

Centro Médico Teknon
Centro Médico Teknon
Tratamientos para iniciar y encauzar a los menores en el mundo de la salud bucal.
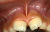
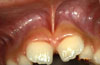
Es la especialidad de la Odontología que se encarga del tratamiento de la patología bucal en los pacientes en edad infantil y juvenil mientras presentan la dentición decidua (de leche), mixta o permanente. Los niños y los jóvenes deben seguir controles preventivos, al menos una vez al año, con el fin de diagnosticar de forma precoz los posibles problemas que puedan aparecer para efectuar inmediatamente los tratamientos lo menos agresivos posibles.
Tratamiento:
Los procedimientos que se hacen a estos pacientes son parecidos a los que se realizan a los pacientes adultos aunque en la dentición temporal y junto con las características psicológicas de los niños y jóvenes, requieren unas consideraciones específicas en relación con las técnicas y el manejo del paciente que es fundamental para poder ejecutar la opción terapéutica indicada sin producir dolor o malestar.



































