

Centro Médico Teknon
Centro Médico Teknon
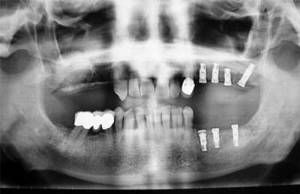
Es una especialidad transversal de la Odontología en la que participan de forma preferente la cirugía bucal y la prostodoncia, y cuya finalidad es restaurar la pérdida de un diente, varios dientes o todos los dientes mediante una prótesis que se apoye en implantes osteointegrados colocados en los maxilares.
La incorporación de la implantología en la práctica odontológica ha representado un gran avance para la rehabilitación-restauración de la perdida de los dientes. Antes se instalaban prótesis apoyadas en otros dientes o sobre la mucosa bucal produciéndose todo tipo de complicaciones. Los implantes dentarios son fijaciones (tornillos) de titanio con superficies bioactivas que se colocan en los maxilares (intraóseos), imitando una raíz dentaria aunque su comportamiento es diferente.
El diagnóstico en implantología es complejo, puesto que exige una buena coordinación entre el cirujano y el protesista. Normalmente se precisan estudios radiográficos especiales (tomografía computadorizada o escáner), encerados diagnósticos, preparación de férulas quirúrgicas, etc. para minimizar los riesgos asociados a un acto quirúrgico irreversible.
El plan de tratamiento implantológico debe adaptarse a cada caso concreto ya que depende de muchos factores: del tipo de edentulismo (cuantos dientes faltan) , de la calidad y cantidad de hueso maxilar disponible, del tipo de oclusión, del estado periodontal de los dientes que permanecen en boca, de las parafunciones como el apretamiento dentario (bruxismo), del estado de salud general del paciente, etc.
Las fijaciones o implantes se pueden instalar en el hueso alveolar de forma inmediata (tras la extracción del diente) o de forma diferida (al cabo de unos meses cuando la mucosa y el hueso este cicatrizado). Igualmente la prótesis puede colocarse de forma inmediata (es una prótesis provisional y normalmente fuera de oclusión) o de forma diferida (cuando el implante esta osteointegrado: 2-4 meses en la mandíbula y de 4 a 6 meses en el maxilar superior).
Una de las técnicas más modernas es la colocación de implantes con cirugía guiada y con mínimas incisiones. Se precisa planificar la intervención quirúrgica con un férula quirúrgica preparada tras un estudio radiográfico completo (tomografía computadorizada o escáner).
Cuando no se dispone del hueso alveolar necesario para colocar los implantes podemos tener varias opciones: colocar implantes cortos, instalar implantes inclinados, colocar injertos de hueso del propio paciente, aplicar técnicas de regeneración ósea guiada, practicar una elevación del seno maxilar, usar la distracción osteogénica, etc.
Normalmente se prefieren colocar prótesis fijas sobre los implantes (atornilladas o cementadas) aunque también pueden indicarse prótesis removibles (de poner y quitar) pero que están apoyadas sobre los implantes y no sobre otros dientes o sobre la mucosa bucal y el hueso alveolar.
Siempre es imprescindible un estudio pormenorizado de cada caso, antes de colocar los implantes de cualquier manera, ya que nuestra meta debe ser buscar lo mejor para el paciente y que el tratamiento permanezca en boca durante muchos años. Para que los implantes duren muchos años es imprescindible que el paciente siga estrictamente las pautas que le marcara el dentista (higiene bucal correcta, dieta adecuada, uso de una férula oclusal si es un paciente bruxista, etc.) y que cumpla con los controles periódicos, que deberán adaptarse a cada caso concreto, pero que como mínimo serán cada 6 meses. Si el paciente no cumple estas instrucciones, con toda seguridad aparecerán problemas como la periimplantitis que pueden terminar con la perdida de los implantes.
Los implantes que utilizamos nosotros son los mejores del mercado en cuanto a su respaldo científico y a la experiencia de su uso durante más de 30 años.


































