

Centro Médico Teknon
Centro Médico Teknon
Tractaments per iniciar i encaminar els menors en el món de la salut bucodental.
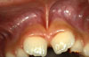
És l’especialitat de l’Odontologia que s’encarrega del tractament de la patologia bucal en pacients en edat infantil i juvenil mentre presenten la dentició decidua (de llet), mixta o permanent. Els nens i els joves han de seguir controls preventius, com a mínim un cop a l’any, amb l’objectiu de diagnosticar de manera precoç els possibles problemes que puguin aparèixer i poder efectuar immediatament els tractaments menys agressius possibles.
Tractament:
Els procediments que es realitzen a aquests pacients són semblants als que s’apliquen als pacients adults, encara que, en la dentició temporal i tenint en compte les característiques psicològiques dels nens i joves, calen unes consideracions específiques pel que fa a les tècniques i a la gestió del pacient, fonamentals per poder dur a terme l’opció terapèutica indicada sense causar dolor ni malestar.



































