

FACULTATIVO ESPECIALISTA CIR. ORTOPÉDICA Y TRAUMATOLOGÍATraumatología y Cirugía OrtopédicaCentro Médico Teknon- FACULTATIVO ESPECIALISTA MEDICINA FÍSICA Y REHABILITACIÓNMedicina Física y Rehabilitación / Medicina de la Educación Física y el DeporteCentro Médico Teknon
FACULTATIVO ESPECIALISTA CIR. ORTOPÉDICA Y TRAUMATOLOGÍATraumatología y Cirugía OrtopédicaCentro Médico Teknon
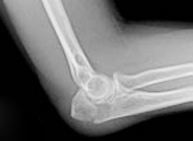
Traumatismos del codo
La articulación del codo está formada por las porciones inferior del húmero y superiores de cúbito y radio. Su lesión se produce fundamentalmente tras el impacto de la mano contra el suelo con el codo en extensión, siendo especialmente vulnerables los niños y la tercera edad. Tanto si existe rotura ósea (fractura) como si hay separación entre los huesos de la articulación (luxación) se requiere un diagnóstico eficaz y un rápido tratamiento para evitar la aparición de secuelas.
Fracturas de paleta humeral
La paleta humeral es la porción inferior del húmero que conecta con la parte superior del cúbito y radio formando la articulación del codo. Los traumatismos en esta región suelen producirse tras caída e impacto sobre la mano con el codo en extensión. Es necesaria una exploración neurovascular urgente para valorar lesiones en estructuras vasculares y nerviosas que pasan a este nivel y que se encargan del trofismo de la mano. El tratamiento se realizará en función del tipo de fractura y la edad del paciente con la finalidad de restituir, lo antes posible y sin secuelas, la funcionalidad de la articulación del codo.
Fracturas de cabeza de radio
Las fracturas de radio son producidas fundamentalmente de forma indirecta por transmisión de un impacto de la mano hacia el codo. Pueden ser caídas fortuitas o durante la realización de actividad deportiva o laboral. Cuando tienen lugar el codo se inflama y su movimiento es muy doloroso. El tratamiento busca la restitución de la anatomía normal del radio para iniciar el movimiento cuanto antes e impedir la aparición de rigidez.

Fracturas de olécranon
El olécranon es la parte superior del cúbito que articula con el húmero para que podamos realizar la flexión y extensión de nuestro codo. Una fractura de olécranon supone la imposibilidad para la realización de esta función. Ocurren tanto en el paciente de edad avanzada como en el joven y suele ser por caídas con el codo en flexión. Dada su relevancia en el movimiento del brazo su reparación debe ser rápida y precisa para evitar secuelas en la bisagra del codo. A través de procedimientos mínimamente invasivos se puede conseguir la restitución articular minimizando los riesgos de grandes cirugías e iniciar el movimiento en un breve período de tiempo.

Luxaciones del codo
La articulación del codo tiene lugar entre el húmero y el cúbito y radio. La luxación de codo tiene lugar con mayor frecuencia en la segunda década de la vida. La separación traumática entre brazo y antebrazo es frecuente en el ámbito deportivo, especialmente en aquellos deportes que pueden provocar impactos sobre la mano con el codo en extensión. Ello es posible en artes marciales, futbol, baloncesto y escalada, entre otros.
Esta lesión no sólo compromete las estructuras óseas sino las ligamentosas y neurovasculares por lo que se requiere un meticuloso estudio en el servicio de urgencias para diagnosticar el grado de afectación tratándolo entonces adecuadamente.
En un primer momento la recolocación del codo en situación anatómica es primordial a través de un suave gesto y en algunas ocasiones bajo anestesia. Si a pesar de la congruencia articular, el codo se presenta inestable, puede ser necesario reforzar la estabilidad ósea con una intervención quirúrgica.


































