícula biliar, vía biliar, páncreas, bazo, estómago, intestinos, riñones, estructuras vasculares, vejiga, útero y ovarios, etc.) mediante el empleo de un equipo de TC (Tomografía Computarizada). Dichas imágenes se estudian posteriormente en una estación de trabajo que permite reconstrucciones bidimensionales en diferentes planos del espacio, y también reconstrucciones 3D (volumétricas). La mayoría de estudios requieren el empleo de contraste yodado para mejorar la definición de las imágenes. - TC Pelvis
Prueba diagnóstica que consiste en obtener imágenes bi y tridimensionales de la pelvis de alta definición anatómica (estructuras óseas, estructuras vasculares, vejiga, útero y ovarios, próstata y vesículas seminales, uréteres, etc.) mediante el empleo de un equipo de TC (Tomografía Computarizada). La mayoría de estudios requieren el empleo de contraste yodado. - TC Abdominopélvico
Prueba diagnóstica que consiste en obtener imágenes bi y tridimensionales del abdomen y de la pelvis de alta definición anatómica (estructuras óseas, estructuras vasculares, hígado, páncreas, vesícula biliar, riñones, glándulas suprarrenales, bazo, intestino delgado y grueso, vejiga, útero y ovarios, próstata y vesículas seminales, uréteres, etc.) mediante el empleo de un equipo de TC (Tomografía Computarizada). La mayoría de estudios requieren el empleo de contraste yodado. - TC Hígado
Prueba diagnóstica que consiste en obtener imágenes bi y tridimensionales del hígado de alta definición anatómica mediante el empleo de un equipo de TC (Tomografía Computarizada). Es necesario realizar el estudio antes y después del empleo de contraste yodado, realizándolo en diferentes "fases hepáticas" para valorar correctamente todas las estructuras: parénquima hepático, vía biliar intra y extrahepática, vesícula biliar, vasos hepáticos (arteria hepática, vena porta y venas suprahepáticas) y estructuras adyacentes (estómago, duodeno, vena cava inferior, glándula pancreática, etc.). Esta prueba está especialmente indicada en el estudio de lesiones hepáticas, el estudio de hepatopatías crónicas, etc. - TC Riñones
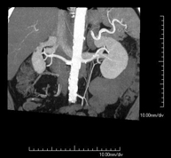
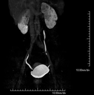
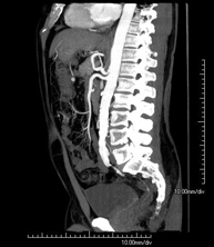
Prueba diagnóstica que consiste en obtener imágenes bi y tridimensionales del riñón y del sistema urinario de alta definición anatómica mediante el empleo de un equipo de TC (Tomografía Computarizada). Se realiza el estudio antes y después del empleo de contraste yodado en diferentes "fases renales" para una valoración funcional y anatómica (parénquima renal, uréteres, vejiga urinaria, arterias y venas renales, etc.), así como las estructuras adyacentes (vena cava inferior, aorta abdominal, hígado, bazo, etc.). Está especialmente indicado ante la sospecha de lesiones renales, en pacientes con sangre en orina o hematuria, etc. - TC Urológico
Prueba diagnóstica que consiste en obtener imágenes bi y tridimensionales del riñón y del sistema urinario de alta definición anatómica mediante el empleo de un equipo de TC (Tomografía Computarizada). Está especialmente indicado en aquellos pacientes en los que se sospecha que hay piedras en el riñón, infecciones urinarias de repetición, etc. El estudio se realiza sin emplear contraste yodado (solo en determinados casos será necesario completar el estudio con contraste yodado). - TC Páncreas
Prueba diagnóstica que consiste en obtener imágenes bi y tridimensionales del páncreas de alta definición anatómica mediante el empleo de un equipo de TC (Tomografía Computarizada). Se realiza el estudio antes y después del empleo de contraste yodado en diferentes "fases pancreáticas" para poder valorar todas las estructuras (parénquima pancreático, conducto pancreático o de Wirsung, unión bilio-pancreática, colédoco, arterias pancreáticas, arteria y vena esplénicas, duodeno, etc.). Está especialmente indicado ante la sospecha de lesión pancreática, en pacientes con pancreatitis aguda o crónica, etc. - Angio-TC aorta abdominal

Prueba diagnóstica no invasiva que consiste en el estudio de la arteria aorta abdominal obteniendo imágenes de alta definición anatómica mediante el empleo de un equipo de TC (Tomografía Computarizada) y de contraste yodado. La calidad de las imágenes permite realizar reconstrucciones en 2D y 3D gracias a estaciones de trabajo especializadas en el estudio arterial. Está indicado en aquellos pacientes con enfermedad vascular (aterosclerosis), en aneurismas de aorta, en pacientes con dolor abdominal de posible origen vascular, en estudios pre-quirúrgicos de lesiones adyacentes a la aorta abdominal como "mapa" vascular, etc. La información obtenida de forma no invasiva es indispensable para los pacientes que requieren tratamiento percutáneo o quirúrgico. En aquellos pacientes que solo requieren un seguimiento de las lesiones vasculares, esta técnica es la técnica no invasiva de elección junto con la angio-RM. - Angio-TC arterias renales

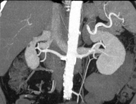
Prueba diagnóstica no invasiva que consiste en el estudio de las arterias renales obteniendo imágenes de alta definición anatómica mediante el empleo de un equipo de TC (Tomografía Computarizada) y de contraste yodado. La calidad de las imágenes permite realizar reconstrucciones en 2D y 3D gracias a estaciones de trabajo especializadas en el estudio arterial. Esta prueba está indicada, por ejemplo, en aquellos pacientes que sufren de HTA refractaria al tratamiento, en pacientes con lesiones renales para tener un mapa "vascular" pre-quirúrgico, etc. - Angio-TC aorto-ilíaco
Prueba diagnóstica no invasiva que consiste en el estudio de las arterias ilíacas y la aorta abdominal obteniendo imágenes de alta definición anatómica mediante el empleo de un equipo de TC (Tomografía Computarizada) y de contraste yodado. La calidad de las imágenes permite realizar reconstrucciones en 2D y 3D gracias a estaciones de trabajo especializadas en el estudio arterial. Esta prueba está especialmente indicada como estudio pre-quirúrgico (mapa vascular) antes de intervenciones percutáneas o quirúrgicas de aorta abdominal, como el estudio complementario en pacientes con isquemia de miembros inferiores, etc. - Colonoscopia virtual

La colonoscopia virtual es una técnica no invasiva que permite la visualización tridimensional y bidimensional del intestino grueso o del colon mediante la toma secuencial de imágenes captadas con TC Multidetector de última generación. La calidad de las imágenes permite la navegación virtual por el interior del recto y del colon gracias al procesamiento en estaciones de trabajo especializadas. La preparación de la prueba consiste en realizar una dieta baja en fibra tres días antes de la prueba (para limpiar el colon y el recto) y de la ingestión de contraste oral yodado el día antes de la prueba (para marcar las heces y poder distinguirlas correctamente de las posibles lesiones colónicas). A diferencia de la fibrocolonoscopia, no se requiere sedación ni soluciones evacuantes. La prueba se realiza en la sala del TC donde, a través de un pequeño tubo flexible, se insufla aire para distender el colon. - PAAF (Punción) Abdominal guiada por TC
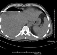
Consiste en obtener una muestra de tejido de una determinada lesión localizada en la cavidad abdominal. Para ello se administra anestesia local sobre la zona de la punción, la cual se realiza con agujas de fino calibre. Todo el procedimiento se realiza controlado con imágenes obtenidas por Tomografía Computarizada (TC) en varios momentos de la punción, mediante el uso de un equipo de Fluroscopia-TC. Tras la prueba, el paciente permanece unas horas hospitalizado para controlar su evolución. Es necesario aportar pruebas de coagulación antes de la punción. - Biopsia abdominal guiada por TC
Consiste en obtener una muestra de tejido de una determinada lesión localizada en la cavidad abdominal. En ocasiones se realiza bajo sedación, con la ayuda del equipo de anestesia. Se utilizan agujas que permiten la obtención de un cilindro de la lesión a estudiar, que se enviará a Anatomía Patológica para su análisis histológico. Todo el procedimiento se realiza controlado con imágenes obtenidas por Tomografía Computarizada (TC) en varios momentos de la biopsia, mediante el empleo de Fluoroscopia-TC. Tras la prueba, el paciente permanece hospitalizado para controlar su evolución. Es necesario aportar pruebas de coagulación antes de la punción. - Drenaje abdominal guiado por TC (abscesos, colecciones)
Consiste en colocar un catéter de drenaje sobre una colección líquida localizada en la cavidad abdominal, con la intención de vaciar el máximo posible dicha colección. El paciente deberá mantener el drenaje algunos días, normalmente hasta que no sea productivo. A menudo se realiza bajo sedación, con la ayuda del equipo de anestesia. Todo el procedimiento se realiza controlado con imágenes obtenidas por Tomografía Computarizada (TC) en varios momentos de la prueba mediante el empleo de Fluoroscopia-TC. Tras la prueba, el paciente permanece hospitalizado. Es necesario aportar pruebas de coagulación antes de la prueba.
- Osteoarticular
- TC Hombro
Exploración radiológica que mediante un sistema de rayos X y detectores que giran alrededor del paciente, reconstruyendo las imágenes por ordenador (TC Multidetector), permite el estudio de huesos, músculos y articulaciones del hombro. - TC Codo
Exploración radiológica que mediante un sistema de rayos X y detectores que giran alrededor del paciente, reconstruyendo las imágenes por ordenador (TC Multidetector), permite el estudio de huesos, músculos y articulaciones del codo. - TC Mano – muñeca
Exploración radiológica que mediante un sistema de rayos X y detectores que giran alrededor del paciente, reconstruyendo las imágenes por ordenador (TC Multidetector), permite el estudio de huesos, músculos y articulaciones de mano y muñeca. - TC Pelvis ósea
Exploración radiológica que mediante un sistema de rayos X y detectores que giran alrededor del paciente, reconstruyendo las imágenes por ordenador (TC Multidetector), permite el estudio de huesos, músculos y articulaciones de la pelvis. - TC de malucs
Exploració radiològica que mitjançant un sistema de raigs X i detectors que giren al voltant del pacient i que reconstrueixen les imatges per ordinador (TC Multidetector), permet l'estudi detallat dels ossos, els músculs i les articulacions del maluc. - TC de sacroilíaques
Exploració radiològica que mitjançant un sistema de raigs X i detectors que giren al voltant del pacient i que reconstrueixen les imatges per ordinador (TC Multidetector), permet l'estudi detallat de les articulacions sacroilíaques i descartar malalties inflamatòries, traumàtiques o degeneratives. - TC de genoll
Exploració radiològica que mitjançant un sistema de raigs X i detectors que giren al voltant del pacient i que reconstrueixen les imatges per ordinador (TC Multidetector), permet l'estudi detallat dels ossos, els músculs i les articulacions del genoll. - TC de turmell-peu
Exploració radiològica que mitjançant un sistema de raigs X i detectors que giren al voltant del pacient i que reconstrueixen les imatges per ordinador (TC Multidetector), permet l'estudi detallat dels ossos, els músculs i les articulacions del turmell i el peu. - TC d'estudi rotacional EEII (Bàscula rotuliana, distància TA-GT)
Exploració radiològica que mitjançant un sistema de raigs X i detectors que giren al voltant del pacient i que reconstrueixen les imatges per ordinador (TC Multidetector), permet calcular una sèrie de mesures a nivell de maluc, genolls i turmells per solucionar problemes de rotació i angulació de les extremitats inferiors. - TC d'ossos llargs
Exploració radiològica que mitjançant un sistema de raigs X i detectors que giren al voltant del pacient i que reconstrueixen les imatges per ordinador (TC Multidetector), permet l'estudi detallat dels ossos llargs (tíbia, peroné, fèmur, húmer, radi i cúbit). - Biòpsia òssia guiada per TC
Consisteix en obtenir una mostra de teixit d'una determinada lesió òssia. En ocasions es realitza sota sedació, amb l'ajuda de l'equip d'anestèsia. S'utilitzen agulles que permeten l'obtenció d'un cilindre de la lesió que s'ha d'estudiar, que s'enviarà a Anatomia Patològica per a la seva anàlisi histològica. Tot el procediment es realitza controlat amb imatges obtingudes per Tomografia Computaritzada (TC). Després de la prova, el pacient resta hospitalitzat per controlar la seva evolució. És necessari que porti les proves de coagulació abans de la punció. - Angio-TC arterial d'extremitats inferiors
Prova diagnòstica no invasiva que consisteix en l'estudi vascular del sector aorto-ilíac i dels vasos arterials d'ambdues extremitats inferiors i l'obtenció d'imatges d'alta definició anatòmica mitjançant l'ús d'un equip de TC Multidetector d'última generació i de contrast iodat. La qualitat de les imatges permet realitzar reconstruccions en 2D i 3D gràcies a estacions de treball especialitzades en l'estudi arterial.
- Columna
- TC Columna cervical
Prova radiològica que consisteix en obtenir imatges de les vèrtebres cervicals d'alta definició anatòmica, mitjançant l'ús d'un equip de TC (Tomografia Computeritzada). Indicacions: dolor cervical amb/sense irradiació als braços, traumatisme, malformacions congènites. - TC Columna dorsal
Prova radiològica que consisteix en obtenir imatges de les vèrtebres dorsals d'alta definició anatòmica, mitjançant l'ús d'un equip de TC (Tomografia Computaritzada). Indicacions: dolor dorsal, estudi de desviacions de la columna, traumatisme. - TC Columna lumbar
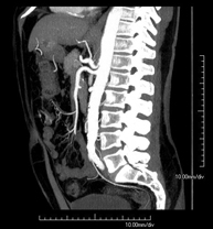
Prova radiològica que consisteix en obtenir imatges de les vèrtebres lumbars d'alta definició anatòmica, mitjançant l'ús d'un equip de TC (Tomografia Computaritzada). Indicacions: dolor lumbar sense / amb irradiació a les cames, dificultat per caminar, traumatisme. - TC de sacre-còccix
- Pediatria
- TC de crani
Prova radiològica que consisteix en obtenir imatges del crani d'alta definició anatòmica, mitjançant l'ús d'un equip de TC (Tomografia Computeritzada). Indicacions: cefalea, estudi de tumors, traumatisme cranial. - TC de coll
Prova radiològica que consisteix en obtenir imatges del coll d'alta definició anatòmica, mitjançant l'ús d'un equip de TC (Tomografia Computeritzada). - TC Tòrax
Prova diagnòstica que consisteix en obtenir imatges del tòrax d'alta definició anatòmica (pulmons, cor, mediastí, grans vasos, caixa toràcica, etc.) mitjançant l'ús d'un equip de TC (Tomografia Computeritzada). Aquestes imatges s'estudien posteriorment en una estació de treball que permet reconstruccions bidimensionals en diferents plans de l'espai i també reconstruccions tridimensionals (3D: volumètriques). Alguns estudis requereixen l'ús de contrast iodat per millorar la definició de les imatges. - TC Abdomen
Prova diagnòstica que consisteix en obtenir imatges de l'abdomen d'alta definició anatòmica (fetge, vesícula biliar, via biliar, pàncrees, melsa, estómac, intestins, ronyons, estructures vasculars, bufeta, úter i ovaris, etc.) mitjançant l'ús d'un equip de TC (Tomografia Computeritzada). Aquestes imatges s'estudien posteriorment en una estació de treball que permet reconstruccions bidimensional en diferents plans de l'espai, i també reconstruccions tridimensionals (3D: volumètriques). La majoria d'estudis requereixen l'ús de contrast iodat per millorar la definició de les imatges. - TC d'estudi rotacional EEII
Exploració radiològica que mitjançant un sistema de raigs X i detectors que giren al voltant del pacient i que reconstrueixen les imatges per ordinador, permet calcular una sèrie de mesures a nivell de maluc, genolls i turmells per solucionar problemes de rotació i d'angular de les extremitats inferiors.
- TC Ossi
Prova radiològica que consisteix en obtenir imatges dels ossos d'alta definició anatòmica, mitjançant l'ús d'un equip de TC (Tomografia Computeritzada). Indicacions: traumatisme, estudi de lesions focals òssies. - TC sota sedació
Exploració radiològica que mitjançant un sistema de raigs X i de detectors que giren al voltant del pacient i que reconstrueixen les imatges per ordinador, permet l'estudi de qualsevol regió del cos. Es realitza sota sedació, amb la col·laboració de l'equip d'Anestèsia. En els pacients pediàtrics és de gran ajuda perquè permet realitzar exploracions sense falses imatges de moviment (lactants, nens de poca edat, etc. i en aquells que la situació clínica ho requereixi).
- Estudis Vasculars
- Angio TC de troncs supraaòrtics
Prova radiològica que consisteix en obtenir imatges de les artèries caròtides del coll d'alta definició anatòmica, mitjançant l'ús d'un equip de TC (Tomografia Computeritzada) i la injecció de contrast intravenós. Posteriorment, es reconstrueixen les imatges en tres dimensions (3D). Indicacions: accident vascular cerebral agut, accident vascular transitori, buf cardíac. - Angio TC- aorta toràcica
Prova diagnòstica que consisteix en l'estudi de l'aorta toràcica (principal artèria del tòrax) mitjançant l'ús d'un equip de TC (Tomografia Computeritzada). Aquesta tècnica proporciona imatges d'alta definició anatòmica. En la majoria de casos és necessari l'ús de contrast iodat. L'ús del TCMD (TC Multidetector) escurça el temps d'exploració, disminueix la dosi de radiació i millora la qualitat d'imatge. Gràcies als múltiples detectors en determinats estudis es pot afegir l'obtenció de la imatge amb el batec cardíac, tècnica que permet l'estudi de la vàlvula aòrtica i de l'arrel de l'artèria aorta (primers centímetres), on el batec del cor acostuma a provocar falses imatges a causa del moviment. - Angio TC d'artèries pulmonars (estudi Tep, tromboembolisme)
Prova diagnòstica que consisteix en l'estudi de les artèries pulmonars mitjançant l'ús d'un equip de TC (Tomografia Computaritzada) i amb l'obtenció d'imatges bi i tridimensionals. En aquest estudis és imprescindible l'ús de contrast iodat, que permet una millor definició anatòmica. Aquesta prova està principalment indicada en els casos en els quals hi hagi sospita de tromboembolisme pulmonar (TEP) per descartar o confirmar la presència de coàguls sanguinis a l'interior de les artèries. - Angio TC cardíac
L'Angio TC cardíac o la coronariografia no invasiva és una prova diagnòstica que consisteix en l'estudi de les artèries del cor o artèries coronàries mitjançant l'ús d'un equip de TC Multidetector d'última generació (64 corones o files de detectors) i de contrast iodat amb l'obtenció d'imatges bi i tridimensionals. El TC Multidetector 64 o TCMD64 permet una adquisició d'imatges tan ràpida que es poden valorar les artèries coronàries amb alta precisió anatòmica (estrenyiments o estenosis, calcificacions, variants anatòmiques, etc.), ja que, gràcies a la seva rapidesa, evita les falses imatges que provoca el moviment constant del cor (triga menys de deu segons en adquirir unes 1000 imatges). La informació obtinguda d'un tractament en estacions de treball amb programes especialitzats en la reconstrucció de les artèries coronàries que permeten valorar el nombre, la localització i les característiques de les lesions. Tota aquesta informació s'obté de manera no invasiva: només es necessita la punció d'una vena perifèrica (en el braç). És necessari que la freqüència cardíaca no superi els 75 batecs per minut, per això els pacients han de realitzar un tractament previ amb un fàrmac betabloquejant. - Angio TC d'aorta abdominal
Prova diagnòstica no invasiva que consisteix en l'estudi de l'artèria aorta abdominal amb l'obtenció d'imatges d'alta definició anatòmica mitjançant l'ús d'un equip de TC (Tomografia Computaritzada) i contrast iodat. La qualitat de les imatges permet realitzar reconstruccions en 2D i 3D gràcies a estacions de treball especialitzades en l'estudi arterial. Està indicat en aquells pacients que pateixen malaltia vascular (arteriosclerosi), aneurismes d'aorta, en pacient amb dolor abdominal d'un possible origen vascular, en estudis prequirúrgics de lesions adjacents a l'aorta abdominal com el "mapa" vascular, etc. La informació obtinguda de forma no invasiva és indispensable per als pacients que requereixen tractament percutani o quirúrgic. En aquells pacients que només requereixen un seguiment de les lesions vasculars, aquesta tècnica és la tècnica no invasiva d'elecció juntament amb l'angio RM. - Angio TC d'artèries renals
Prova diagnòstica no invasiva que consisteix en l'estudi de les artèries renals amb l'obtenció d'imatges d'alta definició anatòmica mitjançant l'ús d'un equip de TC (Tomografia Computaritzada) i contrast iodat. La qualitat de les imatges permet realitzar reconstruccions en 2D i 3D gràcies a estacions de treball especialitzades en l'estudi arterial. Aquesta prova està indicat en aquells pacients que pateixen HTA refractària al tractament, en pacients amb lesions renals que tenen un mapa vascular prequirúrgic, etc. - Angio TC d'aorta-ilíaca
Prova diagnòstica no invasiva que consisteix en l'estudi de les artèries ilíaques i l'aorta abdominal amb l'obtenció d'imatges d'alta definició anatòmica mitjançant l'ús d'un equip de TC (Tomografia Computaritzada) i contrast iodat. La qualitat de les imatges permet realitzar reconstruccions en 2D i 3D gràcies a estacions de treball especialitzades en l'estudi arterial. Aquesta prova està especialment indicada com a estudi prequirúrgic (mapa vascular) abans d'intervencions percutànies o quirúrgiques d'aorta abdominal, estudi complementari en pacients amb isquèmia de membres inferiors, etc. - Angio TC arterial d'extremitats inferiors
Prova diagnòstica no invasiva que consisteix en l'estudi de vascular del sector aorto-ílíac i dels vasos arterials d'ambdues extremitats inferiors amb l'obtenció d'imatges d'alta definició anatòmica mitjançant l'ús d'un equip de TC (Tomografia Computaritzada) i contrast iodat. La qualitat de les imatges permet realitzar reconstruccions en 2D i 3D gràcies a estacions de treball especialitzades en l'estudi arterial.
- Intervencions guiades per TC
- Ablació per radiofreqüència de tumors ossis
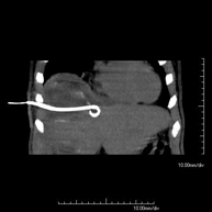
- Col·locació d'Arpó interpulmonar prequirúrgic
- PAAF (Punció) de tòrax guiada per TC
Prova que consisteix en obtenir una mostra de teixit de lesions toràciques, com per exemple masses pulmonars, mediastíniques, lesions òssies, etc. Per a tal s'administra anestèsia local sobre la zona de punció, que es realitza amb agulles de calibre fi. Tot el procediment es realitza controlat per imatges obtingudes per Tomografia Computaritzada (TC) en diversos moments de la punció mitjançant l'ús de Fluoroscòpia- TC. Després de la prova, el pacient resta unes hores hospitalitzat. És necessari que porti les proves de coagulació abans de la punció. - Biòpsia de tòrax guiada per TC
Consisteix en obtenir una mostra de teixit d'una determinada lesió toràcica, com per exemple del pulmó, del mediastí, de l'estern, etc. A vegades es realitza sota sedació, amb l'ajuda de l'equip d'anestèsia. S'utilitzen agulles que permeten l'obtenció d'un cilindre de la lesió que s'ha d'estudiar, que s'enviarà a Anatomia Patològica per a la seva anàlisi histològica. Tot el procediment es realitza controlat per imatges obtingudes per Tomografia Computaritzada (TC) en diversos moments de la biòpsia mitjançant l'ús de Fluoroscòpia-TC. Després de la prova, el pacient resta hospitalitzat per controlar la seva evolució. És necessari que porti proves de coagulació abans de la punció. - PAAF (Punció) abdominal guiada per TC
Prova que consisteix en obtenir una mostra de teixit de lesions toràciques, com per exemple masses pulmonars, mediastíniques, lesions òssies, etc. Per a tal s'administra anestèsia local sobre la zona de punció, que es realitza amb agulles de calibre fi. Tot el procediment es realitza controlat per imatges obtingudes per Tomografia Computaritzada (TC) en diversos moments de la punció mitjançant l'ús de Fluoroscòpia- TC. Després de la prova, el pacient resta unes hores hospitalitzat. És necessari que porti les proves de coagulació abans de la punció. - Biòpsia abdominal guiada per TC
Consisteix en obtenir una mostra de teixit d'una determinada lesió determinada de lesió localitzada en la cavitat abdominal. A vegades es realitza sota sedació, amb l'ajuda de l'equip d'anestèsia. S'utilitzen agulles que permeten l'obtenció d'un cilindre de la lesió que s'ha d'estudiar, que s'enviarà a Anatomia Patològica per a la seva anàlisi histològica. Tot el procediment es realitza controlat per imatges obtingudes per Tomografia Computaritzada (TC) en diversos moments de la biòpsia mitjançant l'ús de Fluoroscòpia-TC. Després de la prova, el pacient resta hospitalitzat per controlar la seva evolució. És necessari que porti proves de coagulació abans de la punció. - Drenatge abdominal guiat per TC
Consisteix en col·locar un catèter de drenatge sobre una col·lecció líquida localitzada en la cavitat abdominal, amb la intenció de buidar el màxim possible d'aquesta col·lecció. El pacient haurà de mantenir el drenatge uns quants dies, normalment fins que no sigui productiu. Sovint es realitza sota sedació, amb l'ajuda de l'equip d'anestèsia. Tot el procediment es realitza controlat per imatges obtingudes per Tomografia Computaritzada (TC) en diversos moments de la prova mitjançant l'ús de Fluoroscòpia-TC. Després de la prova, el pacient resta hospitalitzat. És necessari que porti proves de coagulació abans de la punció. - Biòpsia òssia guiada per TC
Exploració invasiva que permet obtenir mostres de teixit ossi, principalment procedent de tumoracions. El TC és utilitzat per seleccionar la zona de punció i guiar les agulles de biòpsia fins la tumoració. S'aplica anestèsia local i, ocasionalment, sedació. La durada del procediment depèn de la seva dificultat tècnica d'aquest.


































