

Centro Médico TeknonHospital Quirónsalud BarcelonaHospital Universitari Dexeus- Centro Médico TeknonHospital Quirónsalud BarcelonaHospital Universitari DexeusHospital Universitari Sagrat Cor
- Centro Médico TeknonHospital Quirónsalud BarcelonaHospital Universitari Dexeus
- Centro Médico TeknonHospital Quirónsalud BarcelonaHospital Universitari Dexeus
Corrección del Pectus Excavatum: abordaje videotoracoscópico
Campana de vacío para tratamiento no invasico
En la actualidad tenemos un sistema de campana de vacío que, aplicada al defecto del pectus, nos permite determinar si con su uso puede evitarse la intervención durante un periodo de tiempo. Su utilización se ha desarrollado sobretodo en niños y niñas y, en junio de 2006, se publicó el primer trabajo en el que se objetivan buenos resultados iniciales en el 79% de los pacientes adolescentes y adultos. Así, en la primera evaluación del Pectus Excavatum, la Campana de vacío nos es de ayuda para determinar el mejor tratamiento para cada paciente.
Otras opciones en el tratamiento del Pectus Excavatum: Los implantes de silicona 3D a medida de AnatomikModeling
Esta técnica, diseñada por el Prof. Jean Pierre Chavoin en el Hospital de Toulouse, utiliza un proceso de creación asistida por ordenador (CAO) que permite, a partir de un scanner (TAC), realizar una copia 3D virtual del cuerpo de cada paciente y diseñar el implante que se ajuste perfectamente a su anatomía. El implante se coloca por encima del esternón y por debajo de los músculos pectorales, sin entrar en la cavidad torácica.
Existe ya una experiencia contrastada con esta técnica, que es una opción más en el tratamiento no invasivo del Pectus Excavatum, individualizando en cada paciente la mejor opción personalizada de las técnicas mínimamente invasivas existentes, según las características del defecto esternal y las preferencias de cada paciente.
Autor: Pr Jean-Pierre Chavoin, ex-Jefe del Servicio de Cirugía Plástica del hospital universitario de Toulouse, ex-Presidente y secretario general de la Sociedad Francesa de Cirugía Plástica - Fuente: Correction of Pectus Excavatum by Custom-Made Silicone Implants: Contribution of Computer-Aided Design Reconstruction. A 20-Year Experience and 401 Cases, Chavoin et al., Plastic and Reconstructive Surgery: May 2016 - Volume 137 - Issue 5 - p 860e–871e.
¿Qué es Pectus Excavatum?
Deformidad congénita: Concavidad del esternón y los cartílagos costales.
1/1000 Nacimientos Varón/Hembra 3:1
Etiopatogenia multifactorial: debilidad cartílagos paraesternales por trastorno metabólico, deformándose por factores mecánicos derivados de la respiración o el crecimiento.
¿Qué problemas produce?
Problema estético, Repercusiones psicológicas: Rehuir actividades, socialmente retraídos e inadaptados.
En algún caso:
Síntomas respiratorios:
- Bronquitis de repetición
- Disnea de esfuerzo
- PFR alteradas
Síntomas cardiacos:
- Soplos funcionales
- Bloqueos I de rama
- Dextrorrotación
Tratamiento del Pectus Excavatum
T. Conservador
- Rehabilitador: no influencia sobre esqueleto
- Ortopédico: compresión rebordes costales (años)
T. Quirúrgico
- T. De Ravitch. Resección cartílagos costales bilateral + esternomía transversa +/- estabilizador subesternal
- T. de Wada. "Sternal Turnover"
- T. de Nuss. "Pectus Bar"
Pectus Excavatum: técnica de Nuss
Basada en la maleabilidad y capacidad de remodelación del esqueleto aplicado al tórax.
Barra de acero subestermal que modifica su concavidad manteniendo el contorno del tórax reformado.
Ayuda del toracoscopio.

Técnica de Nuss. Preoperatorio.

Técnica de Nuss. Postoperatorio.

Aquesta tècnica, desenvolupada per l'empresa Ventura Medical Technologies , es fa mitjançant el Pectus UP Surgery Kit que ofereix una opció de cirurgia correctiva molt poc invasiva, en nens, adolescents i adults afectats de Pectus Excavatum, sense necessitat d'entrar a cavitat toràcica.
La tècnica, que requereix una única petita incisió, consisteix a exercir una força de palanca entre una placa elevadora recolzada a la cúspide de les costelles i un sistema elevador que estira l'estèrnum cap amunt a través d'una petita placa fixada a la zona esternal més enfonsada. Amb això, s'aconsegueix corregir el Pectus Excavatum extratoràcicament sense necessitat d'envair el mediastí o la cavitat pleural, en una sola intervenció i sense possibilitat de lesionar estructures òssies o òrgans interns del tòrax.
Les dades mèdiques del pacient, més l'exploració clínica realitzada per l'equip de cirurgia, juntament amb una anàlisi detallada de les imatges del TAC i les reconstruccions digitals en 3D de cada tòrax realitzades conjuntament amb l'equip d'enginyers de Ventura Medical Technologies, són la base per determinar si la tècnica Pectus Up està indicada i com cal procedir en cadascun dels pacients.
Amb aquestes dades se selecciona l'implant que millor s'ajusta a l'anatomia de cada tòrax, la ubicació exacta del sistema d'elevació i, alhora, proporciona a l'equip quirúrgic un detall dels passos que cal tenir en compte per fer-ne una correcta implantació.


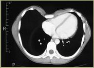
Pectus Excavatum Pectus Excavatum Asimétrico Índice de Asimetría 0.6 (+R/-L)(|AI|> 0.05 Asimétrico) Índice de Haller 4.5 (HI >3.5) Índice de Corrección 49.13% Rotación esternal 18.1 ° (a la derecha)
Informe d'avaluació del TAC d'un pacient enviada al cirurgià
Segons la nostra experiència, el Pectus Up és una bona alternativa per a una correcció definitiva del Pectus Excavatum, i amb rellevants beneficis sobre altres tècniques com és la reducció del risc durant la cirurgia, sense complicacions intratoràciques, la simplificació del procediment quirúrgic amb un aprenentatge fàcil, ia més, garanteix una ràpida recuperació al pacient amb molt poc dolor postoperatori.
La seva utilització és cada cop més freqüent per al tractament del Pectus Excavatum i més demandada entre els pacients de diferents franges d'edat (adults, adolescents i nens) i amb diferents graus d'asimetria.


Abans i després d'una intervenció de Pectus Up.


































