

Centro Médico Teknon
Centro Médico Teknon
Centro Médico Teknon
Centro Médico Teknon- Centro Médico Teknon
- Centro Médico Teknon
- Centro Médico Teknon

La sinusitis crónica (SC) es considerada una inflamación de la cavidad nasal y de los senos paranasales que se prolongue más allá de 12 semanas. Se caracteriza por la presencia de 2 o más síntomas, entre los que necesariamente debe estar bloqueo / obstrucción / congestión nasal, o la secreción nasal anterior/ posterior acompañado de dolor / presión facial y / o pérdida del olfato.

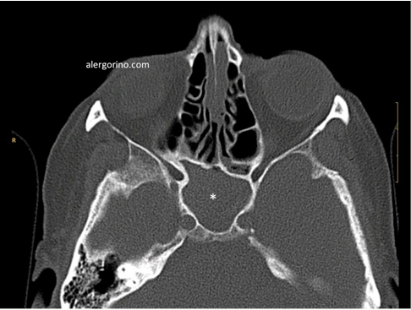
El diagnóstico se realiza mediante la historia clínica y una endoscopia nasal que proporcionan datos como la presencia de pólipos, la descarga mucopurulenta y el edema o la obstrucción de las áreas de drenaje de los senos paranasales. Si no se produjera una respuesta al tratamiento médico se evalua la situación de los senos paranasales mediante una tomografía computarizada (TC).

Los objetivos del tratamiento son: controlar la infección, reducir el edema del tejido, facilitar el drenaje, mantener la aireación de los senos paranasales, rompiendo el ciclo vicioso que conduce a la cronicidad. El tratamiento de la SC, con y sin póliposis, suele puede ser "en bocadillo": médico – quirúrgico – médico. Principalmente los lavados nasales en forma de duchas nasales, corticoides intranasales, antibióticos en caso de sobre-infección. La cirugía endoscópica está indicada cuando fracasa el tratamiento médico. En caso de la SC fúngica es imprescindible la apertura y limpieza adecuadas de los senos afectados.


































