

- Specialist Physician in Physical Medicine and RehabilitationPhysical Medicine and RehabilitationCentro Médico Teknon
SPECIALIST PHYSICIAN IN ORTHOPEDIC SURGERY AND TRAUMATOLOGYTraumatology and orthopedic surgeryCentro Médico Teknon
SPECIALIST PHYSICIAN IN ORTHOPEDIC SURGERY AND TRAUMATOLOGYTraumatology and orthopedic surgeryCentro Médico Teknon
SPECIALIST PHYSICIAN IN ORTHOPEDIC SURGERY AND TRAUMATOLOGYTraumatology and orthopedic surgeryCentro Médico Teknon- SPECIALIST PHYSICIAN IN ORTHOPEDIC SURGERY AND TRAUMATOLOGYTraumatology and orthopedic surgeryCentro Médico Teknon
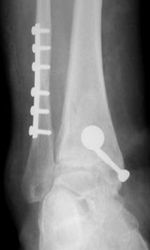
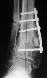
Es una degeneración de la articulación del tobillo. Esta lesión altera el funcionamiento normal del tobillo y puede producir dolor.
La causa principal de la artrosis de tobillo es la artrosis postraumática por lo que es muy importante tratar de forma adecuada las fracturas que se producen en esta articulación. El primer consejo que damos a nuestros pacientes es controlar la sobrecarga ponderal, antinflamatorios no esteroideos (AINE) y utilizar plantillas si existe alguna alteración estructural. Las inyecciones de acido hialurónico pueden ser efectivas.

¿Cuándo está indicada la cirugía?
Tan sólo se aconseja la cirugía en el caso de que no se pueda controlar el dolor con las medidas comentadas.
¿Qué tipo de cirugía es la más aconsejable?
Hay muchos tipos de cirugía para tratar la artrosis de tobillo. Los principales son:
- Artroscopia
- Distracción articular
- Osteotomías (cortes de los huesos) correctoras
- Artrodesis (fijación articular)
- Prótesis de tobillo.
Nuestro equipo le aconsejará la operación que mejor se adapta a sus necesidades.
¿Cuál es el tiempo aproximado de ingreso?
Normalmente no se precisa ingreso, pudiéndose realizar en unidades de cirugía ambulatoria. En caso de cirugía compleja o en pacientes con enfermedades asociadas, puede ser necesario el ingreso hospitalario.
¿Qué necesita para la cirugía?
Dependiendo del paciente y de su caso, se aconsejará un postoperatorio concreto. La recuperación dependerá del tipo de operación.
¿Cuáles son las posibles complicaciones?
Nuestra experiencia de más de 20 años con dedicación a la cirugía del tobillo nos permite conocer las posibles complicaciones y tomar las medidas oportunas para minimizar su aparición.


































