Ressonància Magnètica
La Ressonància Magnètica és una prova diagnòstica no invasiva (i que no utilitza raigs X) que consisteix en l’obtenció d’imatges d’alta definició anatòmica en base a la ressonància que es produeix en els teixits sotmesos a un camp magnètic. És la tècnica d’imatge que proporciona una major diferenciació entre els diferents teixits de l’organisme, i que permet obtenir informació molt precisa sobre l’estructura i la composició de l’òrgan que s’ha d’analitzar.
- Hospital Quirón Teknon compta amb la primera Ressonància Magnètica Oberta d'Alt Camp a Catalunya. Així mateix, també permet realitzar l'exploració, no solament amb el pacient estirat, sinó amb les articulacions flexionades i en moviment.
- Neuroradiologia
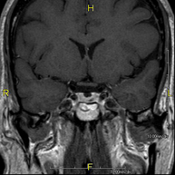
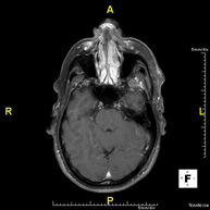
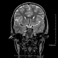
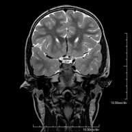
- RM Cerebral (cranial)
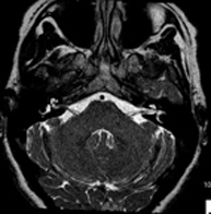
Prova diagnòstica no invasiva que consisteix en l'obtenció d'imatges d'alta definició anatòmica del cerbell mitjançant l'ús d'un camp electromagnètic i ones de ràdio (com un emissor i un receptor). No utilitza radiació ionitzant. Indicacions: problemes vasculars, pèrdua de memòria, epilèpsia, cefalea, malformacions, sospita de tumor, meningitis. - RM de Cais
Prova diagnòstica no invasiva que consisteix en l'obtenció d'imatges d'alta definició anatòmica de l'oïda interna mitjançant l'ús d'un camp electromagnètic i ones de ràdio (com un emissor i un receptor). No utilitza radiació ionitzant. Indicacions: problemes auditius, mareigs, vertigen. - RM de Coll
Prova diagnòstica no invasiva que consisteix en l'obtenció d'imatges d'alta definició anatòmica del coll mitjançant l'ús d'un camp electromagnètic i ones de ràdio (com un emissor i un receptor). No utilitza radiació ionitzant. Indicacions: sospita de tumor, infeccions, ganglis. - Angio-RM intracranial
Prova diagnòstica no invasiva que consisteix en l'obtenció d'imatges d'alta definició anatòmica de les artèries cerebrals mitjançant l'ús d'un camp electromagnètic i ones de ràdio (com un emissor i un receptor). No utilitza radiació ionitzant. En la majoria dels casos és necessari l'us de contrast paramagnètic (Gadolino). Permet un estudi angiogràfic no invasiu gràcies a la injecció de Gadolino amb una reconstrucció posterior en 2D i 3D gràcies a estacions de treball especialitzades. Indicacions: malformacions vasculars, aneurismes d'artèries cerebrals, arteriosclerosi. - Angio-RM de troncs supraaòrtics
Prova diagnòstica no invasiva que consisteix en l'obtenció d'imatges d'alta definició anatòmica de les artèries caròtides i vertrebrals a nivell de coll mitjançant l'ús d'un camp electromagnètic i ones de ràdio (com un emissor i un receptor). No utilitza radiació ionitzant. En la majoria dels casos és necessari l'us de contrast paramagnètic (Gadolino). Permet un estudi angiogràfic no invasiu gràcies a la injecció de Gadolino amb una reconstrucció posterior en 2D i 3D gràcies a estacions de treball especialitzades. Indicacions: problemes circulatoris cerebrals, síncope. - RM espectroscòpia cerebral
Prova diagnòstica no invasiva que consisteix en l'obtenció d'imatges d'alta definició anatòmica del cervell mitjançant l'ús d'un camp electromagnètic i ones de ràdio (com un emissor i un receptor). No utilitza radiació ionitzant. Posteriorment es realitza una mesura qualitativa i quantitativa de diversos metabòlits (substàncies) que permetran caracteritzar les lesions. Indicacions: tumors, trastorns metabòlics, infeccions, epilèpsia.
- RM d'estudi de flux LCR
Prova diagnòstica no invasiva que consisteix en l'obtenció d'imatges d'alta definició anatòmica del sistema ventricular cerebral mitjançant l'ús d'un camp electromagnètic i ones de ràdio (com un emissor i un receptor). No utilitza radiació ionitzant. Indicacions: estudi d'hidrocefalea i estenosi de l'aqüeducte encefàlic.
- RM de columna cervical
Prova diagnòstica no invasiva que consisteix en l'obtenció d'imatges d'alta definició anatòmica de la columna cervical mitjançant l'ús d'un camp electromagnètic i ones de ràdio (com un emissor i un receptor). No utilitza radiació ionitzant. Indicacions: traumatisme, degeneració de la columna, hèrnies. - RM de columna dorsal
Prova diagnòstica no invasiva que consisteix en l'obtenció d'imatges d'alta definició anatòmica de la columna dorsal mitjançant l'ús d'un camp electromagnètic i ones de ràdio (com un emissor i un receptor). No utilitza radiació ionitzant. Indicacions: traumatisme, problemes degeneratius, hèrnies, tumors. - RM de Columna lumbar
Prova diagnòstica no invasiva que consisteix en l'obtenció d'imatges d'alta definició anatòmica de la columna lumbar i sacre mitjançant l'ús d'un camp electromagnètic i ones de ràdio (amb un emissor i un receptor). No utilitza radiació ionitzant. Indicacions: traumatismes, ciàtica, hèrnies discals, tumors, infeccions - RM Mielografia
Prova diagnòstica no invasiva que consisteix en l'obtenció d'imatges d'alta definició anatòmica de la medul·la espinal i les arrels nervioses mitjançant l'ús d'un camp electromagnètic i ones de ràdio (amb un emissor i un receptor), així com seqüències d'estudi especials (mielogràfiques). No utilitza radiació ionitzant. Indicacions: hèrnies, compressions medul·lars. - RM de Plexe braquial
Prova diagnòstica no invasiva que consisteix en l'obtenció d'imatges d'alta definició anatòmica dels nervis que conformen el plexe del braç mitjançant l'ús d'un camp electromagnètic i ones de ràdio (amb un emissor i un receptor). No utilitza radiació ionitzant. Indicacions: estudi de la paràlisi d'extremitats superiors per a planificació quirúrgica, lesions tumorals. - RM Columna cervical + dorsal
Prova diagnòstica no invasiva que consisteix en l'obtenció d'imatges d'alta definició anatòmica de la columna cervical i dorsal mitjançant l'ús d'un camp electromagnètic i ones de ràdio (amb un emissor i un receptor). No utilitza radiació ionitzant. Indicacions: traumatisme, degeneració de la columna, hèrnies. - RM Columna dorsal + lumbar
Prova diagnòstica no invasiva que consisteix en l'obtenció d'imatges d'alta definició anatòmica de la columna dorsal i lumbar mitjançant l'ús d'un camp electromagnètic i ones de ràdio (amb un emissor i un receptor). No utilitza radiació ionitzant. Indicacions: traumatisme, degeneració de la columna, hèrnies. - RM Columna completa
Prova diagnòstica no invasiva que consisteix en l'obtenció d'imatges d'alta definició anatòmica de la columna cervical, dorsal i lumbar mitjançant l'ús d'un camp electromagnètic i ones de ràdio (amb un emissor i un receptor). No utilitza radiació ionitzant. Indicacions: detecció de metàstasi, escoliosi, traumatisme.
- RM de Sacroilíaques
Prova diagnòstica no invasiva que consisteix en l'obtenció d'imatges d'alta definició anatòmica de les articulacions sacroilíaques mitjançant l'ús d'un camp electromagnètic i ones de ràdio (amb un emissor i un receptor). No utilitza radiació ionitzant. Indicacions: dolor sacroilíac inflamatori. - RM ATM (Articulació temporo-mandibular)
Prova diagnòstica no invasiva que consisteix en l'obtenció d'imatges d'alta definició anatòmica de les articulacions temporo-mandibulars mitjançant l'ús d'un camp electromagnètic i ones de ràdio (amb un emissor i un receptor). No utilitza radiació ionitzant. Es realitza un estudi funcional de les ATM, en les diferents fases d'obertura i tancament de la boca. Indicacions: dolor, bloqueig de l'articulació i sorolls en mastegar. - RM d'Òrbites
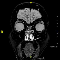
Prova diagnòstica no invasiva que consisteix en l'obtenció d'imatges d'alta definició anatòmica de les òrbites mitjançant l'ús d'un camp electromagnètic i ones de ràdio (amb un emissor i un receptor). No utilitza radiació ionitzant. Indicacions: visió doble, traumatisme, sospita de tumor, hipertiroïdisme. - RM d'Hipòfisi
Prova diagnòstica no invasiva que consisteix en l'obtenció d'imatges d'alta definició anatòmica de la hipòfisi cerebral mitjançant l'ús d'un camp electromagnètic i ones de ràdio (amb un emissor i un receptor). No utilitza radiació ionitzant. Indicacions: trastorn del creixement, trastorns hormonals, tumors. - RM de Sins paranasals
Prova diagnòstica no invasiva que consisteix en l'obtenció d'imatges d'alta definició anatòmica dels sins paranasals mitjançant l'ús d'un camp electromagnètic i ones de ràdio (amb un emissor i un receptor). No utilitza radiació ionitzant. Indicacions: estudi de tumors.
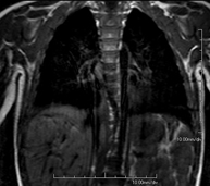
- Tòrax
- RM del Mediastí
Prova diagnòstica no invasiva que consisteix en l'obtenció d'imatges d'alta definició anatòmica del mediastí mitjançant l'ús d'un camp electromagnètic i ones de ràdio (amb un emissor i un receptor). No utilitza radiació ionitzant. El mediastí és la part central de la caixa toràcica que inclou el tim, els grans vasos (aorta toràcica, vena cava inferior i superior, etc.), el cor, la tràquea i els bronquis principals, els ganglis limfàtics mediastínics i hilars, l'esòfag, etc. Està especialment indicada en lesions mediastíniques per diferenciar si són quístiques o sòlides, en el diagnòstic diferencial de les lesions del mediastí anterior, etc. De vegades s'ha d'emprar contrast paramagnètic (Gadolini) per completar l'estudi. - RM Tòrax
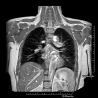
Prova diagnòstica no invasiva que consisteix en l'obtenció d'imatges d'alta definició anatòmica del tòrax mitjançant l'ús d'un camp electromagnètic i ones de ràdio (amb un emissor i un receptor). No utilitza radiació ionitzant. Està indicada en aquelles lesions pulmonars en les quals s'ha de descartar si hi ha infiltració del mediastí o de la paret toràcica, per diferenciar si una lesió toràcica és sòlida o quística, etc. En alguns casos caldrà emprar contrast paramagnètic (Gadolini) per completar l'estudi. - RM de Paret Toràcica
Prova diagnòstica no invasiva que consisteix en l'obtenció d'imatges d'alta definició anatòmica de la paret toràcica mitjançant l'ús d'un camp electromagnètic i ones de ràdio (amb un emissor i un receptor). No utilitza radiació ionitzant. Està indicada en l'estudi de lesions de paret toràcica: costals, esternals, musculars (pectorals, intercostals, paravertebrals, etc.), en l'estudi de dolors costals, etc. En alguns casos caldrà emprar contrast paramagnètic (Gadolini) per completar l'estudi. - Angio-RM d'Aorta Toràcica
Prova diagnòstica no invasiva que consisteix en l'obtenció d'imatges d'alta definició anatòmica de l'aorta toràcica (principal artèria del tòrax) mitjançant l'ús d'un camp electromagnètic i ones de ràdio (amb un emissor i un receptor). No utilitza radiació ionitzant. En la majoria dels casos és necessari l'ús de contrast paramagnètic (Gadolini). Permet un estudi angiogràfic no invasiu gràcies a la injecció de Gadolini amb posterior reconstrucció en 2D i 3D, gràcies a estacions de treball especialitzades. També inclou un estudi de la vàlvula aòrtica, informació imprescindible en cas que el pacient necessiti cirurgia. Aquesta prova està especialment indicada en pacients que requereixen tractament quirúrgic (com a mapa vascular pre-quirúrgic), en el seguiment de pacients amb aneurismes d'aorta, etc. - RM Cardíaca
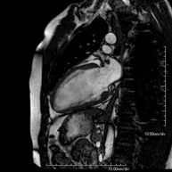
És una prova diagnòstica no invasiva que obté informació morfològica i funcional del cor i les estructures adjacents. D'aquesta manera es poden diagnosticar diferents patologies congènites i adquirides, o bé realitzar controls en pacients amb patologia prèvia ja coneguda. En la gran majoria de casos és necessari l'ús de contrast intravenós (Gadolini) per completar l'estudi, un tipus de contrast que rarament produeix reaccions adverses. Durant la prova el tècnic li demanarà diverses vegades que aguanti la respiració durant 10-15 segons per obtenir les imatges tant clares sigui possible. No es necessita preparació prèvia per part del pacient. La durada de la prova és de 45 – 60 aproximadament. Està contraindicada en pacients amb marcapassos. El pacient haurà d'avisar en cas que porti implants metàl·lics i/o clips quirúrgics. - RM cardíaca amb estrès miocardi
És una prova diagnòstica no invasiva que obté informació morfològica i funcional del cor i de les estructures adjacents. D'aquesta manera es poden diagnosticar diferents patologies congènites i adquirides. Durant la prova el tècnic li demanarà diverses vegades que aguanti la respiració durant 10-15 segons per poder obtenir les imatges tant clares com sigui possible. En la gran majoria de casos és necessari l'ús de contrast intravenós (Gadolini) per completar l'estudi, un tipus de contrast que rarament produeix reaccions adverses. A més a més, s'introdueix un fàrmac (Adenosina), per via intravenosa, per exercir sobre el cor un efecte similar al que es produeix durant l'exercici físic. Es comparen les imatges obtingudes en repòs i després de "l'estrès" farmacològic per detectar dèficits d'aportació sanguini al ventricle esquerre del cor. La durada de la prova és de 45-60 minuts aproximadament. Cal que durant les 24 hores prèvies a la prova no prengui aliments que continguin cafeïna (cafè, té, xocolata, begudes de cola, etc.). Està contraindicada en pacients amb marcapassos. El pacient haurà d'avisar en cas que porti implants metàl·lics i/o clips quirúrgics. - Angio RM de Venes pulmonars
Prova diagnòstica no invasiva que consisteix en l'estudi del patró de drenatge de les venes pulmonars mitjançant l'ús d'un camp electromagnètic i ones de ràdio (amb un emissor i un receptor) i de contrast paramagnètic (Gadolini). No utilitza radiació ionitzant. Està indicada com a mapa angiogràfic previ en pacients que seran sotmesos a ablació de les venes pulmonars, així com en el seu seguiment per descartar l'aparició d'estenosi. - RM de Mames
Prova diagnòstica no invasiva que consisteix en l'obtenció d'imatges d'alta definició anatòmica de les mames mitjançant l'ús d'un camp electromagnètic i ones de ràdio (amb un emissor i un receptor). No utilitza radiació ionitzant. No requereix cap preparació prèvia. En la majoria de casos es necessita l'ús de contrast paramagnètic (Gadolini), sobretot si la indicació és la sospita o estudi d'una neoplàsia mamària. Aquesta prova també està indicada per a l'estudi de pacients amb pròtesis mamàries, ja sigui per seguiment, per descartar complicacions associades a la pròtesi o per descartar la sospita de neoplàsia. En l'estudi de pròtesis, la RM presenta una alta sensibilitat i especificitat en la detecció de silicona (s'apliquen seqüències específiques que només detecten les àrees amb silicona) per tal de poder diagnosticar amb la màxima fiabilitat possible la presència de trencament tant intra com extra-capsular. - RM de l'estern
Prova diagnòstica no invasiva que consisteix en l'obtenció d'imatges d'alta definició anatòmica de l'estern mitjançant l'ús d'un camp electromagnètic i ones de ràdio (amb un emissor i un receptor). No utilitza radiació ionitzant. Està indicada per diferenciar lesions benignes i malignes en pacients amb dolor en les articulacions esternocostals, entre d'altres. En alguns casos caldrà emprar contrast paramagnètic (Gadolini) per completar l'estudi. - RM Axil·lar
Prova diagnòstica no invasiva que consisteix en l'obtenció d'imatges d'alta definició anatòmica de l'axil·la mitjançant l'ús d'un camp electromagnètic i ones de ràdio (amb un emissor i un receptor). No utilitza radiació ionitzant. Està indicada per a l'estudi de ganglis axil·lars, per diferenciar lesions quístiques de contingut hemorràgic (hematomes post-quirúrgics), sòlides, etc. En alguns casos caldrà emprar contrast paramagnètic (Gadolini) per completar l'estudi.
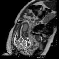
- Abdomen i pelvis
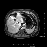
- RM d'Abdomen
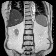
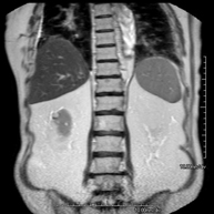
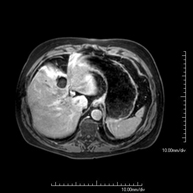
Prova diagnòstica no invasiva que consisteix en l'obtenció d'imatges d'alta definició anatòmica de l'abdomen mitjançant l'ús d'un camp electromagnètic i ones de ràdio (amb un emissor i un receptor). No utilitza radiació ionitzant. En aquesta exploració s'inclouen el fetge, el pàncrees, la melsa, la via biliar, la vesícula biliar, les glàndules suprarenals, els ronyons, l'aorta abdominal, la vena cava inferior, l'estómac, el duodè, etc. En alguns casos caldrà emprar contrast paramagnètic (Gadolini) per caracteritzar les lesions. - RM Pelvis femenina
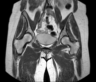
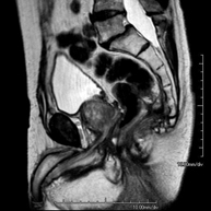
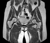
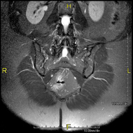
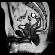
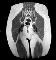
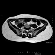
Prova diagnòstica no invasiva que consisteix en l'obtenció d'imatges d'alta definició anatòmica de la pelvis mitjançant l'ús d'un camp electromagnètic i ones de ràdio (amb un emissor i un receptor). No utilitza radiació ionitzant. Es realitza per a l'estudi de patologies d'úter, d'ovari, de trompes i de vagina, ja siguin d'origen tumoral, inflamatori o vascular. També permet valorar les estructures adjacents localitzades a la pelvis i la identificació de les seves alteracions. De vegades és necessari l'ús de contrast intravenós (Gadolini) per caracteritzar les lesions. - RM Pelvis masculina
Prova diagnòstica no invasiva que consisteix en l'obtenció d'imatges d'alta definició anatòmica de la pelvis masculina mitjançant l'ús d'un camp electromagnètic i ones de ràdio (amb un emissor i un receptor). No utilitza radiació ionitzant. No requereix preparació prèvia. En algunes ocasions necessita l'ús de contrast paramagnètic (Gadolini) per caracteritzar les lesions. Aquesta prova permet valorar òrgans com la bufeta urinària, la unió entre els urèters i la bufeta, la pròstata, les vesícules seminals, la uretra i els ossos de la pelvis, entre d'altres. - RM de Fetge
Prova diagnòstica no invasiva que consisteix en l'obtenció d'imatges d'alta definició anatòmica del fetge mitjançant l'ús d'un camp electromagnètic i ones de ràdio (amb un emissor i un receptor). No utilitza radiació ionitzant. Es realitza per estudiar qualsevol lesió localitzada en el fetge. Normalment es requereix l'ús de contrast paramagnètic (Gadolini) per caracteritzar les lesions. És necessari realitzat la prova en dejú (6 hores). - RM de Ronyons
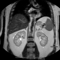
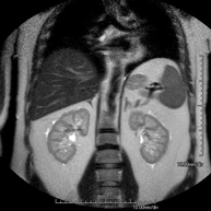
Prova diagnòstica no invasiva que consisteix en l'obtenció d'imatges d'alta definició anatòmica d'ambdós ronyons mitjançant l'ús d'un camp electromagnètic i ones de ràdio (amb un emissor i un receptor). No utilitza radiació ionitzant. Es realitza per estudiar qualsevol lesió localitzada en ambdós ronyons. Normalment es requereix l'ús de contrast paramagnètic (Gadolini) per caracteritzar les lesions. - RM de Glàndules Suprarenals
Prova diagnòstica no invasiva que consisteix en l'obtenció d'imatges d'alta definició anatòmica de les dues glàndules suprarenals mitjançant l'ús d'un camp electromagnètic i ones de ràdio (amb un emissor i un receptor). No utilitza radiació ionitzant. No necessita preparació prèvia. No requereix l'ús de contrast paramagnètic (Gadolini). Està especialment indicada en aquells pacients en els quals és imprescindible diferenciar el nòdul suprarenal benigne (l'adenoma suprarenal és el més freqüent) d'altres lesions suprarenals (tant benignes -hematomes, angiomiolipomas, etc.- com malignes). - RM de Melsa
Prova diagnòstica no invasiva que consisteix en l'obtenció d'imatges d'alta definició anatòmica de la melsa mitjançant l'ús d'un camp electromagnètic i ones de ràdio (amb un emissor i un receptor). No utilitza radiació ionitzant. Es realitza per a l'estudi de qualsevol lesió dependent de la melsa. Normalment requereix l'ús de contrast paramagnètic (Gadolini) per caracteritzar les lesions. - Colangio-RM (RM de vesícula i via biliar)
Prova diagnòstica no invasiva que consisteix en l'obtenció d'imatges d'alta definició anatòmica de la via biliar i de la vesícula biliar mitjançant l'ús d'un camp electromagnètic i ones de ràdio (amb un emissor i un receptor). No utilitza radiació ionitzant. És necessari realitzar un dejuni de 6 hores prèvies ja que, si no s'ha ingerit res, la bilis acumulada a la vesícula i a l'arbre biliar ens permetrà una millor definició anatòmica. Requereix l'obtenció de seqüències de Colangio-RM, que consisteixen en l'obtenció d'imatges de gruix molt fi (1 mm) i permet realitzar reconstruccions bidimensionals i tridimensionals sense la utilització de contrast paramagnètic (Gadolini). En algunes ocasions necessita l'ús de contrast paramagnètric (Gadolini) per caracteritzar les lesions. Està especialment indicada en pacients amb sospita de pedres a la vesícula, amb pedres a la vesícula amb sospita de desplaçament d'una de les pedres pels conductes biliars cap a l'intestí, pacients amb símptomes d'obstrucció de la via biliar, com a estudi pre-quirúrgic (mapa anatòmic de l'arbre biliar) abans de la cirurgia de la vesícula biliar, pacients amb dolor abdominal de probable origen biliar, etc. - Colangio-pancreàtic-RM (RM de Pàncrees, vesícula i via biliar)
Prova diagnòstica no invasiva que consisteix en l'obtenció d'imatges d'alta definició anatòmica dels conductes de drenatge pancreàtic (principalment el conducte de Wirsung), de la via biliar i de la vesícula biliar mitjançant l'ús d'un camp electromagnètic i ones de ràdio (amb un emissor i un receptor). No utilitza radiació ionitzant. És necessari 6 hores prèvies de dejuni ja que, si no s'ha ingerit res, la bilis i els sucs pancreàtics s'acumulen i permeten una millor definició anatòmica d'aquests. En algunes ocasions es requereix l'ús de contrast paramagnètric (Gadolini) per caracteritzar les lesions. Està especialment indicada en pacients amb sospita de pedres al conducte de drenatge de la via biliar o colèdoc, de malaltia a nivell de la unió dels conductes biliars i els pancreàtics, en pacients amb pancreatitis de repetició, dolor abdominal amb probable origen biliar o pancreàtic, com a estudi anatòmic pre-quirúrgic, etc. - RM de Pàncrees
Prova diagnòstica no invasiva que consisteix en l'obtenció d'imatges d'alta definició anatòmica del pàncrees mitjançant l'ús d'un camp electromagnètic i ones de ràdio (amb un emissor i un receptor). No utilitza radiació ionitzant. Requereix dejuni de 6 hores. Permet un estudi específic pancreàtic, tant de la part glandular com dels conductes de drenatge dels sucs pancreàtics, amb una alta definició tissular. També s'estudien els vasos pancreàtics i les estructures adjacents com són la vena porta, l'artèria i la vena esplènica, el greix peri-pancreàtic, l'aorta abdominal, la vena cava inferior, etc. En la majoria dels casos s'empra contrast paramagnètic (Gadolini) per a una millor definició tissular. Aquesta prova està especialment indicada en pacients amb sospita de lesions pancreàtiques, en pacients amb neoplàsia pancreàtica coneguda com l'estudi o mapa abans de la cirurgia, en pacients amb pancreatitis crònica o aguda, etc. - URO-RM
Prova diagnòstica no invasiva que consisteix en l'obtenció d'imatges d'alta definició anatòmica del sistema urinari mitjançant l'ús d'un camp electromagnètic i ones de ràdio (amb un emissor i un receptor). No utilitza radiació ionitzant. Cal utilitzar contrast paramagnètic (Gadolini) que s'expel·lirà a través del sistema urinari i ens permetrà obtenir imatges en 2D i 3D. - RM de Pròstata
Prova diagnòstica no invasiva que consisteix en l'obtenció d'imatges d'alta definició anatòmica de la glàndula prostàtica mitjançant l'ús d'un camp electromagnètic i ones de ràdio (amb un emissor i un receptor). No utilitza radiació ionitzant. S'utilitza una bobina endorectal per obtenir imatges de màxima definició anatòmica de la pròstata i permetre fer l'estudi espectroscòpic (estudi a nivell molecular que ajuda a diferenciar les cèl·lules d'origen maligne o tumoral). També es realitza l'estudi amb contrast paramagnètic, que aporta una millor definició tissular. Aquesta prova dura uns 40 minuts, durant els quals el pacient haurà d'estar el més quiet possible. Requereix una neteja del còlon com a preparació prèvia. Aquesta prova està especialment indicada en aquells pacients amb sospita de neoplàsia de pròstata, amb neoplàsia de pròstata coneguda per l'estadiatge tumoral, per a l'estudi de localització del tumor prostàtic com a guia o mapa per a la biòpsia, per al seguiment dels pacients amb neoplàsia de pròstata tractats amb tractament quirúrgic o radioteràpic, davant d'una sospita de reincidència de la neoplàsia de pròstata, etc. - RM de Cos sencer (Total body)
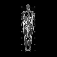
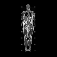
Prova diagnòstica no invasiva que consisteix en l'obtenció d'imatges d'alta definició anatòmica de tot el cos mitjançant l'ús d'un camp electromagnètic i ones de ràdio (amb un emissor i un receptor). No utilitza radiació ionitzant. És una prova molt important en la recerca de metàstasi en pacients amb neoplàsia coneguda. No requereix preparació prèvia. No és necessari l'ús de contrast paramagnètic (Gadolini). - Angio-RM d'Aorta abdominal
Prova diagnòstica no invasiva que consisteix en l'obtenció d'imatges d'alta definició anatòmica de tot el cos mitjançant l'ús d'un camp electromagnètic i ones de ràdio (amb un emissor i un receptor). No utilitza radiació ionitzant. És una prova molt important en la recerca de metàstasi en pacients amb neoplàsia coneguda. No requereix preparació prèvia. No és necessari l'ús de contrast paramagnètic (Gadolini). - Angio RM d'Aorta-ilíaca
Prova diagnòstica no invasiva que consisteix en l'estudi de l'artèria aorta abdominal i de les artèries ilíaques, amb l'obtenció d'imatges d'alta definició anatòmica mitjançant l'ús d'un camp electromagnètic i ones de ràdio (amb un emissor i un receptor). És indispensable l'ús de contrast paramagnètic (Gadolini). No utilitza radiació ionitzant. La qualitat de les imatges permet realitzar reconstruccions en 2D i 3D. Aquesta prova està especialment indicada com a estudi prequirúrgic (mapa vascular) abans d'intervencions percutànies o quirúrgiques d'aorta abdominal i artèries ilíaques, per a l'estudi complementari en pacients amb isquèmia de membres inferiors, etc. - Angio RM Arterial d'extremitats inferiors
Prova diagnòstica no invasiva que consisteix en l'estudi vascular del sector aorto-ilíac i dels vasos arterials de les dues extremitats inferiors, am l'obtenció d'imatges d'alta definició anatòmica mitjançant l'ús d'un camp electromagnètic i ones de ràdio (amb un emissor i un receptor). És indispensable l'ús de contrast paramagnètic (Gadolini). No obstant, no utilitza radiació ionitzant. La qualitat de les imatges permet realitzar reconstruccions en 2D i 3D. Està especialment indicat en aquells pacients en els que hi ha sospita de malaltia vascular a les dues extremitats, en pacients amb malaltia vascular de les dues extremitats com a mapa vascular abans del tractament (percutani o quirúrgic), com a mapa vascular prequirúrgic en pacients amb lesions òssies o musculars que requereixin cirurgia, etc. - Angio-RM d'Artèries renals
Prova diagnòstica no invasiva que consisteix en l'estudi de les artèries renals per obtenir imatges d'alta definició anatòmica mitjançant l'ús d'un camp electromagnètic i ones de ràdio (amb un emissor i un receptor). És indispensable l'ús de contrast paramagnètic (Gadolini). No obstant, no utilitza radiació ionitzant. La qualitat de les imatges permet realitzar reconstruccions en 2D i 3D. Aquesta prova està indicada en aquells pacients que pateixen d'HTA refractària al tractament, en pacients amb lesions renals per tenir un mapa "vascular" pre-quirúrgic, etc. - Sencer-RM
Prova diagnòstica no invasiva que consisteix per obtenir d'imatges d'alta definició anatòmica de l'intestí mitjançant l'ús d'un camp electromagnètic i ones de ràdio (amb un emissor i un receptor). No utilitza radiació ionitzant. Normalment requereix l'ús de contrast paramagnètic (Gadolini). Està indicada principalment en el diagnòstic, el seguiment i el control de la resposta al tractament dels pacients amb Malaltia de Crohn. - RM Rectal
Prova diagnòstica no invasiva que consisteix en l'obtenció d'imatges d'alta definició anatòmica del recte mitjançant l'ús d'un camp electromagnètic i ones de ràdio (amb un emissor i un receptor). No utilitza radiació ionitzant. Normalment no requereix l'ús de contrast paramagnètic (Gadolini). Està indicada principalment en el diagnòstic, l'estadiatge i el seguiment del Càncer de recte. - RM de Paret abdominal
Prova diagnòstica no invasiva que consisteix en l'obtenció d'imatges d'alta definició anatòmica de la paret abdominal mitjançant l'ús d'un camp electromagnètic i ones de ràdio (amb un emissor i un receptor). No utilitza radiació ionitzant. Està indicada en l'estudi de lesions de la paret abdominal i solen correspondre a bonys que detecta el pacient o a dolors en aquesta regió anatòmica. De vegades s'ha d'utilitzar contrast paragmanètic (Gadolini) per completar l'estudi. - RM Escrotal (testicular)
Prova diagnòstica no invasiva que consisteix en l'obtenció d'imatges d'alta definició anatòmica de la regió escrotal mitjançant l'ús d'un camp electromagnètic i ones de ràdio (amb un emissor i un receptor). No utilitza radiació ionitzant. De vegades s'ha d'emprar contrast paragmanètic (Gadolini) per completar l'estudi. S'utilitza per a l'estudi detallat dels testicles, per identificar possibles tumors i diverses patologies i per visualitzar alteracions de les estructures adjacents. - RM peniana
Prova diagnòstica no invasiva que consisteix en l'obtenció d'imatges d'alta definició anatòmica de la regió peniana mitjançant l'ús d'un camp electromagnètic i ones de ràdio (amb un emissor i un receptor). No utilitza radiació ionitzant. De vegades s'ha d'emprar contrast paragmanètic (Gadolini) per completar l'estudi. Normalment es realitza per estudiar la patologia peniana d'origen traumàtic i per visualitzar alteracions de les estructures adjacents.
- Múscul – esquelètic
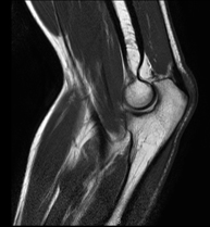
- RM d'Espatlla
Exploració per a l'estudi de lesions en els tendons, els músculs i les articulacions. La seva principal utilitat resideix en diagnosticar les lesions dels tendons del braçal rotatori. Té una durada aproximada de 20 minuts. No utilitza radiació ionitzant. - RM de Braç
Exploració per a l'estudi de lesions en els tendons, els músculs i els nervis perifèrics. També és útil en l'estudi de tumors. La durada aproximada és de 20 minuts. No utilitza radiació ionitzant. - RM de Colze
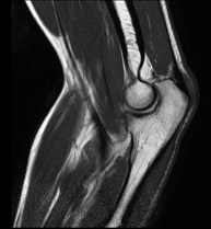
Exploració per a l'estudi de lesions en els tendons, els músculs i les articulacions. Molt útil per valorar trencaments del tendó del bíceps i la epicondilitis (colze de tenista). La durada aproximada és de 20 minuts. No utilitza radiació ionitzant. - RM d'Avantbraç
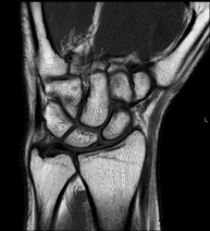
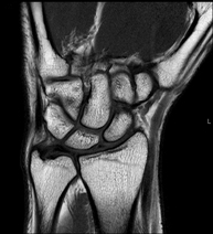
Exploració per a l'estudi de lesions en els tendons, els músculs i els nervis perifèrics. La durada aproximada és de 18 minuts. No utilitza radiació ionitzant. - RM Canell /carp
Exploració per a l'estudi de lesions en els tendons, els músculs i les articulacions. Molt útil per a la valoració de petites fractures inadvertides, lesions de lligaments i processos inflamatoris i degeneratius (artritis i artrosi). La durada aproximada és de 20 minuts. No utilitza radiació ionitzant. - RM de Mà / dits
Exploració per a l'estudi de lesions a tendons, lligaments i petites articulacions. És la prova que permet diagnosticar millor les capsulitis freqüents per traumatisme, l'artrosi i els trencaments de tendons. La durada aproximada és de 20 minuts. No utilitza radiació ionitzant. - RM de Malucs
Exploració per a l'estudi de lesions a tendons, músculs i articulacions coxofemorals. Permet identificar de manera precoç l'artrosi de maluc. Resulta molt útil per detectar les bursitis i l'osteopatia dinàmica de pubis, freqüent en esportistes. La durada aproximada és de 20 minuts. No utilitza radiació ionitzant. - RM de Sacroilíaques
Estudi específicament dissenyat per valorar aquestes articulacions i la seva inflamació en els pacients que pateixen espondilitis anquilosant. També resulta d'utilitat en pacients amb traumatismes i possibles fractures del sacre i el còccix. La durada aproximada és de 16 minuts. No utilitza radiació ionitzant. - RM de Glutis
Exploració per estudiar la musculatura i dels tendons que s'originen en aquest nivell, com els tendons isquiotibials, lesió sovint en esportistes. La durada aproximada és de 16 minuts. No empra radiació ionitzant. - RM de Cuixa
Exploració ideal per estudiar les lesions en músculs isquiotibials i quàdriceps, sovint lesionats en esportistes. També permet una bona valoració de tendons i de nervis perifèrics. La durada aproximada és de 20 minuts. No utilitza radiació ionitzan. - RM de Genoll
Exploració per estudiar lesions a l'articulació, com trencaments dels meniscals i dels lligaments creuats (únicament es poden detectar amb aquesta prova), condropatia o desgast del cartílag i moltes altres alteracions derivades de l'activitat esportiva i dels canvis degeneratius (osteoartrosi). La durada aproximada és de 18 minuts. No utilitza radiació ionitzant. - RM de Cama
Exploració per estudiar lesions a tendons, a músculs i a nervis perifèrics. És de gran utilitat per diagnosticar ruptures fibrilars als bessons. La durada aproximada és de 18 minuts. No utilitza radiació ionitzant. - RM de Turmell
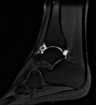
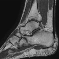
Exploració per estudiar aquesta articulació i les lesions freqüents de lligaments (esquinços), així com l'afectació d'altres estructures, com el cartílag o l'os. També és de gran utilitat per diagnosticar alteracions al tendó d'Aquil·les (tendinitis o trencaments). La durada aproximada és de 20 minuts. No utilitza radiació ionitzant. - RM de Peu
Exploració per a l'estudi de lesions en tendons, músculs i petites articulacions. Permet valorar amb eficàcia les lesions al cartílag. També és de molta utilitat per completar l'exploració ecogràfica prèvia. No empra radiació ionitzant. Té una durada aproximada de 20 minuts. - Artro-RM d'Espatlla
Exploració per a l'estudi de les lesions en petites estructures anatòmiques de l'articulació que solen lesionar-se en pacients que pateixen luxació o inestabilitat crònica. L'estudi ve precedit per una injecció de contrast a l'interior de l'articulació, realitzada sota control de raigs X. La durada total dels dos procediments és de 50 minuts. - Artro-RM de Canell
Exploració per a l'estudi de les lesions en petites estructures anatòmiques de les seves articulacions com ara lligaments i cartílag. L'estudi ve precedit per una injecció de contrast a l'interior d'una de les articulacions, realitzada sota control de raigs X. La durada total dels dos procediments és de 50 minuts. - Artro-RM de Maluc
Exploració per estudiar les lesions en petites estructures anatòmiques de l'articulació que solen produir-se en pacients que pateixen luxació o pinçament (disminució de l'espai). L'estudi ve precedit per una injecció de contrast a l'interior de l'articulació, realitzada sota control de raigs X. La durada total dels dos procediments és de 50 minuts. - Artro-RM de Genoll
Exploració per a l'estudi de les lesions en petites estructures anatòmiques de l'articulació, com ara el cartílag i els meniscs, principalment els ja operats. L'estudi ve precedit per una injecció de contrast a l'interior de l'articulació, realitzada sota control de raigs X. La durada total dels dos procediments és de 50 minuts. - Artro-RM de Turmell
Exploració per a l'estudi de les lesions en petites estructures anatòmiques de l'articulació que solen produir-se en pacients que pateixen luxació o inestabilitat crònica. L'estudi ve precedit per una injecció de contrast a l'interior de l'articulació, realitzada sota control de raigs X. La durada total dels dos procediments és de 50 minuts.
- Columna
- RM Columna Cervical
Prova diagnòstica no invasiva que consisteix en l'obtenció d'imatges d'alta definició anatòmica de la columna cervical, mitjançant l'ús d'un camp electromagnètic i ones de ràdio (amb un emissor i un receptor). No utilitza radiació ionitzant. Indicacions: traumatisme, degeneració de la columna i hèrnies. - RM Columna Dorsal
Prova diagnòstica no invasiva que consisteix en l'obtenció d'imatges d'alta definició anatòmica de la columna dorsal, mitjançant l'ús d'un camp electromagnètic i ones de ràdio (amb un emissor i un receptor). No utilitza radiació ionitzant. Indicacions: traumatisme, problemes degeneratius, hèrnies i tumors. - RM Columna Lumbar
Prova diagnòstica no invasiva que consisteix en l'obtenció d'imatges d'alta definició anatòmica de la columna lumbar i sacre mitjançant l'ús d'un camp electromagnètic i ones de ràdio (amb un emissor i un receptor). No utilitza radiació ionitzant. Indicacions: traumatismes, ciàtica, hèrnies discals, tumors i infeccions. - RM de Sacre-còccix
Prova diagnòstica no invasiva que consisteix en l'obtenció d'imatges d'alta definició anatòmica del sacre i còccix mitjançant l'ús d'un camp electromagnètic i ones de ràdio (amb un emissor i un receptor). No utilitza radiació ionitzant. Indicacions: dolor sacrococcigi i traumatisme. - RM Columna cervical + dorsal
Prova diagnòstica no invasiva que consisteix en l'obtenció d'imatges d'alta definició anatòmica de la columna cervical i dorsal mitjançant l'ús d'un camp electromagnètic i ones de ràdio (amb un emissor i un receptor). No utilitza radiació ionitzant. Indicacions: traumatisme, degeneració de la columna i hèrnies.
- RM Columna dorsal + lumbar
Prova diagnòstica no invasiva que consisteix en l'obtenció d'imatges d'alta definició anatòmica de la columna dorsal i lumbar, mitjançant l'ús d'un camp electromagnètic i ones de ràdio (amb un emissor i un receptor). No utilitza radiació ionitzant. Indicacions: traumatisme, degeneració de la columna i hèrnies.
- RM Columna completa
Prova diagnòstica no invasiva que consisteix en l'obtenció d'imatges d'alta definició anatòmica de la columna cervical, dorsal i lumbar, mitjançant l'ús d'un camp electromagnètic i ones de ràdio (amb un emissor i un receptor). No utilitza radiació ionitzant. Indicacions: detecció de metàstasi, escoliosi i traumatisme.
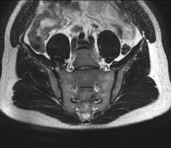
- Pediatria
- RM de Crani
Prova diagnòstica no invasiva que consisteix en l'obtenció d'imatges d'alta definició anatòmica del crani mitjançant l'ús d'un camp electromagnètic i ones de ràdio (amb un emissor i un receptor). No utilitza radiació ionitzant. De vegades s'ha d'emprar contrast paramagnètic (Gadolini) per completar l'estudi. - RM de Coll
Prova diagnòstica no invasiva que consisteix en l'obtenció d'imatges d'alta definició anatòmica del coll mitjançant l'ús d'un camp electromagnètic i ones de ràdio (amb un emissor i un receptor). No utilitza radiació ionitzant. De vegades s'ha d'emprar contrast paramagnètic (Gadolini) per completar l'estudi. - RM de Tòrax
Prova diagnòstica no invasiva que consisteix en l'obtenció d'imatges d'alta definició anatòmica del tòrax mitjançant l'ús d'un camp electromagnètic i ones de ràdio (amb un emissor i un receptor). No utilitza radiació ionitzant. Està indicada en aquelles lesions pulmonars en les quals s'ha de descartar si hi ha infiltració del mediastí o de la paret toràcica, per diferenciar si una lesió toràcica és sòlida, quística, etc. En alguns casos caldrà emprar contrast paramagnètic (Gadolini) per completar l'estudi. - RM d'Abdomen
Prova diagnòstica no invasiva que consisteix en l'obtenció d'imatges d'alta definició anatòmica de l'abdomen mitjançant l'ús d'un camp electromagnètic i ones de ràdio (amb un emissor i un receptor). No utilitza radiació ionitzant. En aquesta exploració s'inclouen el fetge, el pàncrees, la melsa, la via biliar, la vesícula biliar, les glàndules suprarenals, els ronyons, l'aorta abdominal, la vena cava inferior, l'estómac, el duodè, etc. En alguns casos caldrà emprar contrast paramagnètic (Gadolini) per caracteritzar les lesions. - URO-RM
Prova diagnòstica no invasiva que consisteix en l'obtenció d'imatges d'alta definició anatòmica del sistema urinari mitjançant l'ús d'un camp electromagnètic i ones de ràdio (amb un emissor i un receptor). No utilitza radiació ionitzant. Cal contrast paramagnètic (Gadolini) que s'excreta pel sistema urinari i permet obtenir imatges en 2D i 3D. - RM sota sedació
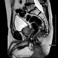
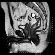
Prova diagnòstica no invasiva que consisteix en l'obtenció d'imatges d'alta definició anatòmica de qualsevol regió del cos mitjançant l'ús d'un camp electromagnètic i ones de ràdio (amb un emissor i un receptor). No utilitza radiació ionitzant. Es realitza sota sedació amb la col·laboració dels especialistes en Anestesiologia. És de gran ajuda en pacients pediàtics perquè permet realitzar exploracions sense artefactes de moviment en lactants i nens petits en què la situació clínica ho requereixi. - RM Fetal
Prova diagnòstica no invasiva que consisteix en l'obtenció d'imatges d'alta definició anatòmica del fetus en la dona gestant mitjançant l'ús d'un camp electromagnètic i ones de ràdio (amb un emissor i un receptor). No utilitza radiació ionitzant. Es pot realitzar a partir de la dotzena setmana de gestació, essent segura tant per al fetus com per a la mare. S'utilitza si se sospita d'alguna anomalia congènita morfològica. - RM Muscular
Prova diagnòstica no invasiva que consisteix en l'obtenció d'imatges d'alta definició anatòmica de la musculatura que s'estudia mitjançant l'ús d'un camp electromagnètic i ones de ràdio (amb un emissor i un receptor). No utilitza radiació ionitzant. Poques vegades requereix l'ús de contrast paramagnètic (Gadolini) per a una millor definició de les lesions. - RM d'Ossos i articulacions
Prova diagnòstica no invasiva que consisteix en l'obtenció d'imatges d'alta definició anatòmica d'ossos i articulacions mitjançant l'ús d'un camp electromagnètic i ones de ràdio (amb un emissor i un receptor). No utilitza radiació ionitzant. Poques vegades es requereix l'ús de contrast paramagnètic (Gadolini) per a millorar la definició de les lesions.
- Mama
- RM Mamas

Prova diagnòstica no invasiva que consisteix en l'obtenció d'imatges d'alta definició anatòmica de les dues mames mitjançant l'ús d'un camp electromagnètic i ones de ràdio (amb un emissor i un receptor). No utilitza radiació ionitzant. No requereix cap preparació prèvia. En la majoria de casos requereix l'ús de contrast paramagnètic (Gadolini), sobretot si la indicació és la sospita o estudi de neoplàsia mamària. Aquesta prova també està indicada en l'estudi de pacients amb pròtesis mamàries, ja sigui en el seguiment, per descartar complicacions associades a la pròtesi, o bé, per descartar la sospita de neoplàsia. En l'estudi de pròtesis la RM presenta una alta sensibilitat i especificitat en la detecció de silicona (s'apliquen seqüències específiques que només detecten les àrees amb silicona) per poder diagnosticar amb la màxima fiabilitat possible la presència de trencaments tant intra com extracapsulars.
- Cor
- RM Cardíaca
És una prova diagnòstica no invasiva que obté informació morfològica i funcional del cor i les estructures adjacents. D'aquesta manera es poden diagnosticar diferents patologies congènites i adquirides i realitzar controls en pacients amb patologia prèvia ja coneguda. En la majoria de casos és necessari l'ús de contrast intravenós (Gadolini) per completar l'estudi, un tipus de contrast que estranyament produeix reaccions adverses. Durant la prova el tècnic li demanarà diverses vegades que aguanti la respiració durant 10-15 segons per obtenir les imatges el més clares possible. No requereix preparació prèvia per part del pacient. La durada de la prova és d'aproximadament 45-60 minuts. Està contraindicada en pacients amb marcapassos i el pacient ha d'indicar si és portador d'implants metàl·lics i/o clips quirúrgics. - RM Cardíaca amb estrès miocàrdic
És una prova diagnòstica no invasiva que obté informació morfològica i funcional del cor i les estructures adjacents. D'aquesta manera es poden diagnosticar diferents patologies congènites i adquirides. Durant la prova el tècnic li demanarà diverses vegades que aguanti la respiració durant 10-15 segons per poder obtenir les imatges el més clares possible. En la gran majoria de casos és necessari l'ús de contrast intravenós (Gadolini) per completar l'estudi, un tipus de contrast que rarament produeix reaccions adverses. A més, s'introdueix un fàrmac (Adenosina) per via intravenosa, per exercir sobre el cor un efecte similar al que es produeix durant l'exercici físic. Es comparen les imatges obtingudes en repòs i després de "l'estrès" farmacològic per detectar dèficits d'aportació sanguini al ventricle esquerre del cor. La durada de la prova és d'aproximadament 45-60 minuts. El pacient no haurà d'ingerir aliments que continguin cafeïna durant les 24 hores prèvies a prova (cafè, te, xocolata, begudes de cola, etc.). Està contraindicada en pacients amb marcapassos i el pacient ha d'avisar si és portador d'implants metàl·lics i/o clips quirúrgics. - Angio-RM de Venes pulmonars
Prova diagnòstica no invasiva que consisteix en l'estudi del patró de drenatge de les venes pulmonars mitjançant l'ús d'un camp electromagnètic i ones de ràdio (amb un emissor i un receptor) i de contrast paramagnètic (Gadolini). No utilitza radiació ionitzant. Està indicada com a mapa angiogràfic previ en pacients que seran sotmesos a una ablació de les venes pulmonars i pel seu seguiment per descartar l'aparició d'estenosi.
- Estudis vasculars
- Angio-RM Intracranial
Prova diagnòstica no invasiva que consisteix en l'obtenció d'imatges d'alta definició anatòmica de les artèries cerebrals mitjançant l'ús d'un camp electromagnètic i ones de ràdio (amb un emissor i un receptor). No utilitza radiació ionitzant. En la majoria dels casos és necessari l'ús de contrast paramagnètic (Gadolini). Permet un estudi angiogràfic no invasiu gràcies a la injecció de Gadolini amb posterior reconstrucció en 2D i 3D, gràcies a estacions de treball especialitzades. Indicacions: malformacions vasculars, aneurismes d'artèries cerebrals i arteriosclerosi. - Angio-RM de Troncs supraaòrtics
Prova diagnòstica no invasiva que consisteix en l'obtenció d'imatges d'alta definició anatòmica de les artèries caròtides i vertebrals a nivell de coll mitjançant l'ús d'un camp electromagnètic i ones de ràdio (amb un emissor i un receptor). No utilitza radiació ionitzant. En la majoria dels casos és necessari l'ús de contrast paramagnètic (Gadolini). Permet un estudi angiogràfic no invasiu gràcies a la injecció de Gadolini amb posterior reconstrucció en 2D i 3D, gràcies a estacions de treball especialitzades. Indicacions: problemes circulatoris cerebrals i síncope. - Angio-RM d'Aorta Toràcica
Prova diagnòstica no invasiva que consisteix en l'obtenció d'imatges d'alta definició anatòmica de l'aorta toràcica (principal artèria del tòrax) mitjançant l'ús d'un camp electromagnètic i ones de ràdio (amb un emissor i un receptor). No utilitza radiació ionitzant. En la majoria dels casos és necessari l'ús de contrast paramagnètic (Gadolini). Permet un estudi angiogràfic no invasiu gràcies a la injecció de Gadolini amb posterior reconstrucció en 2D i 3D, mitjançant estacions de treball especialitzades. També inclou l'estudi de la vàlvula aòrtica, informació imprescindible en el cas que el pacient necessiti cirurgia. Aquesta prova està especialment indicada en pacients que requereixen tractament quirúrgic (com a mapa vascular prequirúrgic), en el seguiment de pacients amb aneurismes d'aorta, etc. - Angio-RM d'Aorta Abdominal
Prova diagnòstica no invasiva que consisteix en l'estudi de l'artèria aorta abdominal per obtenir imatges d'alta definició anatòmica mitjançant l'ús d'un camp electromagnètic i ones de ràdio (amb un emissor i un receptor). És indispensable l'ús de contrast intravenós paramagnètic (Gadolini). No obstant, no utilitza radiació ionitzant. La qualitat de les imatges permet realitzar reconstruccions en 2D i 3D. Està indicat en aquells pacients amb malaltia vascular (Aterosclerosi), per a l'estudi d'aneurismes, en estudis prequirúrgics de lesions adjacents a l'aorta abdominal com "mapa" vascular, etc. - Angio-RM Aorta ilíaca
Prova diagnòstica no invasiva que consisteix en l'estudi de l'artèria aorta abdominal per obtenir imatges d'alta definició anatòmica mitjançant l'ús d'un camp electromagnètic i ones de ràdio (amb un emissor i un receptor). És indispensable l'ús de contrast intravenós paramagnètic (Gadolini). No obstant, no utilitza radiació ionitzant. La qualitat de les imatges permet realitzar reconstruccions en 2D i 3D. Aquesta prova està especialment indicada com estudi prequirúrgic (mapa vascular) abans d'intervencions percutànies o quirúrgiques d'aorta abdominal, per a l'estudi complementari en pacients amb isquèmia de membres inferiors, etc. - Angio-RM d'Artèries renals
Prova diagnòstica no invasiva que consisteix en l'estudi de l'artèria aorta abdominal per obtenir imatges d'alta definició anatòmica mitjançant l'ús d'un camp electromagnètic i ones de ràdio (amb un emissor i un receptor). És indispensable l'ús de contrast intravenós paramagnètic (Gadolini). No obstant, no utilitza radiació ionitzant. La qualitat de les imatges permet realitzar reconstruccions en 2D i 3D. Aquesta prova està indicada, per exemple, en pacients que pateixen d'HTA refractària al tractament, en pacients amb lesions renals per obtenir un mapa vascular prequirúrgic, etc. - Angio-RM Arterial d'extremitats inferiors
Prova diagnòstica no invasiva que consisteix en l'estudi de l'artèria aorta abdominal per obtenir imatges d'alta definició anatòmica mitjançant l'ús d'un camp electromagnètic i ones de ràdio (amb un emissor i un receptor). És indispensable l'ús de contrast intravenós paramagnètic (Gadolini). No obstant, no utilitza radiació ionitzant. La qualitat de les imatges permet realitzar reconstruccions en 2D i 3D. Està especialment indicada en pacients amb sospita de malaltia vascular de les dues extremitats, en pacients amb malaltia vascular de les dues extremitats com a mapa vascular abans del tractament (percutani o quirúrgic), com a mapa vascular prequirúrgic en pacients amb lesions òssies o musculars que requereixin cirurgia, etc. - Angio-RM Lesió de parts toves
Prova diagnòstica no invasiva que consisteix en l'estudi de la vascularització de qualsevol lesió de parts toves (com la pell, el músculs, els tendons, etc.) per obtenir imatges d'alta definició anatòmica mitjançant l'ús d'un camp electromagnètic i ones de ràdio (amb un emissor i un receptor). És indispensable l'ús de contrast intravenós paramagnètic (Gadolini). No obstant, no utilitza radiació ionitzant. La qualitat de les imatges permet realitzar reconstruccions en 2D i 3D. Està especialment indicat com a mapa vascular prequirúrgic en pacients amb lesions musculars, cutànies, subcutànies, etc. - Angio-RM de venes pulmonars
Prova diagnòstica no invasiva que consisteix en l'estudi del patró de drenatge de les venes pulmonars mitjançant l'ús d'un camp electromagnètic i ones de ràdio (amb un emissor i un receptor) i de contrast paramagnètic (Gadolini). No utilitza radiació ionitzant. Està indicada com a mapa angiogràfic previ en pacients que seran sotmesos a l'ablació de les venes pulmonars i pel seu seguiment, per descartar l'aparició d'estenosi. - Angio-RM d'extremitats superiors
Prova diagnòstica no invasiva que consisteix en l'estudi de les artèries de la cintura escapular, el braç, l'avantbraç i la mà per obtenir imatges d'alta definició anatòmica mitjançant l'ús d'un camp electromagnètic i ones de ràdio (amb un emissor i un receptor). És indispensable l'ús de contrast intravenós paramagnètic (Gadolini). No obstant, no utilitza radiació ionitzant. La qualitat de les imatges permet realitzar reconstruccions en 2D i 3D. Està especialment indicada en pacients amb sospita de malaltia vascular de les dues extremitats, en pacients amb malaltia vascular de les dues extremitats com a mapa vascular abans del tractament (percutani o quirúrgic), com a mapa vascular prequirúrgic en pacients amb lesions òssies o musculars que requereixin cirurgia, etc.

































