

Centro Médico Teknon
Centro Médico Teknon
Raspat o curetatges, empelts, regeneracions tissulars guiades.
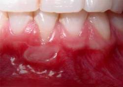
Àrea odontològica molt important i desconeguda per a molts pacients i alguns professionals, que s’encarrega de les cures especialitzades per mantenir la salut de les genives i de l’os que suporta les dents, garantint així l’estabilitat dentària, evitant-ne la pèrdua i facilitant la prevenció de moltes malalties generals (diabetis, malalties cardiovasculars, etc.) que es relacionen amb les malalties periodontals (piorrea).
El seu diagnòstic es basa en el sondatge gingival (periodontograma), la radiologia i l’estudi clínic (sagnat de les genives, mobilitat de les dents, etc.), indicant posteriorment el tractament pertinent que permetrà eliminar la patologia i evitar o retardar el deteriorament de la dentició, evitant que les genives sagnen profusament, que les retraccions gingivals s’accentuïn i que es perdi l’os que subjecta la dent, per tal que aquesta es mantingui ben estable, frenant la pèrdua òssia o recuperant part de l’os reabsorbit, perquè així les dents no tinguin mobilitat i finalment es puguin conservar.
Tractament:
Hi ha diverses possibilitats segons la patologia que presenti el pacient, que van des de les senzilles higienes o neteges supragingivals, juxta o lleugerament subgingivals, fins als raspat i allisat radicular (RAR) o curetatges a "cel tancat" o fins i tot a "cel obert", amb la possibilitat d’efectuar la regeneració dels teixits perduts (os i geniva).
Quan el pacient presenta recessions gingivals (retracció de la geniva) amb o sense pèrdua d’os de suport, es poden utilitzar diferents tècniques d’empelts d’os (del propi pacient o d’un altre origen) o de teixits tous (conjuntiu del paladar, etc.) per evitar que les dents quedin amb l’arrel exposada, augmentin la seva mobilitat i persisteixi i progressi el deteriorament de la boca.






























































