Nueva cirugía endoscópica de fusión de la columna vertebralNueva cirugía endoscópica de fusión de la columna vertebral

Nueva cirugía endoscópica de fusión de la columna vertebralNueva cirugía endoscópica de fusión de la columna vertebralLa artrodesis vertebral consiste en la fusión permanente de dos o más vertebras en la columna para que no haya movimiento entre ellas. De esta forma se elimina o disminuye el dolor que se genera desde el disco intervertebral y las facetas lumbares. Ahora, un equipo de cirujanos e investigadores del Morgenstern Institute of Spine (MIS) del Centro Médico Teknon han logrado realizar por primera vez una fusión de la columna lumbar de forma percutánea, en una importante serie de pacientes, a través de una incisión en la piel de solo 1,5 cm y estando estos despiertos durante toda la intervención.

Gracias a este estudio se ha podido ver que los resultados de este nuevo abordaje son comparables con los de la cirugía clásica de columna, pero con una serie de ventajas que mejoran de forma sustancial la calidad de vida del paciente. "Una incisión mucho menor y una recuperación postoperatoria mucho más rápida, que hace posible dar el alta a los pacientes en menos de 24 horas, convierten este procedimiento en el futuro método quirúrgico a utilizar en la cirugía de fusión de la columna vertebral", explica el Dr. Rudolf Morgenstern, autor de la técnica y líder del equipo.

Para realizar este estudio han contado además con la cooperación de la Universidad de Yale y sus resultados han sido publicados en la revista Clinical Spine Surgery así como en un suplemento especial de The Spine Journal. También se han presentado formando parte del programa oficial del 33º congreso de la North American Spine Society, el encuentro anual más grande y prestigioso del mundo en cirugía de columna.
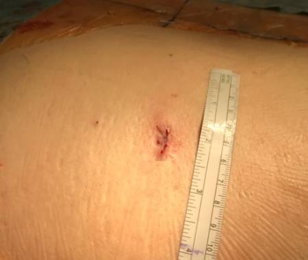
herida pTLIF colorherida pTLIF color

Cirugía mínimamente invasiva

El nuevo abordaje percutáneo que proponen los cirujanos del MIS supone un paso más allá en la cirugía moderna de la columna vertebral. Gracias a innovadores instrumentos quirúrgicos desarrollados por los cirujanos del MIS, es posible implantar una caja expandible de titanio que ayude a estabilizar y fusionar el disco intervertebral. Esto permite restaurar la altura del disco intervertebral y liberar los nervios que producen el dolor lumbar y ciático.

"Pero, a diferencia de la cirugía convencional, no se cortan los tejidos, sino que se dilatan. Así no es necesario hacer ni disección muscular ni resección ósea, reduciendo la agresión al paciente. Así es posible que a las pocas horas ya puedan deambular y en menos de 24 horas se les pueda dar el alta hospitalaria", continúa explicando el Dr. Morgenstern. Para poder introducir la caja expandible en el disco intervertebral sin resecar los tejidos del paciente, se utiliza la endoscopia y la fluoroscopia intraoperatoria. De esta forma el cirujano es capaz de navegar hasta alcanzar su objetivo en el disco lumbar de una forma mucho más precisa y menos agresiva.

Para llevar a cabo esta intervención es necesario hacer una incisión en la piel de solo 1,5 cm. Esto hace que no sea necesaria una anestesia general del paciente. Con una simple anestesia local para la piel en la zona de la intervención y una mínima sedación que permita mantener la consciencia del paciente es posible realizar todo el proceso. De esta forma también se reducen los riesgos asociados con una anestesia profunda.