

- Specialist Physician in Physical Medicine and RehabilitationPhysical Medicine and RehabilitationCentro Médico Teknon
SPECIALIST PHYSICIAN IN ORTHOPEDIC SURGERY AND TRAUMATOLOGYTraumatology and orthopedic surgeryCentro Médico Teknon
SPECIALIST PHYSICIAN IN ORTHOPEDIC SURGERY AND TRAUMATOLOGYTraumatology and orthopedic surgeryCentro Médico Teknon
SPECIALIST PHYSICIAN IN ORTHOPEDIC SURGERY AND TRAUMATOLOGYTraumatology and orthopedic surgeryCentro Médico Teknon- SPECIALIST PHYSICIAN IN ORTHOPEDIC SURGERY AND TRAUMATOLOGYTraumatology and orthopedic surgeryCentro Médico Teknon
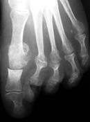
Es una deformidad de los dedos del pie que altera el funcionamiento normal del pie y puede producir dolor por el roce entre el dedo y el calzado.
Existen una serie de factores predisponentes pero el factor principal es la alteración de la musculatura intrínseca del pie. En ocasiones, la deformidad del dedo se acompaña de alteraciones en la articulación metatarsofalángica.

¿Cuándo está indicada la cirugía?
La cirugía se aconseja cuando hay dolor que no puede controlarse con protecciones adecuadas de los dedos. Operar un dedo deformado sin dolor para corregir la deformidad puede tener un resultado poco satisfactorio.
¿Qué tipo de cirugía es la más aconsejable?
Existen muchos tipos de cirugía para tratar las deformidades de los dedos, y la elección dependerá del especialista y sus preferencias en función de su formación y experiencia. El objetivo de la cirugía en corregir la deformidad para evitar el conflicto entre el dedo y el calzado.
¿Cuál es el tiempo aproximado de ingreso?
Normalmente, la cirugía de las deformidades en martillo o garra puede realizarse en unidades de cirugía ambulatoria sin ingreso. Sin embargo, en casos de cirugía compleja o en pacientes con enfermedades asociadas, puede ser necesario el ingreso hospitalario.
¿Qué necesita para la cirugía?
Un zapato quirúrgico y unas muletas para poder caminar tras la intervención.
¿Cuál es la recuperación tras cirugía de deformidad de los dedos del pie?
Se puede caminar el mismo día de la cirugía con un vendaje y con el zapato quirúrgico. Los puntos se retiran entre 2 y 3 semanas después de la cirugía dependiendo de la evolución de la cicatriz. La utilización de calzado cómodo/deportivo comienza tras retirar los puntos. El pie estará hinchado durante 2-3 meses por lo que se ha de diferir la utilización de zapato estrecho.


































