

FACULTATIVO ESPECIALISTA CIR. ORTOPÉDICA Y TRAUMATOLOGÍATraumatología y Cirugía OrtopédicaCentro Médico Teknon
Centro Médico Teknon

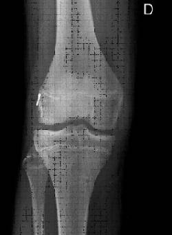
Les lesions lligamentoses també es troben presents en pacients pediàtrics, i no s’han d’infravalorar per l’edat del pacient.
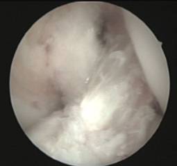
Els traumatismes rotacionals amb vessament articular i la presència de sang són indicatius de la possible lesió del lligament creuat anterior.
Un mal funcionament d’aquest lligament pot determinar un deteriorament articular en un genoll en creixement, i és molt difícil imitar l’activitat esportiva d’aquest grup de pacients.
És important considerar que la base del diagnòstic és clínic, basant-nos en l’anamnesi i l’exploració clínica.
Les exploracions complementàries poden no coincidir amb el diagnòstic clínic i es poden arribar a donar fins a un 40% de falsos negatius segons les sèries publicades.

Els tractaments convencionals descrits per a la reparació del lligament creuat anterior poden provocar efectes iatrogènics sobre el cartílag de creixement.
El factor determinant en la possibilitat de l’aparició d’aquests efectes adversos no és l’edat cronològica del pacient, sinó el seu estadi maduratiu (estadis de Tanner <II determinats per l’aparició de caràcters sexuals secundaris).
També estan involucrats en la possibilitat de lesionar el cartílag de creixement el tipus d’empelt utilitzat (amb pastilles òssies), una excessiva tensió d’aquest a l’hora d’implantar-lo i el diàmetre de les tunelitzacions emprades.
En aquells pacients immadurs amb inestabilitat anterior del genoll simptomàtica utilitzem la reconstrucció artroscòpica transepifisària amb tendó semitendinós del pacient.
S’evita el dany del cartílag de creixement mitjançant l’ús de tunelitzacions retrògrades (sistema de retroconstrucció) que ens permet restituir la funcionalitat de l’articulació sense afectar el cartílag de creixement i mantenint la isometria de l’empelt implantat.
Com en els pacients adults, cal un programa de fisioteràpia postoperatòria encaminada a la normalització de la funció articular.
Existeix, així mateix, la possibilitat de lesions parcials del lligament creuat en què només es trobi afectat un dels seus fascicles (anteromedial o posterolateral).
Quan l’afectació determina la presència de simptomatologia clínica s’aconsella la reparació selectiva del fascicle lesionat mitjançant ligamentoplàsties de reforç artroscòpiques preservant les restes de lligament creuat anterior funcionants































































