Radiología convencional digitalizada
La Radiología Convencional Digitalizada facilita la observación de las estructuras internas del cuerpo para estudiar posibles lesiones. Las nuevas técnicas permiten emplear dosis de radiación ionizante muy bajas que, a su vez, facilitan la obtención de imágenes de mayor calidad visual, con más nitidez, permitiendo integrar la información en el seno del sistema informático del centro.
- Neurorradiología
- RX Cráneo
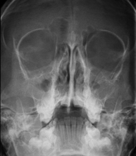
Técnica mediante la cual, utilizando rayos X, se obtienen imágenes del cráneo para su estudio. Indicaciones: traumatismo, cierre precoz de suturas craneales. - RX Senos Paranasales
Técnica mediante la cual, utilizando rayos X, se obtienen imágenes de los senos paranasales para su estudio. Indicaciones: dificultad respiratoria nasal, tos crónica, cefalea, mucosidad. - RX ATM (Articulación Temporo-Mandibular)
Técnica mediante la cual, utilizando rayos X, se obtienen imágenes de la articulación temporo-mandibular para su estudio. Indicaciones: traumatismo, dolor al masticar, ruido al masticar, limitación en la apertura bucal. - RX Cavum
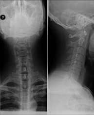
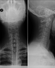
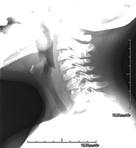
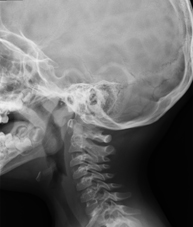
Técnica mediante la cual, utilizando rayos X, se obtienen imágenes del cavum para su estudio. Indicaciones: dificultad respiratoria, anginas de repetición en lactantes y niños. - RX Columna cervical
Técnica mediante la cual, utilizando rayos X, se obtienen imágenes de la columna cervical para su estudio. Indicaciones: traumatismo, contractura cervical, dolor articular. - RX Huesos propios nasales
Técnica mediante la cual, utilizando rayos X, se obtienen imágenes de los huesos propios nasales para su estudio. Indicaciones: traumatismo, planificación de cirugía plástica. - RX Conducto auditivo interno
Técnica mediante la cual, utilizando rayos X, se obtienen imágenes del conducto auditivo interno para su estudio. Indicaciones: pérdida de la audición. - RX Orbitas
Técnica mediante la cual, utilizando rayos X, se obtienen imágenes de las órbitas para su estudio. Indicaciones: cuerpo extraño ocular, traumatismo, infecciones. - RX Mandibular
Técnica mediante la cual, utilizando rayos X, se obtienen imágenes de la mandíbula para su estudio. Indicaciones: traumatismo, anomalías congénitas. - RX Laringe
Técnica mediante la cual, utilizando rayos X, se obtienen imágenes de la laringe para su estudio. Indicaciones: dificultad respiratoria. - RX Cuello partes blandas
Técnica mediante la cual, utilizando rayos X, se obtienen imágenes del cuello para su estudio. Indicaciones: estudio de bultos o nódulos. - RX Charnela
Técnica mediante la cual, utilizando rayos X, se obtienen imágenes de la charnela o de la base del cráneo para su estudio. Indicaciones: estudio de malformaciones congénitas.
- Tórax
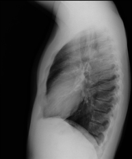
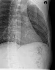
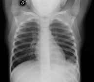
- RX Tórax
Técnica mediante la cual, utilizando rayos X, se obtienen imágenes de la caja torácica (corazón, pulmones, arcos costales, clavículas, etc.) para su estudio. - RX Esternón
Técnica mediante la cual, utilizando rayos X, se obtienen imágenes del esternón para su estudio. - RX Clavículas
Técnica mediante la cual, utilizando rayos X, se obtienen imágenes de las clavículas para su estudio. - RX Parilla costal
Técnica mediante la cual, utilizando rayos X, se obtienen imágenes de las costillas para su estudio. - RX Columna dorsal
Técnica mediante la cual, utilizando rayos X, se obtienen imágenes de la columna dorsal para su estudio. Indicaciones: traumatismo, dolor, escoliosis. - Esófagograma
Prueba diagnóstica que consiste en obtener imágenes radiológicas en movimiento del esófago, mediante el empleo de rayos X (fluoroscopia) y de un contraste opaco baritado que se administra por vía oral.
- Abdomen y pelvis
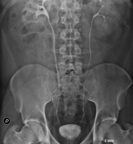
- RX Abdomen
Técnica mediante la cual, utilizando rayos X, se obtienen imágenes del abdomen (estómago, intestino delgado, intestino grueso, hígado, riñones, vejiga, pelvis ósea, etc.) para su estudio. - RX Columna lumbar
Técnica mediante la cual, utilizando rayos X, se obtienen imágenes de la columna lumbar para su estudio. - TEGD (Tránsito Esófago – Gastro – Duodenal)
Prueba diagnóstica que consiste en obtener imágenes radiológicas en movimiento del esófago, el estómago y el duodeno mediante el empleo de rayos X (fluoroscopia) y de un contraste opaco baritado que se administra por vía oral. - Tránsito intestinal
Prueba diagnóstica que consiste en obtener imágenes radiológicas en movimiento del esófago, el estómago, el duodeno y el intestino delgado mediante el empleo de rayos X (fluoroscopia) y de un contraste opaco baritado que se administra por vía oral. - Enema opaco doble contraste
Prueba diagnóstica que consiste en obtener imágenes radiológicas del intestino grueso (colon y recto) mediante el empleo de rayos X. Se utiliza un contraste opaco que se administra a través del recto, en forma de enema y, también, se introduce aire para expandir el colon.
- UIV (Pielografía descendente)
La urografía intravenosa (U.I.V.) consiste en la obtención de imágenes radiológicas seriadas del riñón, de las vías urinarias y la vejiga. Este estudio requiere, siempre, del empleo de un contraste yodado. - Cistografía (CUMS)
La cistouretrografía miccional seriada consiste en la obtención de imágenes radiológicas para valorar la anatomía y la función de la uretra y la vejiga con la administración de contraste yodado a través de una sonda vesical. - Uretrocistografía (Uretro-Cums)
La uretrocistrografía retrógrada y miccional consiste en la obtención de imágenes radiológicas para valorar la anatomía y la función de la vejiga y de la uretra. Se aplica material de contraste a través de una pequeña sonda alojada en la uretra y se obtienen imágenes durante el llenado y vaciado de la vejiga. - Pielografía ascendente por catéter
Prueba diagnóstica que consiste en la visualización del uréter y la pelvis renal mediante el empleo de rayos X en aquellos pacientes portadores de un catéter, mediante la inyección de un contraste yodado a través del catéter.
- Pielografía por nefrostomía
Prueba diagnóstica que consiste en la visualización del tracto urinario mediante el empleo de rayos X en aquellos pacientes portadores de un catéter de nefrostomía, mediante la inyección de un contraste yodado a través del catéter.
- Hipsterosalpingografía (HSG)
Prueba diagnóstica que consiste en la visualización y el estudio del útero y las trompas de Falopio mediante el empleo de rayos X y un medio de contraste. La paciente deberá realizar un tratamiento antibiótico profiláctico. Se recomienda la toma de un sedante suave una hora antes de la prueba. - Colangiografía Trans-Kher
Prueba diagnóstica que consiste en la visualización del árbol biliar, mediante el empleo de Rayos X, en aquellos pacientes portadores de un tubo de Kehr a través de la inyección de un contraste yodado realizado a través de dicho tubo.
- Osteoarticular
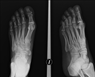
- RX Extremidades
Técnica mediante la cual, utilizando rayos X, se obtienen imágenes del interior de las extremidades para su estudio, especialmente de los huesos. Indicaciones: traumatismo, infecciones articulares. - RX Artrografía
Procedimiento que permite, mediante el uso de rayos X, y tras inyectar un contraste en el interior de la articulación, detectar lesiones de determinadas articulaciones (cartílago, hueso, tendones, etc.) según la distribución del contraste. - RX Pelvis
Procedimiento mediante el cual, utilizando rayos X, se obtienen imágenes de la pelvis para su estudio, especialmente de los huesos pélvicos. - RX Edad ósea
Estudio que mediante una radiografía de la mano permite valorar, en función del desarrollo de los huesos, la edad del paciente y determinar si existe un retraso o un crecimiento superior a lo que corresponde para su edad. - RX Caderas pediatría
Estudio que, utilizando los rayos X, permite obtener una imagen de los huesos de la cadera y descartar luxaciones. - RX Seriada ósea
Estudio mediante el uso de rayos X de distintas partes del cuerpo (cráneo, columna, costillas, pelvis, húmeros y fémures) para descartar que existan lesiones en dichos huesos. Indicaciones: estudio del mieloma múltiple, gammapatías monoclonales, metástasis. - RX Sacroilíacas
Procedimiento que, mediante el uso de rayos X, permite el estudio de las articulaciones sacroilíacas y descartar que existan enfermedades inflamatorias, traumáticas o degenerativas.
- Columna
- RX Columna cervical
Técnica mediante la cual, utilizando rayos X, se obtienen imágenes de la columna cervical para su estudio. Indicaciones: traumatismo, dolor cervical. - RX Columna dorsal
Técnica mediante la cual, utilizando rayos X, se obtienen imágenes de la columna dorsal para su estudio. Indicaciones: traumatismo, dolor de espalda. - RX Columna lumbar
Técnica mediante la cual, utilizando rayos X, se obtienen imágenes de la columna lumbar para su estudio. Indicaciones: ciática, traumatismo, dolor lumbar. - RX Sacro-cóccix
Técnica mediante la cual, utilizando rayos X, se obtienen imágenes del sacro y del cóccix para su estudio. Indicaciones: traumatismo, dolor sacro o coccígeo. - Telerradiología columna
Técnica mediante la cual, utilizando rayos X, se obtienen imágenes de toda la columna vertebral para su estudio, valorando especialmente la presencia de escoliosis y dismetrías pélvicas.
- Pediatría
- RX Cavum
Técnica mediante la cual, utilizando rayos X, se obtienen imágenes del cavum para su estudio. Indicaciones: dificultad respiratoria, regurgitación, otitis de repetición. - RX Edad ósea
Estudio que mediante una radiografía de la mano permite valorar, en función del desarrollo de los huesos, la edad del paciente y determinar si existe un retraso o un crecimiento superior a lo que corresponde para su edad. - RX Senos paranasales
Técnica mediante la cual, utilizando rayos X, se obtienen imágenes de los senos paranasales para su estudio. Indicaciones: cefalea, tos crónica. - RX Tórax
Una radiografía de tórax es una técnica mediante la cual, utilizando una pequeña dosis de radiación, se obtiene una imagen bidimensional de la caja torácica y su contenido (pulmones, corazón, mediastino, etc.). Es una de las pruebas médicas más comúnmente realizadas. - RX Abdomen
Una radiografía de abdomen es una técnica mediante la cual, utilizando una pequeña dosis de radiación, se obtiene una imagen bidimensional del abdomen con sus estructuras anatómicas (estómago, intestino delgado, intestino grueso, hígado, páncreas, riñones, vejiga, pelvis ósea, etc.). - Telerradiología columna
Técnica mediante la cual, utilizando rayos X, se obtienen imágenes de toda la columna vertebral para su estudio, valorando especialmente la presencia de escoliosis y dismetrías pélvicas. - Telemetría EEII (Extremidades Inferiores)
Técnica mediante la cual, utilizando rayos X, se obtienen imágenes de la totalidad de ambas extremidades inferiores para su estudio, valorando especialmente la presencia de dismetrías entre ambas. - RX Extremidades
Técnica mediante la cual, utilizando rayos X, se obtienen imágenes de ambas extremidades para su estudio. - RX Caderas
Estudio que, utilizando los rayos X, permite obtener una imagen de los huesos de la cadera y descartar luxaciones. - Cistografía
La cistouretrografía miccional seriada consiste en la obtención de imágenes radiológicas para valorar la anatomía y la función de la uretra y la vejiga con la administración de contraste yodado a través de una sonda vesical.

































