Nova cirurgia endoscòpica de fusió de la columna vertebral
Amb el nou abordatge endoscòpic, primícia mundial de l'equip Morgenstern Institute of Spine, es pot dur a terme una operació de fusió vertebral amb una sedació lleu i anestèsia local de la pell, i donar l’alta hospitalària en menys de 24 hores


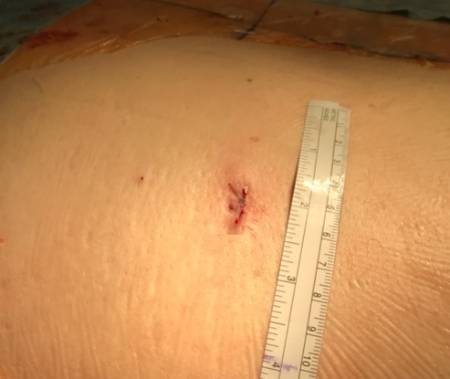
L’artròdesi vertebral consisteix en la fusió permanent de dues o més vèrtebres a la columna perquè no hi hagi moviment entre elles. D’aquesta manera, s’elimina o disminueix el dolor que es genera des del disc intervertebral i les facetes lumbars. Ara, un equip de cirurgians i investigadors del Morgenstern Institute of Spine (MIS) del Centre Mèdic Teknon han aconseguit realitzar per primera vegada una fusió de la columna lumbar de forma percutània, en una sèrie important de pacients, a través d’una incisió a la pell de només 1,5 cm, amb els pacients desperts durant tota la intervenció.
Gràcies a aquest estudi s’ha pogut veure que els resultats d’aquest nou abordatge són comprables amb els de la cirurgia clàssica de columna, però amb una sèrie d’avantatges que milloren de manera substancial la qualitat de vida del pacient. «Una incisió molt més petita i una recuperació postoperatòria molt més ràpida, que fa possible donar l’alta als pacients al cap de menys de 24 hores, converteixen aquest procediment en el futur mètode quirúrgic a utilitzar en la cirurgia de fusió de la columna vertebral», explica el Dr. Rudolf Morgenstern, autor de la tècnica i líder de l’equip.
Per realitzar aquest estudi han comptat, a més, amb la cooperació de la Universitat de Yale i els resultats han estat publicats a la revista Clinical Spine Surgery, així com en un suplement especial de The Spine Journal. També s’han presentat formant part del programa oficial del 33è congrés de la North American Spine Society, l’encontre anual més gran i prestigiós del món en cirurgia de columna.

Cirurgia mínimament invasiva
El nou abordatge percutani que proposen els cirurgians del MIS suposa un pas més enllà en la cirurgia moderna de la columna vertebral. Gràcies a instruments quirúrgics innovadors, desenvolupats pels cirurgians del MIS, és possible implantar una caixa expandible de titani que ajuda a estabilitzar i fusionar el disc intervertebral. Això permet restaurar l’alçada del disc intervertebral i alliberar els nervis que produeixen el dolor lumbar i ciàtic.
«Però, a diferència de la cirurgia convencional, no es tallen els teixits, sinó que es dilaten. Així no cal fer ni dissecció muscular ni resecció òssia, i es redueix l’agressió al pacient. D’aquesta manera és possible que al cap de poques hores ja puguin deambular i al cap de menys de 24 hores se’ls pugui donar l’alta hospitalària», continua explicant el Dr. Morgenstern. Per poder introduir la caixa expandible en el disc intervertebral sense ressecar els teixits del pacient, s’utilitza l’endoscòpia i la fluoroscòpia intraoperatòria. Així, el cirurgià és capaç de navegar fins a trobar l’objectiu en el disc lumbar d’una manera molt més precisa i menys agressiva.
Per dur a terme aquesta intervenció, cal fer una incisió a la pell de només 1,5 cm. Això fa que no calgui una anestèsia general del pacient. Amb una simple anestèsia local per a la pell a la zona de la intervenció i una mínima sedació que permeti mantenir la consciència del pacient, és possible realitzar tot el procés. D’aquesta manera també es redueixen els riscos associats amb una anestèsia profunda.

































