

- FACULTATIVO ESPECIALISTA MEDICINA FÍSICA Y REHABILITACIÓNMedicina Física y Rehabilitación / Medicina de la Educación Física y el DeporteCentro Médico Teknon
FACULTATIVO ESPECIALISTA CIR. ORTOPÉDICA Y TRAUMATOLOGÍATraumatología y Cirugía OrtopédicaCentro Médico Teknon
FACULTATIVO ESPECIALISTA CIR. ORTOPÉDICA Y TRAUMATOLOGÍATraumatología y Cirugía OrtopédicaCentro Médico Teknon
FACULTATIVO ESPECIALISTA CIR. ORTOPÉDICA Y TRAUMATOLOGÍATraumatología y Cirugía OrtopédicaCentro Médico Teknon- FACULTATIVO ESPECIALISTA CIR. ORTOPÉDICA Y TRAUMATOLOGÍATraumatología y Cirugía OrtopédicaCentro Médico Teknon
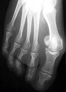
El hallux valgus, popularmente conocido como juanete, es una deformidad del dedo gordo del pie. Esta deformidad altera el funcionamiento normal del pie y puede producir dolor. Se produce con mayor frecuencia en mujeres.
La causa principal es el calzado, motivo por el cual el hallux valgus es más frecuente en mujeres. El primer consejo que damos a nuestros pacientes es calzarse con un zapato cómodo.

¿Cuándo está indicada la cirugía?
Se aconseja realizar la intervención cuando hay dolor que no puede controlarse con calzado o plantillas adecuadas. Sin embargo, operar un hallux valgus sin dolor tan solo para corregir la deformidad puede tener un resultado poco satisfactorio.
¿Qué tipo de cirugía es la más aconsejable?
Hay diversos tipos de cirugía para tratar el hallux valgus. Dependerá del especialista y sus preferencias y formación. El hallux valgus puede operarse con cirugía percutánea o con cirugía abierta. Tanto una como otra, tienen sus ventajas e inconvenientes.
¿Qué es la cirugía percutánea?
La cirugía percutánea, popularmente conocida como "cirugía con láser", se realiza mediante pequeñas incisiones con poco daño de las partes blandas. Nosotros aconsejamos cirugía percutánea para deformidades leves o moderadas.
¿Cuál es el tiempo aproximado de ingreso?
La cirugía del hallux valgus puede llevarse a cabo en unidades de cirugía ambulatoria sin ingreso. En caso de cirugía de hallux valgus compleja o en pacientes con enfermedades asociadas, puede ser necesario el ingreso hospitalario.
¿Qué se necesita para la cirugía?
Para el día de la operación necesita un zapato quirúrgico con el que podrá caminar tras la cirugía. Así mismo, es conveniente traer unas muletas el día de la cirugía. Al quitar el vendaje es necesario colocar una cincha metatarsal y un separador de hallux que podrá utilizar con un calzado cómodo. Durante la noche es conveniente colocar un corrector de hallux.
¿Cuál es la recuperación tras cirugía de hallux valgus?
Se puede caminar el mismo día de la cirugía con un vendaje y con el zapato quirúrgico. Los puntos se retiran entre 2 y 3 semanas después de la cirugía dependiendo de la evolución de la cicatriz. La utilización de calzado cómodo/deportivo comienza tras retirar los puntos. El pie estará hinchado durante 2-3 meses por lo que se ha de evitar la utilización de zapato estrecho.
¿Cuáles son las posibles complicaciones?
Cualquier intervención quirúrgica puede presentar complicaciones aunque su frecuencia es baja. Nuestro largo recorrido en el campo de la cirugía de pie nos permite conocer las posibles complicaciones y evitarlas, minimizando el riesgo.






















































