

SPECIALIST PHYSICIAN IN ORTHOPEDIC SURGERY AND TRAUMATOLOGYTraumatology and orthopedic surgeryCentro Médico Teknon
Centro Médico Teknon
Las lesiones ligamentosas también se encuentran presentes en pacientes pediátricos no debiendo ser infravaloradas por la edad del paciente. Los traumatismos rotacionales con derrame articular y la presencia de sangre en el mismo son indicativos de la posible lesión del ligamento cruzado anterior.
Un mal funcionamiento de este ligamento puede determinar un deterioro articular en una rodilla en crecimiento siendo muy difícil imitar la actividad deportiva de este grupo de pacientes .
Es importante considerar que la base del diagnóstico es clínico basándonos en la anamnesis y la exploración clínica.
Las exploraciones complementarias pueden no coincidir con el diagnóstico clínico pudiendo llegar hasta un 40% de falsos negativos según las series publicadas.
Los tratamientos convencionales descritos para la reparación del ligamento cruzado anterior pueden provocar efectos yatrógenos sobre el cartílago de crecimiento.
El factor determinante en la posibilidad de la aparición de estos efectos adversos no es la edad cronológica del paciente sino su estadio madurativo (estadios de Tanner <II determinados por la aparición de caracteres sexuales secundarios).
También están involucrados en la posibilidad de lesionar el cartílago de crecimiento el tipo de injerto utilizado (con pastillas óseas) , una excesiva tensión del mismo a la hora de implantarlo y el diámetro de las tunelizaciones empleadas.
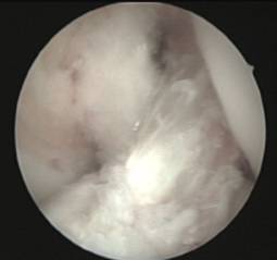
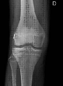
En aquellos pacientes inmaduros con inestabilidad anterior de la rodilla sintomática utilizamos la reconstrucción artroscópica transepifisaria con tendón semitendinoso del paciente.
Se evita el daño del cartílago de crecimiento mediante el empleo de tunelizaciones retrógradas (sistema de retroconstrucción) que nos permite restituir la funcionalidad de la articulación sin afectar el cartílago de cremiento y manteniendo la isometría del injerto implantado.
Como en los pacientes adultos es preciso un programa de fisioterapia post operatoria encaminada a la normalización de la función articular.
Existe asimismo la posibilidad de lesiones parciales del ligamento cruzado en las que sólo se encuentre afecto uno de los fascículos del mismo (antero medial o póstero lateral).
Cuando su afectación determina la presencia de sintomatología clínica se aconseja la reparación selectiva del fascículo lesionado mediante ligamentoplastias de refuerzo artroscópicas preservando los restos de ligamento cruzado anterior funcionantes.



































