

FACULTATIVO ESPECIALISTA CIR. ORTOPÉDICA Y TRAUMATOLOGÍATraumatología y Cirugía OrtopédicaCentro Médico Teknon- FACULTATIVO ESPECIALISTA MEDICINA FÍSICA Y REHABILITACIÓNMedicina Física y Rehabilitación / Medicina de la Educación Física y el DeporteCentro Médico Teknon
FACULTATIVO ESPECIALISTA CIR. ORTOPÉDICA Y TRAUMATOLOGÍATraumatología y Cirugía OrtopédicaCentro Médico Teknon
Traumatismos del muslo
La región del muslo se ubica entre la cadera y la rodilla albergando el hueso más grande de nuestra anatomía, que es el fémur. Rodeando el fémur se encuentran potentes músculos que desempeñan un papel crucial durante la marcha fundamentalmente cuando se trata de subir o bajar escalera o desplazarse por terrenos con desnivel. Gran parte de las lesiones deportivas musculares ocurren a este nivel debido a la sobrecarga a la que se somete esta región muscular durante la práctica deportiva.
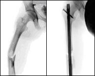
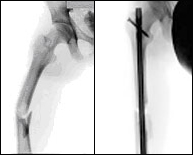
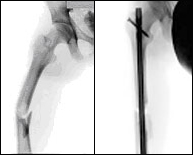
Fracturas de fémur
Nos referimos en este apartado a la porción media del fémur, a su diáfisis. Las fracturas a este nivel se asocian frecuentemente a traumatismos de alta energía como accidentes de tráfico o caídas desde grandes alturas y suelen acompañarse de fracturas a otros niveles constituyendo lo que denominamos politraumatismo. Se han descrito también fracturas de estrés en atletas de competición después de sobreesfuerzo repetitivo pero son muy poco frecuentes. El tratamiento es eminentemente quirúrgico proponiéndose un tutor intraóseo ubicado con una mínima incisión (menos de 3 centímetros) con la finalidad de quitar el dolor, restituir la longitud del muslo e iniciar cuanto antes el movimiento.
Roturas musculares
Las roturas musculares a nivel del muslo son frecuentes durante la práctica deportivay se clasifican en parciales o completas. Las rupturas parciales o fibrilares abundan más que las completas pudiendo afectar al compartimento cuadricipital anterior o isquiotibial posterior. Su tratamiento suele ser rehabilitador salvo grandes rupturas que pudiesen beneficiarse del tratamiento quirúrgico. Las rupturas completas ocurren generalmente en el tendón que es la zona de anclaje entre el músculo y el hueso. Su diagnóstico requiere estudios ecográficos y/o deresonancia magnética para verificar el tamaño de la lesión.






























































