

Centro Médico Teknon
Centro Médico Teknon
Raspados o curetajes, injertos, regeneraciones tisulares guiadas.
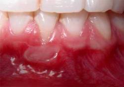
Área odontológica muy importante y desconocida por muchos pacientes y algunos profesionales, que se encarga de los cuidados especializados para mantener la salud de las encías y el hueso que soporta los dientes, garantizando de esta forma la estabilidad dentaria evitando su perdida y facilitando la prevención de muchas enfermedades generales (diabetes, enfermedades cardio-vasculares, etc.) que se relacionan con las enfermedades periodontales (piorrea).
Su diagnóstico se basa en el sondaje gingival (periodontograma), la radiología y el estudio clínico (sangrado de las encías, movilidad de los dientes, etc.), indicando posteriormente el tratamiento pertinente que conseguirá eliminar la patología y evitar o retrasar el deterioro de la dentición, evitando que las encías sangren profusamente, que las retracciones gingivales se acentúen y que no se pierda el hueso que sujeta el diente para que este se mantenga bien estable, frenando la perdida de hueso o recuperando parte del hueso reabsorbido, para que así los dientes no tengan movilidad y que finalmente se puedan perder.
Tratamiento:
Existen varias posibilidades dependiendo de la patología que presenta el paciente, que van desde las sencillas higienes o limpiezas supragingivales, yuxta o levemente subgingivales, hasta los raspados y alisados radiculares (RAP) o los curetajes a "cielo cerrado" o incluso a "cielo abierto" con la posibilidad de efectuar la regeneración de los tejidos perdidos (hueso y encía).
Cuando el paciente presenta recesiones gingivales (retracción de la encía) con o sin pérdida de hueso de soporte, pueden utilizarse distintas técnicas de injertos de hueso (del propio paciente o de otro tipo) o de tejidos blandos (conjuntivo del paladar, etc.) para evitar que los dientes queden con la raíz expuesta, aumente su movilidad y persista y progrese el deterioro de la boca.






























































