Menú teléfono cabecera
Language selector
menuPrincipal
- Medical directory
- Specialities
- Specialised Units
Teknon Cardiology Institute
Obesity Unit
Teknon Oncology Institute
Bloodless Medicine and Surgery Unit
Teknon Institute of Neurosciences
Traffic Accident Care Unit
Teknon Pulmonology Unit
Maritime Medicine Unit
Institute of Tissue Regenerative Therapy
Teknon Pain Treatment Unit
Teknon Tennis Clinic
Systemic Inflammatory and Autoimmune Diseases Unit
Assisted Reproduction Unit
Sleep Unit
Unidad de Síndromes de Sensibilización Central
Unidad del Virus del Papiloma Humano
- Specialities
- Cardiology and Vascular Surgery
- Pulmonology
- General Surgery
- Neurology and Neurosurgery
- Plastic and cosmetic surgery
- Oncology
- Maxillofacial surgery
- Otorhinolaryngology
- Dermatology
- Paediatrics and Paediatric Surgery
- Gastroenterology
- Traumatology
- Gynaecology and obstetrics
- Urology
- Internal Medicine
- All specialities
- Specialised Units
- Diagnostics
- Diagnostic tests
Diagnostic ImagingDiagnostic and interventional scans.
Anatomical pathology laboratoryAllows to obtain a second opinion from renowned specialists.
Clinical Analysis LaboratoryComprehensive service in the clinical area.
EndoscopyAn accurate diagnosis without conventional surgery.
ElectrophysiologyFunctional exploration of the central nervous system.
ElectromyographyClinical and neurophysiological evaluation of neuromuscular pathology.
DensitometryDiagnostic technique for checking bone mineral density.
UrodynamicsDiagnosis of urination disorders and incontinence.- Cardiac Diagnosis
- Medical check-ups

GeneralThe most intelligent health check-up
FullA comprehensive examination of your health
Full PlusOur most exclusive check-up
TravellersWhen travelling, your health is also part of your luggage
SportA thorough review to boost your performance
CardiologyGood news is knowing your heart is under control
For companiesA tool that enhances employee satisfaction, productivity, and loyalty
- Diagnostic tests
- Our centre
- Teknon Healthcare Service Areas
InpatientBright, functional and fully equipped rooms.
Semi-critical Care UnitEquipped with technology for diagnoses and treatments that require special care.
Healthy Nutrition ProgrammeWe want to improve people’s health, which is why we promote healthy, conscious and sustainable nutrition at our hospitals.
NursingOver 400 professionals.
Emergency DepartmentUninterrupted operation, 24/7 at your service.
Exclusivity / Teknon ClubCommitted to superior and individualised service, we furnish a full range of services in conjunction with our medical and healthcare support.
Surgical AreaA total of twenty (20) operating theatres, 12 of which are equipped for high-risk surgery.
International ProgrammeA programme agent will provide you with comprehensive, personalised support
Healthcare Ethics CommitteeGuidance for citizens and professionals in cases of moral conflicts.
ICU-CCUMultipurpose unit incorporating treatment cubicles equipped with modern monitoring systems.
Patient servicesAvailable to all our patients and their companions.
ResearchResearch is one of the cornerstones of Centro Médico Teknon.
Personalised Follow-up ProgrammeWe accompany you throughout your medical journey. We organise your appointments and tests.
Patient Quality and SafetyOur management models are based on the most stringent national and international standards.
- Teknon Healthcare Service Areas
- News
- News
NewsKeep abreast of the events at Centro Médico Teknon. Visit our News section.
AgendaHere we post upcoming events and discussions on relevant health topics. Visit our Agenda section to see what’s up.
VideosThis section contains an extensive collection of videos related to our specialities.
PodcastOur specialists discuss current medical topics, innovative treatments, health advice and patient experience.
Health content
- News
- Blog

menuPrincipal
- Medical directory
- Specialities
- Specialised Units
Teknon Cardiology Institute
Obesity Unit
Teknon Oncology Institute
Bloodless Medicine and Surgery Unit
Teknon Institute of Neurosciences
Traffic Accident Care Unit
Teknon Pulmonology Unit
Maritime Medicine Unit
Institute of Tissue Regenerative Therapy
Teknon Pain Treatment Unit
Teknon Tennis Clinic
Systemic Inflammatory and Autoimmune Diseases Unit
Assisted Reproduction Unit
Sleep Unit
Unidad de Síndromes de Sensibilización Central
Unidad del Virus del Papiloma Humano
- Specialities
- Cardiology and Vascular Surgery
- Pulmonology
- General Surgery
- Neurology and Neurosurgery
- Plastic and cosmetic surgery
- Oncology
- Maxillofacial surgery
- Otorhinolaryngology
- Dermatology
- Paediatrics and Paediatric Surgery
- Gastroenterology
- Traumatology
- Gynaecology and obstetrics
- Urology
- Internal Medicine
- All specialities
- Specialised Units
- Diagnostics
- Diagnostic tests
Diagnostic ImagingDiagnostic and interventional scans.
Anatomical pathology laboratoryAllows to obtain a second opinion from renowned specialists.
Clinical Analysis LaboratoryComprehensive service in the clinical area.
EndoscopyAn accurate diagnosis without conventional surgery.
ElectrophysiologyFunctional exploration of the central nervous system.
ElectromyographyClinical and neurophysiological evaluation of neuromuscular pathology.
DensitometryDiagnostic technique for checking bone mineral density.
UrodynamicsDiagnosis of urination disorders and incontinence.- Cardiac Diagnosis
- Medical check-ups

GeneralThe most intelligent health check-up
FullA comprehensive examination of your health
Full PlusOur most exclusive check-up
TravellersWhen travelling, your health is also part of your luggage
SportA thorough review to boost your performance
CardiologyGood news is knowing your heart is under control
For companiesA tool that enhances employee satisfaction, productivity, and loyalty
- Diagnostic tests
- Our centre
- Teknon Healthcare Service Areas
InpatientBright, functional and fully equipped rooms.
Semi-critical Care UnitEquipped with technology for diagnoses and treatments that require special care.
Healthy Nutrition ProgrammeWe want to improve people’s health, which is why we promote healthy, conscious and sustainable nutrition at our hospitals.
NursingOver 400 professionals.
Emergency DepartmentUninterrupted operation, 24/7 at your service.
Exclusivity / Teknon ClubCommitted to superior and individualised service, we furnish a full range of services in conjunction with our medical and healthcare support.
Surgical AreaA total of twenty (20) operating theatres, 12 of which are equipped for high-risk surgery.
International ProgrammeA programme agent will provide you with comprehensive, personalised support
Healthcare Ethics CommitteeGuidance for citizens and professionals in cases of moral conflicts.
ICU-CCUMultipurpose unit incorporating treatment cubicles equipped with modern monitoring systems.
Patient servicesAvailable to all our patients and their companions.
ResearchResearch is one of the cornerstones of Centro Médico Teknon.
Personalised Follow-up ProgrammeWe accompany you throughout your medical journey. We organise your appointments and tests.
Patient Quality and SafetyOur management models are based on the most stringent national and international standards.
- Teknon Healthcare Service Areas
- News
- News
NewsKeep abreast of the events at Centro Médico Teknon. Visit our News section.
AgendaHere we post upcoming events and discussions on relevant health topics. Visit our Agenda section to see what’s up.
VideosThis section contains an extensive collection of videos related to our specialities.
PodcastOur specialists discuss current medical topics, innovative treatments, health advice and patient experience.
Health content
- News
- Blog

Language selector

- Specialised Units
Diagnostic tests
Treatments and Specialities
Diagnostic Imaging
Magnetic Resonance Imaging
Paediatrics
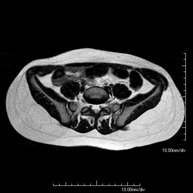
Abdomen MRI
Abdomen MRI
RM Abdomen
This non-invasive diagnostic procedure uses an electromagnetic field and radio waves (from a transmitter and receiver) to acquire high-definition anatomical images of the abdomen. It is a radiation-free procedure. This scan includes the liver, pancreas, spleen, bile duct, gallbladder, adrenal glands, kidneys, abdominal aorta, inferior vena cava, stomach, duodenum, etc. Paramagnetic contrast (gadolinium) may sometimes be used to characterise lesions.



