

Centro Médico TeknonHospital Quirónsalud BarcelonaHospital Universitari Dexeus- Centro Médico TeknonHospital Quirónsalud Barcelona
- Centro Médico TeknonHospital Quirónsalud BarcelonaHospital Universitari Dexeus
- Centro Médico TeknonHospital Quirónsalud BarcelonaHospital Universitari Dexeus
Corrección del Pectus Excavatum: abordaje videotoracoscópico
Campana de vacío para tratamiento no invasico
En la actualidad tenemos un sistema de campana de vacío que, aplicada al defecto del pectus, nos permite determinar si con su uso puede evitarse la intervención durante un periodo de tiempo. Su utilización se ha desarrollado sobretodo en niños y niñas y, en junio de 2006, se publicó el primer trabajo en el que se objetivan buenos resultados iniciales en el 79% de los pacientes adolescentes y adultos. Así, en la primera evaluación del Pectus Excavatum, la Campana de vacío nos es de ayuda para determinar el mejor tratamiento para cada paciente.
Otras opciones en el tratamiento del Pectus Excavatum: Los implantes de silicona 3D a medida de AnatomikModeling
Esta técnica, diseñada por el Prof. Jean Pierre Chavoin en el Hospital de Toulouse, utiliza un proceso de creación asistida por ordenador (CAO) que permite, a partir de un scanner (TAC), realizar una copia 3D virtual del cuerpo de cada paciente y diseñar el implante que se ajuste perfectamente a su anatomía. El implante se coloca por encima del esternón y por debajo de los músculos pectorales, sin entrar en la cavidad torácica.
Existe ya una experiencia contrastada con esta técnica, que es una opción más en el tratamiento no invasivo del Pectus Excavatum, individualizando en cada paciente la mejor opción personalizada de las técnicas mínimamente invasivas existentes, según las características del defecto esternal y las preferencias de cada paciente.
Autor: Pr Jean-Pierre Chavoin, ex-Jefe del Servicio de Cirugía Plástica del hospital universitario de Toulouse, ex-Presidente y secretario general de la Sociedad Francesa de Cirugía Plástica - Fuente: Correction of Pectus Excavatum by Custom-Made Silicone Implants: Contribution of Computer-Aided Design Reconstruction. A 20-Year Experience and 401 Cases, Chavoin et al., Plastic and Reconstructive Surgery: May 2016 - Volume 137 - Issue 5 - p 860e–871e.
Nueva Técnica Quirúrgica de corrección del Pectus Excavatum sin entrar en el Torax: Pectus Up (Taulinoplastia)
Esta técnica, desarrollada por el Dr. Carlos Bardaji, jefe de Cirugía Pediátrica de la Corporació Sanitària Parc Taulí en Sabadell en colaboración con Ventura Medical Technologies
, se realiza mediante elPectus UP Surgery Kit.
High resolution image. This link will open using lightbox, there may be a context switchDespués de un estudio preliminar con muy buenos resultados, se ha obtenido la Certificación CE que permite su utilización desde Julio de 2015, en niños, adolescentes y adultos.
En nuestra experiencia, esta nueva técnica de tracción del esternón, minimiza las posibles complicaciones intratorácicas de la barra de Nuss, simplificando el procedimiento, por lo que creemos que su utilización será cada vez más frecuente para el tratamiento del Pectus Excavatum.

¿Qué es Pectus Excavatum?
Deformidad congénita: Concavidad del esternón y los cartílagos costales.
1/1000 Nacimientos Varón/Hembra 3:1
Etiopatogenia multifactorial: debilidad cartílagos paraesternales por trastorno metabólico, deformándose por factores mecánicos derivados de la respiración o el crecimiento.
¿Qué problemas produce?
Problema estético, Repercusiones psicológicas: Rehuir actividades, socialmente retraídos e inadaptados.
En algún caso:
Síntomas respiratorios:
- Bronquitis de repetición
- Disnea de esfuerzo
- PFR alteradas
Síntomas cardiacos:
- Soplos funcionales
- Bloqueos I de rama
- Dextrorrotación
Tratamiento del Pectus Excavatum
T. Conservador
- Rehabilitador: no influencia sobre esqueleto
- Ortopédico: compresión rebordes costales (años)
T. Quirúrgico
- T. De Ravitch. Resección cartílagos costales bilateral + esternomía transversa +/- estabilizador subesternal
- T. de Wada. "Sternal Turnover"
- T. de Nuss. "Pectus Bar"
Pectus Excavatum: técnica de Nuss
Basada en la maleabilidad y capacidad de remodelación del esqueleto aplicado al tórax.
Barra de acero subestermal que modifica su concavidad manteniendo el contorno del tórax reformado.
Ayuda del toracoscopio.

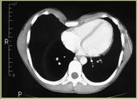
Técnica de Nuss. Preoperatorio.

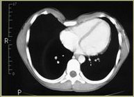
Técnica de Nuss. Postoperatorio.

Esta técnica, desarrollada por la empresa Ventura Medical Technologies , se realiza mediante el Pectus UP Surgery Kit que ofrece una opción de cirugía correctiva muy poco invasiva, en niños, adolescentes y adultos afectados de Pectus Excavatum, sin necesidad de entrar en cavidad torácica.
La técnica, que requiere una única pequeña incisión, consiste en ejercer una fuerza de palanca entre una placa elevadora apoyada en la cúspide de las costillas y un sistema elevador que tira del esternón hacia arriba a través de una pequeña placa fijada en la zona esternal más hundida. Con ello, se consigue corregir el Pectus Excavatum extratorácicamente sin necesidad de invadir el mediastino o la cavidad pleural, en una sola intervención y sin posibilidad de lesionar estructuras óseas u órganos internos del tórax.
Los datos médicos del paciente, más la exploración clínica realizada por el equipo de cirugía, junto a un análisis pormenorizado de las imágenes del TAC y las reconstrucciones digitales en 3D de cada tórax realizadas conjuntamente con el equipo de ingenieros de Ventura Medical Technologies, son la base para determinar si la técnica Pectus Up está indicada y como se debe proceder en cada uno de los pacientes.
Con estos datos se selecciona el implante que mejor se ajustar a la anatomía de cada tórax, la ubicación exacta del sistema de elevación y, a su vez, proporciona al equipo quirúrgico un detalle de los pasos a tener en cuenta para llevar a cabo una correcta implantación.


Pectus Excavatum Pectus Excavatum Asimétrico Índice de Asimetría 0.6 (+R/-L)(|AI|> 0.05 Asimétrico) Índice de Haller 4.5 (HI >3.5) Índice de Corrección 49.13% Rotación esternal 18.1 ° (a la derecha)
Informe de evaluación del TAC de un paciente enviada al cirujano
Según nuestra experiencia, el Pectus Up es una buena alternativa para una corrección definitiva del Pectus Excavatum, y con relevantes beneficios sobre otras técnicas como es la reducción del riesgo durante la cirugía, sin complicaciones intratorácicas, la simplificación del procedimiento quirúrgico con un fácil aprendizaje, y además, garantiza una rápida recuperación al paciente con muy poco dolor post-operatorio.
Su utilización es cada vez más frecuente para el tratamiento del Pectus Excavatum y más demandada entre los pacientes de distintas franjas de edad (adultos, adolescentes y niños) y con distintos grados de asimetría.


Antes y después de una intervención de Pectus Up.

































