Mamografia
Els estudis de Mamografia obtenen imatges generades a partir de raigs X de dosi molt baixa que permeten detectar les diverses patologies dels teixits mamaris (en especial el càncer de mama), tant per al cribratge (screening) ginecològic com per al diagnòstic dirigit. La mamografia pot ser intervencionista amb punció de quists, biòpsia estereotàxica, marcatge prequirúrgic i galactografia.
Mamografia digitalitzada

La mamografia digitalitzada és una tècnica innovadora que permet estudiar la mama amb un dosi baixa de radiació, que és més reduïda que la mamografia convencional. La imatge es digitalitza a partir d'uns bastidors especials, anomenats CR. Gràcies a aquestes tècniques de digitalització s'obtenen imatges excel·lents, sobretot en mames de difícil estudi com les glàndules que es presenten en la mamografia com una mama densa, i permet detectar millor en aquest grup de pacients les tumoracions.
Biòpsia esterotàxica guiada per mamografia
La presència de microcalcificacions agrupades pot ser una forma incipient de càncer de mama. Per diagnosticar aquestes petites lesions s'utilitza la biòpsia esterotàxica. En aquest procediment es localitza la lesió en la mamografia i un ordinador acoblat al mamògraf determina amb exactitud el punt i la profunditat de la punció amb un sistema de guia. El metge radiòleg realitza la biòpsia, prèvia anestèsia local a la zona, i extreu diversos fragments mil·limètrics de la lesió (de 5 a 10) perquè posteriorment el metge patòleg realitzi el diagnòstic del procés. La durada mitjana del procediment és de 20 minuts i presenta lleugeres molèsties.
Marcatge prequirúrgic amb arpó

Lesions mamàries petites no palpables i tributàries d'una cirurgia limitada necessiten un marcatge previ a la intervenció de la zona que s'ha d'estudiar mitjançant la col·locació d'un arpó. L'arpó és un fil molt fi amb una angulació a la seva punta (arpó) que es queda fix a la zona de la mama que es determini. Sota control mamogràfic o ecogràfic, el metge radiòleg introdueix l'arpó a l'interior de la lesió, on queda fixat. Això permet que el cirurgià localitzi amb seguretat la lesió. La durada mitjana és de 20 minuts i presenta lleugeres molèsties. Habitualment es realitza escasses hores abans d'anar al quiròfan, tot i que es pot realitzar el dia anterior.
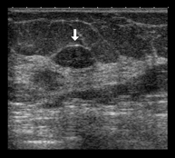
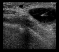
Ecografia mamària

És un mètode d'imatge on les ones sonores creen imatges dels vasos sanguinis, teixits i òrgans, incloent la mama. L'ecografia permet avaluar les anomalies visualitzades a la mamografia o a l'exploració clínica, diferenciant les lesions sòlides i les líquides (quists).
PAAF (punció) guiada per ecografia

En la punció aspiració amb agulla fina (PAAF) s'insereix una agulla fina guiada per ecografia fins a la zona sospitosa de la mama; a continuació s'aspira amb una xeringa, i s'obté escàs material cel·lular que s'envia per a l'estudi citològic. També s'utilitza per puncionar i evacuar quists mamaris i analitzar el seu contingut. És un procediment que dura molt pocs minuts i produeix lleugeres molèsties.
BAG (biòpsia) guiada per ecografia
Biòpsia amb agulla gruixuda o core-biòpsia que consisteix en l'obtenció d'un cilindre de teixit per a l'estudi histològic. Sota control ecogràfic, i prèvia anestèsia local, se situa l'agulla a la zona d'estudi i, a través d'un sistema de tall automàtic, s'obtenen diversos cilindres mil·limètrics de teixit. És un procediment relativament curt i escassament dolorós.
Marcatge amb llavors d'or per a radioteràpia
Consisteix en un marcatge de lesions diagnosticades de càncer per indicar exactament la seva localització amb la finalitat d'aplicar el tractament de repercussió sobre els teixits veïns. Aquest procediment es realitza sota control ecogràfic, amb la localització del tumor i s'introdueixen les llavors d'or (de 3 a 4 llavors) en quatre punts de la seva perifèria.
Marcatge amb clip de titani previ a quimioteràpia

En el tractament del càncer de mama es pot realitzar quimioteràpia prèvia a la cirurgia. Les tumoracions disminueixen de mida, a vegades de manera molt marcada, fet que dificulta la seva posterior localització en la cirurgia. La tècnica consisteix en la col·locació d'un clip de titani en el centre de les lesions diagnosticades de càncer. Es realitza sota control ecogràfic en la majoria de casos, o bé per mamografia.
Galactografia

És una tècnica radiològica per estudiar els conductes mamaris, destinada a diagnosticar l'existència de lesions en el seu interior, habitualment petits tumors o estenosi. Està indicada per a pacients que presenten secreció pel mugró, quan afecta únicament a un dels orificis del mugró (uniorificial). La tècnica consisteix en la introducció de contrast, habitaulment uns 2 cc, a l'orifici de la secreció inadequada, prèvia a la dilatació d'aquest. Posteriorment es realitzen una sèrie de mamografies per a l'estudi del conducte. És una prova minuciosa però indolora.

































