Magnetic Resonance Imaging
Magnetic resonance imaging (MRI) is a non-invasive diagnostic test (which does not use X-rays) that produces high-definition anatomical images based on the resonance produced in tissues subjected to a magnetic field. This imaging technique provides the greatest differentiation between different tissues in the body, allowing very accurate information to be obtained about the structure and composition of the organ being analysed.
- Centro Médico Teknon has the first high-field open MRI scanner in Catalonia. The device can also be used to examine patients not only in a lying position, but also with their joints flexed and in motion.
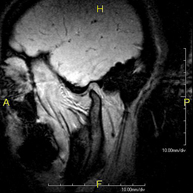
- Neuroradiology
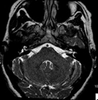
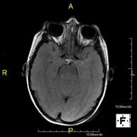
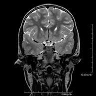
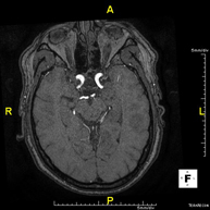
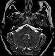
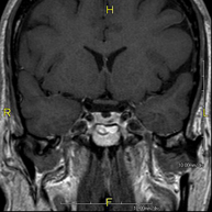
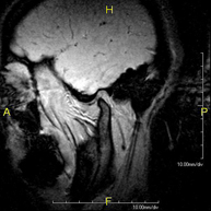
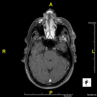
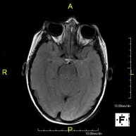
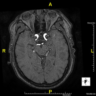
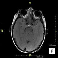
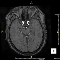
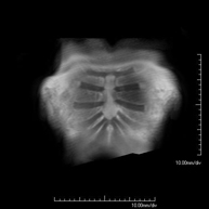
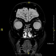
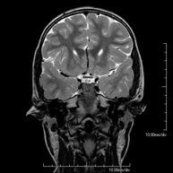
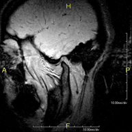
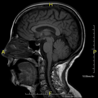
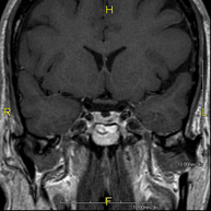
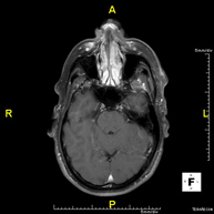
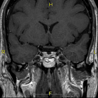
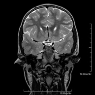
- Brain MRI (cranial)

This non-invasive diagnostic procedure uses an electromagnetic field and radio waves (from a transmitter and receiver) to acquire high-definition anatomical images of the brain. It is a radiation-free procedure. Indicated for: vascular problems, memory loss, epilepsy, headache, malformations, suspected tumour, meningitis.
- IAC MRI

This non-invasive diagnostic procedure uses an electromagnetic field and radio waves (from a transmitter and receiver) to acquire high-definition anatomical images of the internal auditory canal (IAC). It is a radiation-free procedure. Indicated for: hearing problems, dizziness, vertigo.
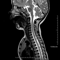
- Neck MRI
This non-invasive diagnostic procedure uses an electromagnetic field and radio waves (from a transmitter and receiver) to acquire high-definition anatomical images of the neck. It is a radiation-free procedure. Indicated for: suspected tumours, infections, lymph nodes.
- Intracranial MRI angiography

This non-invasive diagnostic procedure uses an electromagnetic field and radio waves (from a transmitter and receiver) to acquire high-definition anatomical images of the cerebral arteries. It is a radiation-free procedure. In most cases, paramagnetic contrast (gadolinium) is required. It enables non-invasive angiographic studies using a gadolinium injection, with subsequent 2D and 3D reconstruction using specialised workstations. Indicated for: vascular malformations, cerebral artery aneurysms, arteriosclerosis.
- Supra-aortic trunk MRI angiography
This non-invasive diagnostic procedure uses an electromagnetic field and radio waves (from a transmitter and receiver) to acquire high-definition anatomical images of the carotid and vertebral arteries in the neck. It is a radiation-free procedure. In most cases, paramagnetic contrast (gadolinium) is required. It enables non-invasive angiographic studies using a gadolinium injection, with subsequent 2D and 3D reconstruction using specialised workstations. Indicated for: cerebral circulatory problems, syncope.
- Brain MRI spectroscopy
This non-invasive diagnostic procedure uses an electromagnetic field and radio waves (from a transmitter and receiver) to acquire high-definition anatomical images of the brain. It is a radiation-free procedure. This is followed by a qualitative and quantitative measurement of various metabolites (substances) to help characterise lesions. Indicated for: tumours, metabolic disorders, infections, epilepsy.
- Cerebrospinal fluid (CSF) flow MRI
This non-invasive diagnostic procedure uses an electromagnetic field and radio waves (from a transmitter and receiver) to acquire high-definition anatomical images of the cerebral ventricular system. It is a radiation-free procedure. Indicated for: study of hydrocephalus and stenosis of the cerebral aqueduct.
- Cervical spine MRI

This non-invasive diagnostic procedure uses an electromagnetic field and radio waves (from a transmitter and receiver) to acquire high-definition anatomical images of the cervical spine. It is a radiation-free procedure. Indicated for: trauma, spinal degeneration, hernias.
- Thoracic spine MRI

This non-invasive diagnostic procedure uses an electromagnetic field and radio waves (from a transmitter and receiver) to acquire high-definition anatomical images of the thoracic spine. It is a radiation-free procedure. Indicated for: trauma, degenerative problems, hernias, tumours.
- Lumbar spine MRI

This non-invasive diagnostic procedure uses an electromagnetic field and radio waves (from a transmitter and receiver) to acquire high-definition anatomical images of the lumbar and sacral regions. It is a radiation-free procedure. Indicated for: trauma, sciatica, herniated discs, tumours, infections.
- MRI Myelography

This non-invasive diagnostic procedure uses an electromagnetic field and radio waves (from a transmitter and receiver) to acquire high-definition anatomical images of the spinal cord and nerve roots. It is a radiation-free procedure. Indicated for: hernias, spinal cord compression.
- Brachial plexus MRI

This non-invasive diagnostic procedure uses an electromagnetic field and radio waves (from a transmitter and receiver) to acquire high-definition anatomical images of the nerves in the brachial plexus. It is a radiation-free procedure. Indicated for: study of upper limb paralysis for surgical planning, tumour lesions.
- Cervical + thoracic spine MRI

This non-invasive diagnostic procedure uses an electromagnetic field and radio waves (from a transmitter and receiver) to acquire high-definition anatomical images of the cervical and thoracic spine. It is a radiation-free procedure. Indicated for: trauma, spinal degeneration, hernias.
- Thoracic + lumbar spine MRI

This non-invasive diagnostic procedure uses an electromagnetic field and radio waves (from a transmitter and receiver) to acquire high-definition anatomical images of the thoracic and lumbar spine. It is a radiation-free procedure. Indicated for: trauma, spinal degeneration, hernias.
- RM Columna completa
Prova diagnòstica no invasiva que consisteix en l'obtenció d'imatges d'alta definició anatòmica de la columna cervical, dorsal i lumbar mitjançant l'ús d'un camp electromagnètic i ones de ràdio (amb un emissor i un receptor). No utilitza radiació ionitzant. Indicacions: detecció de metàstasi, escoliosi, traumatisme.
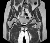
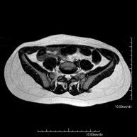
- RM de Sacroilíaques
Prova diagnòstica no invasiva que consisteix en l'obtenció d'imatges d'alta definició anatòmica de les articulacions sacroilíaques mitjançant l'ús d'un camp electromagnètic i ones de ràdio (amb un emissor i un receptor). No utilitza radiació ionitzant. Indicacions: dolor sacroilíac inflamatori. - RM ATM (Articulació temporo-mandibular)
Prova diagnòstica no invasiva que consisteix en l'obtenció d'imatges d'alta definició anatòmica de les articulacions temporo-mandibulars mitjançant l'ús d'un camp electromagnètic i ones de ràdio (amb un emissor i un receptor). No utilitza radiació ionitzant. Es realitza un estudi funcional de les ATM, en les diferents fases d'obertura i tancament de la boca. Indicacions: dolor, bloqueig de l'articulació i sorolls en mastegar. - RM d'Òrbites
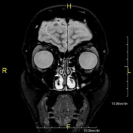
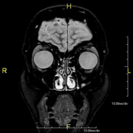
Prova diagnòstica no invasiva que consisteix en l'obtenció d'imatges d'alta definició anatòmica de les òrbites mitjançant l'ús d'un camp electromagnètic i ones de ràdio (amb un emissor i un receptor). No utilitza radiació ionitzant. Indicacions: visió doble, traumatisme, sospita de tumor, hipertiroïdisme. - RM d'Hipòfisi
Prova diagnòstica no invasiva que consisteix en l'obtenció d'imatges d'alta definició anatòmica de la hipòfisi cerebral mitjançant l'ús d'un camp electromagnètic i ones de ràdio (amb un emissor i un receptor). No utilitza radiació ionitzant. Indicacions: trastorn del creixement, trastorns hormonals, tumors. - RM de Sins paranasals
Prova diagnòstica no invasiva que consisteix en l'obtenció d'imatges d'alta definició anatòmica dels sins paranasals mitjançant l'ús d'un camp electromagnètic i ones de ràdio (amb un emissor i un receptor). No utilitza radiació ionitzant. Indicacions: estudi de tumors.
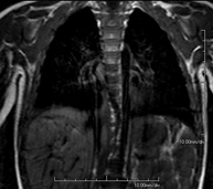
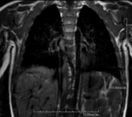
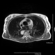
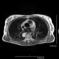
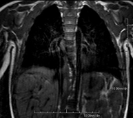
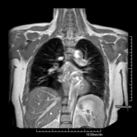
- Tòrax
- RM del Mediastí
Prova diagnòstica no invasiva que consisteix en l'obtenció d'imatges d'alta definició anatòmica del mediastí mitjançant l'ús d'un camp electromagnètic i ones de ràdio (amb un emissor i un receptor). No utilitza radiació ionitzant. El mediastí és la part central de la caixa toràcica que inclou el tim, els grans vasos (aorta toràcica, vena cava inferior i superior, etc.), el cor, la tràquea i els bronquis principals, els ganglis limfàtics mediastínics i hilars, l'esòfag, etc. Està especialment indicada en lesions mediastíniques per diferenciar si són quístiques o sòlides, en el diagnòstic diferencial de les lesions del mediastí anterior, etc. De vegades s'ha d'emprar contrast paramagnètic (Gadolini) per completar l'estudi. - RM Tòrax
Prova diagnòstica no invasiva que consisteix en l'obtenció d'imatges d'alta definició anatòmica del tòrax mitjançant l'ús d'un camp electromagnètic i ones de ràdio (amb un emissor i un receptor). No utilitza radiació ionitzant. Està indicada en aquelles lesions pulmonars en les quals s'ha de descartar si hi ha infiltració del mediastí o de la paret toràcica, per diferenciar si una lesió toràcica és sòlida o quística, etc. En alguns casos caldrà emprar contrast paramagnètic (Gadolini) per completar l'estudi. - RM de Paret Toràcica
Prova diagnòstica no invasiva que consisteix en l'obtenció d'imatges d'alta definició anatòmica de la paret toràcica mitjançant l'ús d'un camp electromagnètic i ones de ràdio (amb un emissor i un receptor). No utilitza radiació ionitzant. Està indicada en l'estudi de lesions de paret toràcica: costals, esternals, musculars (pectorals, intercostals, paravertebrals, etc.), en l'estudi de dolors costals, etc. En alguns casos caldrà emprar contrast paramagnètic (Gadolini) per completar l'estudi. - Angio-RM d'Aorta Toràcica
Prova diagnòstica no invasiva que consisteix en l'obtenció d'imatges d'alta definició anatòmica de l'aorta toràcica (principal artèria del tòrax) mitjançant l'ús d'un camp electromagnètic i ones de ràdio (amb un emissor i un receptor). No utilitza radiació ionitzant. En la majoria dels casos és necessari l'ús de contrast paramagnètic (Gadolini). Permet un estudi angiogràfic no invasiu gràcies a la injecció de Gadolini amb posterior reconstrucció en 2D i 3D, gràcies a estacions de treball especialitzades. També inclou un estudi de la vàlvula aòrtica, informació imprescindible en cas que el pacient necessiti cirurgia. Aquesta prova està especialment indicada en pacients que requereixen tractament quirúrgic (com a mapa vascular pre-quirúrgic), en el seguiment de pacients amb aneurismes d'aorta, etc. - RM Cardíaca
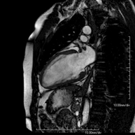
És una prova diagnòstica no invasiva que obté informació morfològica i funcional del cor i les estructures adjacents. D'aquesta manera es poden diagnosticar diferents patologies congènites i adquirides, o bé realitzar controls en pacients amb patologia prèvia ja coneguda. En la gran majoria de casos és necessari l'ús de contrast intravenós (Gadolini) per completar l'estudi, un tipus de contrast que rarament produeix reaccions adverses. Durant la prova el tècnic li demanarà diverses vegades que aguanti la respiració durant 10-15 segons per obtenir les imatges tant clares sigui possible. No es necessita preparació prèvia per part del pacient. La durada de la prova és de 45 – 60 aproximadament. Està contraindicada en pacients amb marcapassos. El pacient haurà d'avisar en cas que porti implants metàl·lics i/o clips quirúrgics. - RM cardíaca amb estrès miocardi
És una prova diagnòstica no invasiva que obté informació morfològica i funcional del cor i de les estructures adjacents. D'aquesta manera es poden diagnosticar diferents patologies congènites i adquirides. Durant la prova el tècnic li demanarà diverses vegades que aguanti la respiració durant 10-15 segons per poder obtenir les imatges tant clares com sigui possible. En la gran majoria de casos és necessari l'ús de contrast intravenós (Gadolini) per completar l'estudi, un tipus de contrast que rarament produeix reaccions adverses. A més a més, s'introdueix un fàrmac (Adenosina), per via intravenosa, per exercir sobre el cor un efecte similar al que es produeix durant l'exercici físic. Es comparen les imatges obtingudes en repòs i després de "l'estrès" farmacològic per detectar dèficits d'aportació sanguini al ventricle esquerre del cor. La durada de la prova és de 45-60 minuts aproximadament. Cal que durant les 24 hores prèvies a la prova no prengui aliments que continguin cafeïna (cafè, té, xocolata, begudes de cola, etc.). Està contraindicada en pacients amb marcapassos. El pacient haurà d'avisar en cas que porti implants metàl·lics i/o clips quirúrgics. - Angio RM de Venes pulmonars
Prova diagnòstica no invasiva que consisteix en l'estudi del patró de drenatge de les venes pulmonars mitjançant l'ús d'un camp electromagnètic i ones de ràdio (amb un emissor i un receptor) i de contrast paramagnètic (Gadolini). No utilitza radiació ionitzant. Està indicada com a mapa angiogràfic previ en pacients que seran sotmesos a ablació de les venes pulmonars, així com en el seu seguiment per descartar l'aparició d'estenosi. - RM de Mames
Prova diagnòstica no invasiva que consisteix en l'obtenció d'imatges d'alta definició anatòmica de les mames mitjançant l'ús d'un camp electromagnètic i ones de ràdio (amb un emissor i un receptor). No utilitza radiació ionitzant. No requereix cap preparació prèvia. En la majoria de casos es necessita l'ús de contrast paramagnètic (Gadolini), sobretot si la indicació és la sospita o estudi d'una neoplàsia mamària. Aquesta prova també està indicada per a l'estudi de pacients amb pròtesis mamàries, ja sigui per seguiment, per descartar complicacions associades a la pròtesi o per descartar la sospita de neoplàsia. En l'estudi de pròtesis, la RM presenta una alta sensibilitat i especificitat en la detecció de silicona (s'apliquen seqüències específiques que només detecten les àrees amb silicona) per tal de poder diagnosticar amb la màxima fiabilitat possible la presència de trencament tant intra com extra-capsular. - RM de l'estern
Prova diagnòstica no invasiva que consisteix en l'obtenció d'imatges d'alta definició anatòmica de l'estern mitjançant l'ús d'un camp electromagnètic i ones de ràdio (amb un emissor i un receptor). No utilitza radiació ionitzant. Està indicada per diferenciar lesions benignes i malignes en pacients amb dolor en les articulacions esternocostals, entre d'altres. En alguns casos caldrà emprar contrast paramagnètic (Gadolini) per completar l'estudi. - RM Axil·lar
Prova diagnòstica no invasiva que consisteix en l'obtenció d'imatges d'alta definició anatòmica de l'axil·la mitjançant l'ús d'un camp electromagnètic i ones de ràdio (amb un emissor i un receptor). No utilitza radiació ionitzant. Està indicada per a l'estudi de ganglis axil·lars, per diferenciar lesions quístiques de contingut hemorràgic (hematomes post-quirúrgics), sòlides, etc. En alguns casos caldrà emprar contrast paramagnètic (Gadolini) per completar l'estudi.
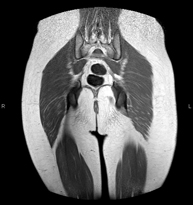
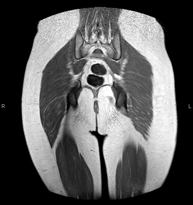
- Abdomen i pelvis
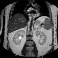
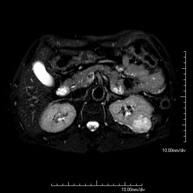
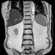
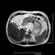
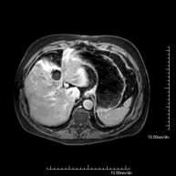
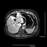
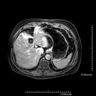
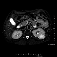
- RM d'Abdomen
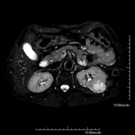
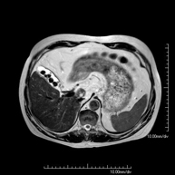
Prova diagnòstica no invasiva que consisteix en l'obtenció d'imatges d'alta definició anatòmica de l'abdomen mitjançant l'ús d'un camp electromagnètic i ones de ràdio (amb un emissor i un receptor). No utilitza radiació ionitzant. En aquesta exploració s'inclouen el fetge, el pàncrees, la melsa, la via biliar, la vesícula biliar, les glàndules suprarenals, els ronyons, l'aorta abdominal, la vena cava inferior, l'estómac, el duodè, etc. En alguns casos caldrà emprar contrast paramagnètic (Gadolini) per caracteritzar les lesions. - RM Pelvis femenina
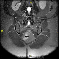
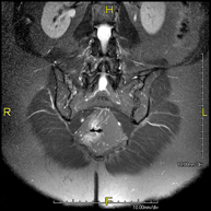
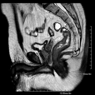
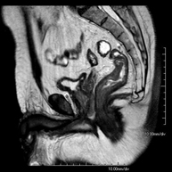
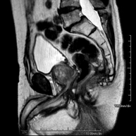
Prova diagnòstica no invasiva que consisteix en l'obtenció d'imatges d'alta definició anatòmica de la pelvis mitjançant l'ús d'un camp electromagnètic i ones de ràdio (amb un emissor i un receptor). No utilitza radiació ionitzant. Es realitza per a l'estudi de patologies d'úter, d'ovari, de trompes i de vagina, ja siguin d'origen tumoral, inflamatori o vascular. També permet valorar les estructures adjacents localitzades a la pelvis i la identificació de les seves alteracions. De vegades és necessari l'ús de contrast intravenós (Gadolini) per caracteritzar les lesions. - RM Pelvis masculina
Prova diagnòstica no invasiva que consisteix en l'obtenció d'imatges d'alta definició anatòmica de la pelvis masculina mitjançant l'ús d'un camp electromagnètic i ones de ràdio (amb un emissor i un receptor). No utilitza radiació ionitzant. No requereix preparació prèvia. En algunes ocasions necessita l'ús de contrast paramagnètic (Gadolini) per caracteritzar les lesions. Aquesta prova permet valorar òrgans com la bufeta urinària, la unió entre els urèters i la bufeta, la pròstata, les vesícules seminals, la uretra i els ossos de la pelvis, entre d'altres. - RM de Fetge
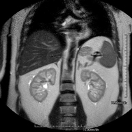
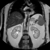
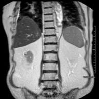
Prova diagnòstica no invasiva que consisteix en l'obtenció d'imatges d'alta definició anatòmica del fetge mitjançant l'ús d'un camp electromagnètic i ones de ràdio (amb un emissor i un receptor). No utilitza radiació ionitzant. Es realitza per estudiar qualsevol lesió localitzada en el fetge. Normalment es requereix l'ús de contrast paramagnètic (Gadolini) per caracteritzar les lesions. És necessari realitzat la prova en dejú (6 hores). - RM de Ronyons
Prova diagnòstica no invasiva que consisteix en l'obtenció d'imatges d'alta definició anatòmica d'ambdós ronyons mitjançant l'ús d'un camp electromagnètic i ones de ràdio (amb un emissor i un receptor). No utilitza radiació ionitzant. Es realitza per estudiar qualsevol lesió localitzada en ambdós ronyons. Normalment es requereix l'ús de contrast paramagnètic (Gadolini) per caracteritzar les lesions. - RM Glándulas Suprarrenales
Prueba diagnóstica no invasiva que consiste en la obtención de imágenes de alta definición anatómica de ambas glándulas suprarrenales mediante el empleo de un campo electromagnético y ondas de radio (con un emisor y un receptor). No utiliza radiación ionizante. No requiere de preparación previa. No requiere el empleo de contraste paramagnético (Gadolinio). Está especialmente indicada en aquellos pacientes en los que es imprescindible diferenciar entre nódulo suprarrenal benigno (el más frecuente, el adenoma suprarrenal) de otras lesiones suprarrenales (tanto benignas - hematomas, angiomiolipomas, etc.- como malignas). - RM Bazo
Prueba diagnóstica no invasiva que consiste en la obtención de imágenes de alta definición anatómica del bazo mediante el empleo de un campo electromagnético y ondas de radio (con un emisor y un receptor). No utiliza radiación ionizante. Se realiza para estudiar cualquier lesión dependiente del bazo. Normalmente se requiere el uso de contraste paramagnético (Gadolinio) para caracterizar las lesiones. - Colangio-RM (RM Vesícula y vía biliar)
Prueba diagnóstica no invasiva que consiste en la obtención de imágenes de alta definición anatómica de la vía biliar y de la vesícula biliar mediante el empleo de un campo electromagnético y ondas de radio (con un emisor y un receptor). No utiliza radiación ionizante. Requiere unas 6 horas de ayuno previo, ya que al no haber ingerido nada, la bilis acumulada en la vesícula y en el árbol biliar nos permitirá una mejor definición anatómica. Requiere de la obtención de secuencias de Colangio-RM que consisten en obtener imágenes de grosor muy fino (1mm) permitiendo realizar reconstrucciones bi y tridimensionales sin la utilización de contraste paramagnético(Gadolinio). En algunas ocasiones se requiere el uso de contraste paramagnético (Gadolinio) para caracterizar las lesiones. Esta especialmente indicada en pacientes con sospecha de piedras en la vesícula, en pacientes con piedras en la vesícula pero con sospecha de que una de las piedras se ha desplazado por los conductos biliares hacia el intestino, pacientes con síntomas de obstrucción de la vía biliar, como estudio pre-quirúrgico (mapa anatómico del árbol biliar) antes de la cirugía de la vesícula biliar, dolor abdominal de probable origen biliar, etc. - Colangiopancreato-RM (RM Páncreas, vesícula y vía biliar)
Prueba diagnóstica no invasiva que consiste en la obtención de imágenes de alta definición anatómica de los conductos de drenaje pancreático (principalmente el conducto de Wirsung ), de la vía biliar y de la vesícula biliar mediante el empleo de un campo electromagnético y ondas de radio (con un emisor y un receptor). No utiliza radiación ionizante. Requiere unas 6 horas de ayuno previo, ya que al no haber ingerido nada, la bilis y los jugos pancreáticos se habrán acumulado, permitiendo una mejor definición anatómica de los mismos. En algunas ocasiones se requiere el uso de contraste paramagnétrico (Gadolinio) para caracterizar las lesiones. Está especialmente indicada en pacientes con sospecha de piedras en el conducto de drenaje de la vía biliar o colédoco, enfermedad a nivel de la unión de los conductos biliares y los pancreáticos, pacientes con pancreatitis de repetición, dolor abdominal con probable origen biliar o pancreático, como estudio anatómico pre-quirúrgico, etc. - RM Páncreas
Prueba diagnóstica no invasiva que consiste en la obtención de imágenes de alta definición anatómica del páncreas mediante el empleo de un campo electromagnético y ondas de radio (con un emisor y un receptor). No utiliza radiación ionizante. Requiere ayuno de 6 horas. Permite un estudio específico pancreático, tanto de la parte glandular como de los conductos de drenaje de los jugos pancreáticos, con una alta definición tisular. También se estudian los vasos pancreáticos y las estructuras adyacentes como son: la vena porta, la arteria y vena esplénicas, la grasa peri-pancreática, la aorta abdominal y la vena cava inferior, etc. En la mayoría de los casos se emplea contraste paramagnético (Gadolinio) para una mejor definición tisular. Esta prueba está especialmente indicada en pacientes con sospecha de lesiones pancreáticas, en pacientes con neoplasia pancreática conocida como estudio o mapa antes de la cirugía, en pacientes con pancreatitis crónica o aguda, etc.
- URO-RM
Prueba diagnóstica no invasiva que consiste en la obtención de imágenes de alta definición anatómica del sistema urinario mediante el empleo de un campo electromagnético y ondas de radio (con un emisor y un receptor). No utiliza radiación ionizante. Requiere el uso de contraste paramagnético (Gadolinio) que se excretará por el sistema urinario y nos permitirá obtener imágenes en 2D y 3D. - RM Próstata
Prueba diagnóstica no invasiva que consiste en la obtención de imágenes de alta definición anatómica de la glándula prostática mediante el empleo de un campo electromagnético y ondas de radio (con un emisor y un receptor). No utiliza radiación ionizante. Se utiliza una bobina endorrectal para obtener imágenes de máxima definición anatómica de la próstata, que permitirá realizar el estudio espectroscópico (estudio a nivel molecular que ayuda a diferenciar las células de origen maligno o tumoral). También se realiza el estudio con contraste paramagnético que aporta una mejor definición tisular. Esta prueba dura unos 40 minutos, durante los cuales el paciente deberá estar lo más quieto posible. Como preparación previa requiere limpieza del colon. Esta prueba está especialmente indicada en aquellos pacientes con sospecha de neoplasia de próstata, con neoplasia de próstata conocida para el estadiaje tumoral, estudio de localización del tumor prostático como guía o mapa para la biopsia, seguimiento de los pacientes con neoplasia de próstata tratados con tratamiento quirúrgico o radioterápico, sospecha de recidiva de la neoplasia de próstata, etc. - RM Cuerpo entero (Total body)
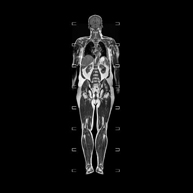
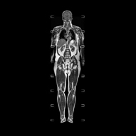
Prueba diagnóstica no invasiva que consiste en la obtención de imágenes de alta definición anatómica de todo el cuerpo mediante el empleo de un campo electromagnético y ondas de radio (con un emisor y un receptor). No utiliza radiación ionizante. Es una prueba muy importante en la búsqueda de metástasis en pacientes con neoplasia conocida. No requiere preparación previa. No es necesario el empleo de contraste paramagnético (Gadolinio). - Angio-RM Aorta abdominal
Prueba diagnóstica no invasiva que consiste en el estudio de la arteria aorta abdominal, obteniendo imágenes de alta definición anatómica mediante el empleo de un campo electromagnético y ondas de radio (con un emisor y un receptor). Es indispensable el uso de contraste paramagnético (Gadolinio). Sin embargo, no utiliza radiación ionizante. La calidad de las imágenes permite realizar reconstrucciones en 2D y 3D. Está indicado en aquellos pacientes con enfermedad vascular (aterosclerosis), estudio de aneurismas, en estudios pre-quirúrgicos de lesiones adyacentes a la aorta abdominal como "mapa" vascular, etc. - Angio RM Aorta-ilíaca
Prueba diagnóstica no invasiva que consiste en el estudio de la arteria aorta abdominal de las arterias ilíacas, obteniendo imágenes de alta definición anatómica mediante el empleo de un campo electromagnético y ondas de radio (con un emisor y un receptor). Es indispensable el uso de contraste paramagnético (Gadolinio). Sin embargo, no utiliza radiación ionizante. La calidad de las imágenes permite realizar reconstrucciones en 2D y 3D. Esta prueba está especialmente indicada como estudio pre-quirúrgico (mapa vascular) antes de intervenciones percutáneas o quirúrgicas de aorta abdominal y arterias ilíacas, estudio complementario en pacientes con isquemia de miembros inferiores, etc. - Angio RM Arterial extremidades inferiores
Prueba diagnóstica no invasiva que consiste en el estudio vascular del sector aorto-ilíaco y de los vasos arteriales de ambas extremidades inferiores, obteniendo imágenes de alta definición anatómica mediante el empleo de un campo electromagnético y ondas de radio (con un emisor y un receptor). Es indispensable el uso de contraste paramagnético (Gadolinio). Sin embargo, no utiliza radiación ionizante. La calidad de las imágenes permite realizar reconstrucciones en 2D y 3D. Está especialmente indicado en aquellos pacientes en los que hay sospecha de enfermedad vascular de ambas extremidades, en pacientes con enfermedad vascular de ambas extremidades como el mapa vascular antes del tratamiento (percutáneo o quirúrgico), como el mapa vascular pre-quirúrgico en pacientes con lesiones óseas o musculares que requieran cirugía, etc. - Angio-RM Arterias renales
Prueba diagnóstica no invasiva que consiste en el estudio de las arterias renales, obteniendo imágenes de alta definición anatómica mediante el empleo de un campo electromagnético y ondas de radio (con un emisor y un receptor). Es indispensable el uso de contraste paramagnético (Gadolinio). Sin embargo, no utiliza radiación ionizante. La calidad de las imágenes permite realizar reconstrucciones en 2D y 3D. Esta prueba está indicada por ejemplo en aquellos pacientes que sufren de HTA refractaria al tratamiento, en pacientes con lesiones renales para tener un mapa "vascular" pre-quirúrgico, etc. - Entero-RM
Prueba diagnóstica no invasiva que consiste en la obtención de imágenes de alta definición anatómica del intestino mediante el empleo de un campo electromagnético y ondas de radio (con un emisor y un receptor). No utiliza radiación ionizante. Normalmente requiere el empleo de contraste paramagnético (Gadolinio). Está indicada principalmente en el diagnóstico, seguimiento y control de respuesta al tratamiento de los pacientes con Enfermedad de Crohn. - RM Rectal
Prueba diagnóstica no invasiva que consiste en la obtención de imágenes de alta definición anatómica del recto mediante el empleo de un campo electromagnético y ondas de radio (con un emisor y un receptor). No utiliza radiación ionizante. Normalmente no requiere el empleo de contraste paramagnético (Gadolinio). Está indicada principalmente en el diagnóstico, estadiaje y seguimiento del cáncer de recto. - RM Pared abdominal
Prueba diagnóstica no invasiva que consiste en la obtención de imágenes de alta definición anatómica de la pared abdominal mediante el empleo de un campo electromagnético y ondas de radio (con un emisor y un receptor). No utiliza radiación ionizante. Está indicada en el estudio de lesiones de pared abdominal, y suelen corresponder a bultos que se nota el paciente o bien dolores en esta región anatómica. En ocasiones se deberá emplear contraste paramagnético (Gadolinio) para completar el estudio. - RM Escrotal (testicular)
Prueba diagnóstica no invasiva que consiste en la obtención de imágenes de alta definición anatómica de la región escrotal mediante el empleo de un campo electromagnético y ondas de radio (con un emisor y un receptor). No utiliza radiación ionizante. En ocasiones se deberá emplear contraste paramagnético (Gadolinio) para completar el estudio. Se utiliza para el estudio detallado de los testículos, para identificar posibles tumores u otras patologías, además de poder visualizar alteraciones de las estructuras adyacentes. - RM Peneana
Prueba diagnóstica no invasiva que consiste en la obtención de imágenes de alta definición anatómica de la región peneana mediante el empleo de un campo electromagnético y ondas de radio (con un emisor y un receptor). No utiliza radiación ionizante. En ocasiones se deberá emplear contraste paramagnético (Gadolinio) para completar el estudio. Normalmente se realiza para estudiar patología peneana de origen traumático, además de poder visualizar alteraciones de las estructuras adyacentes.
- Musculoskeletal
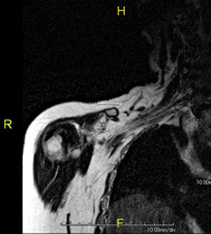
- Shoulder MRI

Examination to study injuries to tendons, muscles and joints. Its main use is to diagnose injuries to the rotator cuff tendons. It lasts approximately 20 minutes. It is a radiation-free procedure.
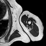
- Arm MRI

Examination to study injuries to tendons, muscles and peripheral nerves. Also useful in the study of tumours. It lasts approximately 20 minutes. It is a radiation-free procedure.
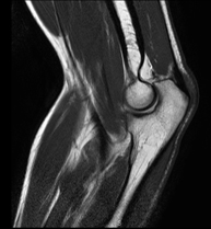
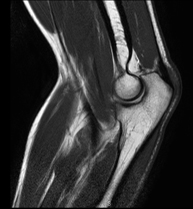
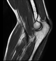
- Elbow MRI

Examination to study injuries to tendons, muscles and joints. Very useful for assessing biceps tendon tears and epicondylitis (tennis elbow). It lasts approximately 20 minutes. It is a radiation-free procedure.
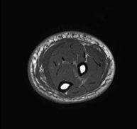
- Forearm MRI

Examination to study injuries to tendons, muscles and peripheral nerves. It lasts approximately 18 minutes. It is a radiation-free procedure.
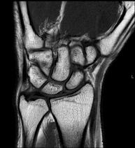
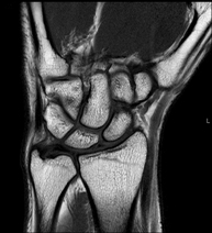
- Wrist / carpus MRI

Examination to study injuries to tendons, muscles and joints. Very useful for assessing minor, otherwise unnoticed fractures, ligament injuries, and inflammatory and degenerative processes (arthritis and osteoarthritis). It lasts approximately 20 minutes. It is a radiation-free procedure.
- Hand / finger MRI

Examination to study injuries to tendons, ligaments and small joints. This test is the best way to diagnose frequent capsulitis caused by trauma, osteoarthritis (arthrosis) and tendon tears. It lasts approximately 20 minutes. It is a radiation-free procedure.
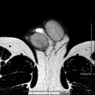
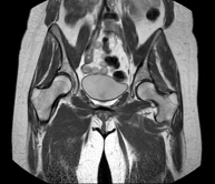
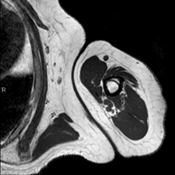
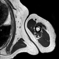
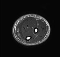
- Hip MRI

Examination for the study of injuries to tendons, muscles and hip joints. Enables early detection of hip osteoarthritis. It is very useful for detecting bursitis and dynamic osteopathy of the pubis, which is common in athletes. It lasts approximately 20 minutes. It is a radiation-free procedure.
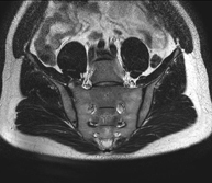
- Sacroiliac MRI

Study specifically designed to assess these joints and their inflammation in patients suffering from ankylosing spondylitis. It is also useful in patients with trauma and possible fractures of the sacrum and coccyx. It lasts approximately 16 minutes. It is a radiation-free procedure.
- Gluteal MRI

Examination to study the muscles and tendons that originate at this level, such as the hamstring tendons, which are frequently injured in athletes. It lasts approximately 16 minutes. It is a radiation-free procedure.
- Thigh MRI

Ideal examination for studying injuries to the hamstrings and quadriceps, which are frequently injured in athletes. It also allows for a good assessment of tendons and peripheral nerves. It lasts approximately 20 minutes. It is a radiation-free procedure.
- Knee MRI

Examination to study joint injuries, such as meniscal tears and cruciate ligament tears (only detectable through this test), chondropathy or cartilage wear, and a multitude of other disorders resulting from sports activities and degenerative changes (osteoarthritis). It lasts approximately 18 minutes. It is a radiation-free procedure.
- Leg MRI

Examination to study injuries to tendons, muscles and peripheral nerves. Very useful for diagnosing fibrillar tears in twins. It lasts approximately 18 minutes. It is a radiation-free procedure.
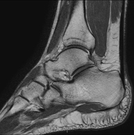
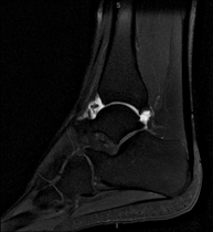
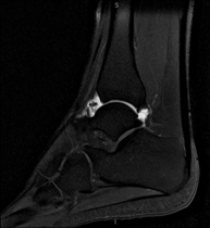
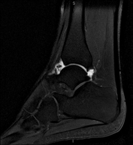
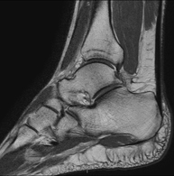
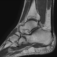
- Ankle MRI

Examination to study the joint and its frequent ligament injuries (sprains) as well as damage to other structures such as cartilage or bone. It is also very useful for diagnosing disorders of the Achilles tendon (tendinitis, ruptures). Duration: approximately 20 minutes. It is a radiation-free procedure.
- Foot MRI

Examination for the study of injuries to tendons, muscles and small joints. Allows for effective assessment of cartilage injuries. It is also very useful for completing the preliminary ultrasound examination. It is a radiation-free procedure. It lasts approximately 20 minutes.
- Shoulder MRI arthrography

Examination to study injuries to small anatomical structures of the joint that are commonly injured in patients suffering from dislocation or chronic instability. Prior to the examination, a contrast fluid is injected into the joint, guided by X-ray imaging. The total duration of the two procedures is 50 minutes.
- Wrist MRI arthrography

Examination to study injuries to small anatomical structures in joints, such as ligaments and cartilage. Prior to the examination, a contrast fluid is injected into a joint, guided by X-ray imaging. The total duration of the two procedures is 50 minutes.
- Hip MRI arthrography

Examination to study injuries to small anatomical structures of the joint that are commonly injured in patients suffering from dislocation or impingement (narrowing space). Prior to the examination, a contrast fluid is injected into the joint, guided by X-ray imaging. The total duration of the two procedures is 50 minutes.
- Knee MRI arthrography
Examination to study injuries to small anatomical structures of the joint, such as cartilage and menisci, mainly following surgery. Prior to the examination, a contrast fluid is injected into the joint, guided by X-ray imaging. The total duration of the two procedures is 50 minutes.
- Ankle MRI arthrography

Examination to study injuries to small anatomical structures of the joint that are commonly injured in patients suffering from dislocation or chronic instability. Prior to the examination, a contrast fluid is injected into the joint, guided by X-ray imaging. The total duration of the two procedures is 50 minutes.
- Spinal column
- Cervical spine MRI

This non-invasive diagnostic procedure uses an electromagnetic field and radio waves (from a transmitter and receiver) to acquire high-definition anatomical images of the cervical spine. It is a radiation-free procedure. Indicated for: trauma, spinal degeneration, hernias.
- Thoracic spine MRI

This non-invasive diagnostic procedure uses an electromagnetic field and radio waves (from a transmitter and receiver) to acquire high-definition anatomical images of the thoracic spine. It is a radiation-free procedure. Indicated for: trauma, degenerative problems, hernias, tumours.
- Lumbar spine MRI

This non-invasive diagnostic procedure uses an electromagnetic field and radio waves (from a transmitter and receiver) to acquire high-definition anatomical images of the lumbar and sacral regions. It is a radiation-free procedure. Indicated for: trauma, sciatica, herniated discs, tumours, infections.
- Sacrum-coccyx MRI

This non-invasive diagnostic procedure uses an electromagnetic field and radio waves (from a transmitter and receiver) to acquire high-definition anatomical images of the sacrum and coccyx. It is a radiation-free procedure. Indicated for: sacrococcygeal pain, trauma.
- Cervical + thoracic spine MRI
This non-invasive diagnostic procedure uses an electromagnetic field and radio waves (from a transmitter and receiver) to acquire high-definition anatomical images of the cervical and thoracic spine. It is a radiation-free procedure. Indicated for: trauma, spinal degeneration, hernias.
- Thoracic + lumbar spine MRI
A non-invasive diagnostic test that involves obtaining high-definition anatomical images of the thoracic and lumbar spine using an electromagnetic field and radio waves (with transmitter and receiver). It is a radiation-free procedure. Indicated for: trauma, spinal degeneration, hernias.
- Complete spine MRI
This non-invasive diagnostic procedure uses an electromagnetic field and radio waves (from a transmitter and receiver) to acquire high-definition anatomical images of the cervical, thoracic and lumbar spine. It is a radiation-free procedure. Indicated for: detection of metastasis, scoliosis, trauma.
- Paediatrics
- Skull MRI

This non-invasive diagnostic procedure uses an electromagnetic field and radio waves (from a transmitter and receiver) to acquire high-definition anatomical images of the skull. It is a radiation-free procedure. Sometimes paramagnetic contrast (gadolinium) must be used to complete the study.
- Neck MRI
This non-invasive diagnostic procedure uses an electromagnetic field and radio waves (from a transmitter and receiver) to acquire high-definition anatomical images of the neck. It is a radiation-free procedure. Sometimes paramagnetic contrast (gadolinium) must be used to complete the study.
- Chest MRI

This non-invasive diagnostic procedure uses an electromagnetic field and radio waves (from a transmitter and receiver) to acquire high-definition anatomical images of the chest. It is a radiation-free procedure. It is indicated for lung lesions in which infiltration of the mediastinum or thoracic wall must be ruled out, to differentiate between solid and cystic chest lesions, etc. Sometimes paramagnetic contrast (gadolinium) must be used to complete the study.
- Abdomen MRI

This non-invasive diagnostic procedure uses an electromagnetic field and radio waves (from a transmitter and receiver) to acquire high-definition anatomical images of the abdomen. It is a radiation-free procedure. This scan includes the liver, pancreas, spleen, bile duct, gallbladder, adrenal glands, kidneys, abdominal aorta, inferior vena cava, stomach, duodenum, etc. Paramagnetic contrast (gadolinium) may sometimes be used to characterise lesions.
- Urinary tract MRI (magnetic resonance urography - MRU)

This non-invasive diagnostic procedure uses an electromagnetic field and radio waves (from a transmitter and receiver) to acquire high-definition anatomical images of the urinary tract. It is a radiation-free procedure. It requires the use of paramagnetic contrast (gadolinium), which is excreted through the urinary system, facilitating 2D and 3D renderings.
- MRI under sedation

This non-invasive diagnostic procedure uses an electromagnetic field and radio waves (from a transmitter and receiver) to acquire high-definition anatomical images of any region of the body. It is a radiation-free procedure. It is performed under sedation with the assistance of an anaesthesia team. It is extremely useful in paediatric patients, who can often be difficult to examine because of artefacts caused by movements (infants, young children, etc., when clinically indicated).
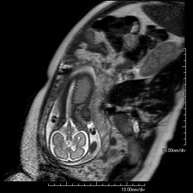
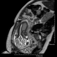
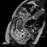
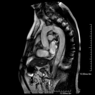
- Foetal MRI

This non-invasive diagnostic procedure uses an electromagnetic field and radio waves (from a transmitter and receiver) to acquire high-definition anatomical images of the foetus in a pregnant woman. It is a radiation-free procedure. It can be performed from week 12 of pregnancy onwards and is safe for both the foetus and the mother. It is used when there is suspicion of some congenital morphological anomaly.
- Muscle MRI

This non-invasive diagnostic procedure uses an electromagnetic field and radio waves (from a transmitter and receiver) to acquire high-definition anatomical images of the muscles being examined. It is a radiation-free procedure. Paramagnetic contrast (gadolinium) is used only rarely to improve lesion clarity.
- Bone and joint MRI

This non-invasive diagnostic procedure uses an electromagnetic field and radio waves (from a transmitter and receiver) to acquire high-definition anatomical images of the bones and joints. It is a radiation-free procedure. Paramagnetic contrast (gadolinium) is used only rarely to improve lesion clarity.
- Breast screening
- Breast MRI

This non-invasive diagnostic procedure uses an electromagnetic field and radio waves (from a transmitter and receiver) to acquire high-definition anatomical images of the breasts. It is a radiation-free procedure. No prior preparation is required. In most cases, it requires the use of paramagnetic contrast (gadolinium), especially if the indication is suspected or confirmed breast cancer. This test is also recommended for patients with breast implants, either as part of follow-up care to rule out complications associated with the implants or to rule out suspected neoplasia. In prosthetic studies, MRI has high sensitivity and specificity in detecting silicone (specific sequences are applied that only detect areas with silicone) in order to diagnose the presence of both intra- and extracapsular ruptures with the highest possible reliability.
- Heart
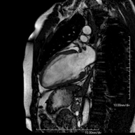
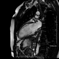
- Coronary MRI

This non-invasive diagnostic test yields morphological and functional information about the heart and adjacent structures. In this way, different congenital and acquired pathologies can be diagnosed, or checks can be carried out on patients with previously known pathologies. In the vast majority of cases, intravenous contrast (gadolinium) is required to complete the study. This type of contrast rarely causes adverse reactions. During the test, the technician will ask the patient to hold their breath several times for 10–15 seconds to obtain the clearest images possible. No prior preparation is required by the patient. The test lasts approximately 45–60 minutes. It is not recommended for patients with pacemakers. Patients should nevertheless inform the doctor if they have metal implants and/or surgical clips.
- Stress cardiac MRI

This non-invasive diagnostic test yields morphological and functional information about the heart and adjacent structures. These tests can be used to diagnose various congenital and acquired conditions. During the test, the technician will ask the patient to hold their breath several times for 10-15 seconds to obtain the clearest images possible. In the vast majority of cases, intravenous contrast (gadolinium) is required to complete the study. This type of contrast rarely causes adverse reactions. In addition, a drug (adenosine) is administered intravenously to exert an effect on the heart similar to that produced during physical exercise. The images obtained at rest and after pharmacological ‘stress’ are compared to detect deficits in blood supply to the left ventricle of the heart. The test lasts approximately 45–60 minutes. The patient must not consume any foods containing caffeine (coffee, tea, chocolate, cola drinks, etc.) 24 hours before the test. It is not recommended for patients with pacemakers. Patients should nevertheless inform the doctor if they have metal implants and/or surgical clips.
- Pulmonary vein MRI angiography

A non-invasive diagnostic test that involves studying the drainage pattern of the pulmonary veins using an electromagnetic field and radio waves (with a transmitter and receiver) and paramagnetic contrast (gadolinium). It is a radiation-free procedure. It is indicated as a preliminary angiographic map in patients who are going to undergo pulmonary vein ablation, as well as in follow-up to rule out the appearance of stenosis.
- Vascular studies
- Intracranial MRI angiography

This non-invasive diagnostic procedure uses an electromagnetic field and radio waves (from a transmitter and receiver) to acquire high-definition anatomical images of the cerebral arteries. It is a radiation-free procedure. In most cases, paramagnetic contrast (gadolinium) is required. It enables non-invasive angiographic studies using a gadolinium injection, with subsequent 2D and 3D reconstruction using specialised workstations. Indicated for: Vascular malformations, cerebral artery aneurysms, arteriosclerosis.
- Angio-RM Troncos supraaórticos
Prueba diagnóstica no invasiva que consiste en la obtención de imágenes de alta definición anatómica de las arterias carótidas y vertebrales a nivel de cuello, mediante el empleo de un campo electromagnético y ondas de radio (con un emisor y un receptor). No utiliza radiación ionizante. En la mayoría de los casos es necesario el empleo de contraste paramagnético (Gadolinio). Permite un estudio angiográfico no invasivo gracias a la inyección de Gadolinio con posterior reconstrucción en 2D y 3D, gracias a estaciones de trabajo especializadas. Indicaciones: Problemas circulatorios cerebrales, síncope.
- Angio-RM Aorta Torácica
Prueba diagnóstica no invasiva que consiste en la obtención de imágenes de alta definición anatómica de la aorta torácica (principal arteria del tórax) mediante el empleo de un campo electromagnético y ondas de radio (con un emisor y un receptor). No utiliza radiación ionizante. En la mayoría de los casos es necesario el empleo de contraste paramagnético (Gadolinio). Permite un estudio estudio angiográfico no invasivo gracias a la inyección de Gadolinio con posterior reconstrucción en 2D y 3D, gracias a estaciones de trabajo especializadas. También incluye es estudio de la válvula aórtica, información impresecindible en el caso que el paciente necesite cirugía. Esta prueba está especialmente indicada en pacientes que requieren tratamiento quirúrgico ( como mapa vascular pre-quirúrgico), en el seguimiento de pacientes con aneurismas de aorta, etc. - Angio-RM Aorta Abdominal
Prueba diagnóstica no invasiva que consiste en el estudio de la arteria aorta abdominal, obteniendo imágenes de alta definición anatómica mediante el empleo de un campo electromagnético y ondas de radio (con un emisor y un receptor). Es indispensable el uso de contraste intravenoso paramagnético (gadolinio). Sin embargo, no utiliza radiación ionizante. La calidad de las imágenes permite realizar reconstrucciones en 2D y 3D. Está indicado en aquellos pacientes con enfermedad vascular (aterosclerosis), estudio de aneurismas, en estudios pre-quirúrgicos de lesiones adyacentes a la aorta abdominal como "mapa" vascular… - Angio-RM Aorta iliaca
Prueba diagnóstica no invasiva que consiste en el estudio de la arteria aorta abdominal, obteniendo imágenes de alta definición anatómica mediante el empleo de un campo electromagnético y ondas de radio (con un emisor y un receptor). Es indispensable el uso de contraste intravenoso paramagnético (gadolinio). Sin embargo, no utiliza radiación ionizante. La calidad de las imágenes permite realizar reconstrucciones en 2D y 3D. Esta prueba está especialmente indicada como estudio pre-quirúrgico (mapa vascular) antes de intervenciones percutáneas o quirúrgicas de aorta abdominal, estudio complementario en pacientes con isquemia de miembros inferiores… - Angio-RM Arterias renales
Prueba diagnóstica no invasiva que consiste en el estudio de la arteria aorta abdominal, obteniendo imágenes de alta definición anatómica mediante el empleo de un campo electromagnético y ondas de radio (con un emisor y un receptor). Es indispensable el uso de contraste intravenoso paramagnético (gadolinio). Sin embargo, no utiliza radiación ionizante. La calidad de las imágenes permite realizar reconstrucciones en 2D y 3D. Esta prueba está indicada por ejemplo en aquellos pacientes que sufren de HTA refractaria al tratamiento, en pacientes con lesiones renales para tener un mapa "vascular" pre-quirúrgico… - Angio-RM Arterial extremidades inferiores
Prueba diagnóstica no invasiva que consiste en el estudio de la arteria aorta abdominal, obteniendo imágenes de alta definición anatómica mediante el empleo de un campo electromagnético y ondas de radio (con un emisor y un receptor). Es indispensable el uso de contraste intravenoso paramagnético (gadolinio). Sin embargo, no utiliza radiación ionizante. La calidad de las imágenes permite realizar reconstrucciones en 2D y 3D. Está especialmente indicado en aquellos pacientes en los que hay sospecha de enfermedad vascular de ambas extremidades, en pacientes con enfermedad vascular de ambas extremidades como mapa vascular antes del tratamiento (percutáneo o quirúrgico), como mapa vascular pre-quirúrgico en pacientes con lesiones óseas o musculares que requieran cirugía… - Angio-RM Lesión partes blandas
Prueba diagnóstica no invasiva que consiste en el estudio de la vascularización de cualquier lesión de partes blandas (piel, músculo, tendón,etc.) obteniendo imágenes de alta definición anatómica mediante el empleo de un campo electromagnético y ondas de radio (con un emisor y un receptor). Es indispensable el uso de contraste intravenoso paramagnético (gadolinio). Sin embargo, no utiliza radiación ionizante. La calidad de las imágenes permite realizar reconstrucciones en 2D y 3D. Está especialmente indicado como mapa vascular pre-quirúrgico en pacientes con lesiones musculares, cutáneas, subcutáneas, etc. - Angio-RM venas pulmonares
Prueba diagnóstica no invasiva que consiste en el estudio del patrón de drenaje de las venas pulmonares mediante el empleo de un campo electromagnético y ondas de radio (con un emisor y un receptor) y de contraste paramagnético (Gadolinio). No utiliza radiación ionizante. Está indicada como mapa angiográfico previo en pacientes que van a ser sometidos a ablación de las venas pulmonares, así como en su seguimiento para descartar la aparición de estenosis. - Angio-RM extremidades superiores
Prueba diagnóstica no invasiva que consiste en el estudio de las arterias de la cintura escapular, brazo, antebrazo y mano obteniendo imágenes de alta definición anatómica mediante el empleo de un campo electromagnético y ondas de radio (con un emisor y un receptor). Es indispensable el uso de contraste intravenoso paramagnético (gadolinio). Sin embargo, no utiliza radiación ionizante. La calidad de las imágenes permite realizar reconstrucciones en 2D y 3D. Está especialmente indicado en aquellos pacientes en los que hay sospecha de enfermedad vascular de ambas extremidades, en pacientes con enfermedad vascular de ambas extremidades como mapa vascular antes del tratamiento (percutáneo o quirúrgico), como mapa vascular pre-quirúrgico en pacientes con lesiones óseas o musculares que requieran cirugía…

































