Menú teléfono cabecera
Selector d'idioma
menuPrincipal
- Quadre mèdic
- Especialitats
- Unitats especialitzades
Institut del Cor Teknon
Unitat d’Obesitat
Institut Oncològic
Unitat d’Medicina i cirurgia sense sang
Institut de Neurociències
Unitat d’atenció al lesionat de trànsit
Unitat de Pneumologia
Unitat de Medicina Marítima
Institut de Teràpia Regenerativa Tissular
Unitat de Tractament del Dolor
Clínica del Tennis
Unitat de malalties inflamatòries i autoimmunes sistèmiques
Unitat de Reproducció Assistida
Unitat del Son
Unitat de Síndromes de Sensibilització Central
Unitat del Virus del Papil·loma Humà
- Especialitats
- Cardiologia i cirurgia vascular
- Pneumologia
- Cirurgia general
- Neurologia i Neurocirurgia
- Cirurgia plàstica
- Oncologia
- Cirurgia maxil·lofacial
- Otorinolaringologia
- Dermatologia
- Pediatria i cirurgia pediàtrica
- Gastroenterologia
- Traumatologia
- Ginecologia i Obstetrícia
- Urologia
- Medicina Interna
- Todas las especialidades
- Unitats especialitzades
- Àrea diagnòstica
- Proves diagnòstiques
Diagnòstic per la ImatgeExploracions diagnòstiques i intervencionistes.
Laboratori d’anatomia patològicaDisposa d’una segona opinió per part d’especialistes.
Laboratori d’Anàlisis ClíniquesServei integral a l’àrea clínica.
EndoscòpiaDiagnòstic precís sense utilitzar la cirurgia.
ElectrofisiologiaExploració funcional del Sistema Nerviós Central.
ElectromiografíaAvaluació clínica i neurofisiològica de la patologia neuromuscular.
DensitometriaTècnica diagnòstica per comprovar la densitat mineral de l’os.
UrodinàmiaDiagnòstic dels trastorns de micció i incontinència.- Diagnòstic cardíac
- Revisions mèdiques

GeneralUn control intel·ligent de la teva salut.
CompletUn examen exhaustiu de la teva salut.
Complet PlusLa nostra revisió mèdica més exhaustiva.
ViatgersSi vols fer un viatge, la teva salut forma part de l’equipatge.
EsportiuUna revisió a fons per a potenciar el teu rendiment.
CardiològicUna bona notícia és saber que el teu cor està sota control.
Per a empresesUna eina que potencia la satisfacció, productivitat i fidelització del treballador.
- Proves diagnòstiques
- El nostre centre
- Entorn assistencial
HospitalitzacióAmb habitacions lluminoses, funcionals i completament equipades.
Unitat de SemicriticsDotada de tecnologia per al diagnòstic i tractament que requereixen una vigilància i cura especial.
Programa d’Alimentació SaludableVolem millorar la salut de les persones, per això promovem una alimentació saludable, conscient i sostenible als nostres hospitals.
InfermeriaUn equip de més de 400 professionals.
Servei d’Urgències24 hores al dia al teu servei sense interrupcions.
Àrea Pacient PrivatBasat en l’alta qualitat i el servei personalitzat, oferim un conjunt de serveis que complementen les cures mèdico-assistencials
L’Àrea QuirúrgicaDisposa de 20 quiròfans, 12 d’ells preparats per a la cirurgia d’alt risc.
International programUn assistent d’aquest programa us oferirà atenció integral i personalitzada
Comitè d’Ètica AssistencialAjuda els ciutadans i als professionals de la salut a orienta la seva actuació en casos de conflictes morals.
UCI-UCUnitat polivalent que disposa de boxes completament equipats amb el sistema més modern de monitorització.
Atenció al PacientA disposició de tots els pacients i acompanyants del centre.
InvestigacióLa investigació constitueix un dels pilars bàsics de Centre Mèdic Teknon.
Programa de Seguiment PersonalitzatT’acompanyem durant el teu procés mèdic. Organitzem i agendem les teves cites i proves.
Qualitat i Seguretat del PacientAdoptem models de gestió basats en els estàndards més exigents nacionals i internacionals.
- Entorn assistencial
- Actualitat
- Actualitat
NotíciesConeix el que està passant a Centro Médico Teknon. Consulta la nostra secció de notícies.
AgendaPots trobar tots els esdeveniments que hem organitzat sobre salut i aquells temes d’actualitat que et poden interessar. Accedeix a la nostra agenda d’activitats.
VídeosEn aquesta secció trobaràs una àmplia col·lecció de vídeos relacionats amb les nostres especialitats.
PodcastTemes mèdics d’actualitat, tractaments innovadors, consells de salut y experiències de pacients abordabats pels nostres especialistes.
Continguts de salut
- Actualitat
- Blog

menuPrincipal
- Quadre mèdic
- Especialitats
- Unitats especialitzades
Institut del Cor Teknon
Unitat d’Obesitat
Institut Oncològic
Unitat d’Medicina i cirurgia sense sang
Institut de Neurociències
Unitat d’atenció al lesionat de trànsit
Unitat de Pneumologia
Unitat de Medicina Marítima
Institut de Teràpia Regenerativa Tissular
Unitat de Tractament del Dolor
Clínica del Tennis
Unitat de malalties inflamatòries i autoimmunes sistèmiques
Unitat de Reproducció Assistida
Unitat del Son
Unitat de Síndromes de Sensibilització Central
Unitat del Virus del Papil·loma Humà
- Especialitats
- Cardiologia i cirurgia vascular
- Pneumologia
- Cirurgia general
- Neurologia i Neurocirurgia
- Cirurgia plàstica
- Oncologia
- Cirurgia maxil·lofacial
- Otorinolaringologia
- Dermatologia
- Pediatria i cirurgia pediàtrica
- Gastroenterologia
- Traumatologia
- Ginecologia i Obstetrícia
- Urologia
- Medicina Interna
- Todas las especialidades
- Unitats especialitzades
- Àrea diagnòstica
- Proves diagnòstiques
Diagnòstic per la ImatgeExploracions diagnòstiques i intervencionistes.
Laboratori d’anatomia patològicaDisposa d’una segona opinió per part d’especialistes.
Laboratori d’Anàlisis ClíniquesServei integral a l’àrea clínica.
EndoscòpiaDiagnòstic precís sense utilitzar la cirurgia.
ElectrofisiologiaExploració funcional del Sistema Nerviós Central.
ElectromiografíaAvaluació clínica i neurofisiològica de la patologia neuromuscular.
DensitometriaTècnica diagnòstica per comprovar la densitat mineral de l’os.
UrodinàmiaDiagnòstic dels trastorns de micció i incontinència.- Diagnòstic cardíac
- Revisions mèdiques

GeneralUn control intel·ligent de la teva salut.
CompletUn examen exhaustiu de la teva salut.
Complet PlusLa nostra revisió mèdica més exhaustiva.
ViatgersSi vols fer un viatge, la teva salut forma part de l’equipatge.
EsportiuUna revisió a fons per a potenciar el teu rendiment.
CardiològicUna bona notícia és saber que el teu cor està sota control.
Per a empresesUna eina que potencia la satisfacció, productivitat i fidelització del treballador.
- Proves diagnòstiques
- El nostre centre
- Entorn assistencial
HospitalitzacióAmb habitacions lluminoses, funcionals i completament equipades.
Unitat de SemicriticsDotada de tecnologia per al diagnòstic i tractament que requereixen una vigilància i cura especial.
Programa d’Alimentació SaludableVolem millorar la salut de les persones, per això promovem una alimentació saludable, conscient i sostenible als nostres hospitals.
InfermeriaUn equip de més de 400 professionals.
Servei d’Urgències24 hores al dia al teu servei sense interrupcions.
Àrea Pacient PrivatBasat en l’alta qualitat i el servei personalitzat, oferim un conjunt de serveis que complementen les cures mèdico-assistencials
L’Àrea QuirúrgicaDisposa de 20 quiròfans, 12 d’ells preparats per a la cirurgia d’alt risc.
International programUn assistent d’aquest programa us oferirà atenció integral i personalitzada
Comitè d’Ètica AssistencialAjuda els ciutadans i als professionals de la salut a orienta la seva actuació en casos de conflictes morals.
UCI-UCUnitat polivalent que disposa de boxes completament equipats amb el sistema més modern de monitorització.
Atenció al PacientA disposició de tots els pacients i acompanyants del centre.
InvestigacióLa investigació constitueix un dels pilars bàsics de Centre Mèdic Teknon.
Programa de Seguiment PersonalitzatT’acompanyem durant el teu procés mèdic. Organitzem i agendem les teves cites i proves.
Qualitat i Seguretat del PacientAdoptem models de gestió basats en els estàndards més exigents nacionals i internacionals.
- Entorn assistencial
- Actualitat
- Actualitat
NotíciesConeix el que està passant a Centro Médico Teknon. Consulta la nostra secció de notícies.
AgendaPots trobar tots els esdeveniments que hem organitzat sobre salut i aquells temes d’actualitat que et poden interessar. Accedeix a la nostra agenda d’activitats.
VídeosEn aquesta secció trobaràs una àmplia col·lecció de vídeos relacionats amb les nostres especialitats.
PodcastTemes mèdics d’actualitat, tractaments innovadors, consells de salut y experiències de pacients abordabats pels nostres especialistes.
Continguts de salut
- Actualitat
- Blog

Selector d'idioma

- Unitats especialitzades
Proves diagnòstiques
Tractaments i especialitats
Diagnòstic per la Imatge
Ressonància Magnètica
Neuroradiologia
RM de Cais
RM de Cais
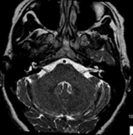
RM de CaisProva diagnòstica no invasiva que consisteix en l'obtenció d'imatges d'alta definició anatòmica de l'oïda interna mitjançant l'ús d'un camp electromagnètic i ones de ràdio (com un emissor i un receptor). No utilitza radiació ionitzant. Indicacions: problemes auditius, mareigs, vertigen.



