Saltar al contingut

Equipo Dr. Medina
Consultori
Dr. MedinaDr. Medina
Yañez González RafaelOdontologiaEstomatologia
Implantes dentales

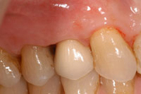
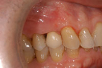
Estrella indiscutible de nuestro programa a día de hoy, los implantes son la última y más espectacular conquista de nuestra ciencia odontológica. La aparición de esta técnica restauradora no es tan nueva, pero ha sido en los últimos años cuando los avances quirúrgicos y la aparición de materiales revolucionarios en este campo nos han permitido dar satisfacción a numerosos pacientes que sufrían grandes mutilaciones dentarias y óseas. Antes de la era de los modernos implantes de titanio estos pacientes se veían obligados a sufrir las antiguas prótesis de quita y pon. Gracias a las nuevas técnicas quirúrgicas y a la aparición de nuevos diseños implantológicos han podido recuperar una función o una estética prácticamente perfectas.

Nadie como estos pacientes desdentados saben lo desgraciado de no poder masticar sin molestias y no poder sonreír con confianza.

La nueva implantología hace posible que pasen a la historia las viejas prótesis completas.

Implantes

Implantes

Implantes

Implantes


Demanar cita